バイオメディカル電顕リサーチサイト Bio-Medical EM Research Website
電子顕微鏡の優れた空間分解能を活用しながら、iPS細胞をはじめとする再生医療研究を加速し、
その臨床応用に資する『再生臓器品質電顕評価システム』を構築すると共に、
最新ゲノム編集技術の応用研究に寄与する『細胞形態/組織構築電顕評価システム』を提供します
While utilizing the excellent spatial resolution of electron microscopes, we will accelerate research on regenerative medicine, including iPS cells, and build a "Electron Microscope Evaluation System for Regenerative Organ Quality" that contributes to its clinical application, and provide a "Electron Microscope Evaluation System for Cell Morphology/Tissue Construction" that contributes to applied research on the latest genome editing technology.
過マンガン酸カリウムの酸化反応を応用した光顕用パラフィン切片
電子染色法の開発と低真空走査電子顕微鏡による立体微細構造解析
Development of a new a new metal staining method by potassium permanganate oxidation that allows uranium-free imaging of cell/tissue architectures in low-vacuum scanning electron microscopy
1960年代に開発された従来法の酢酸ウラニウム(=国際規制物資)を必要としない画期的な「過マンガン酸カリウム酸化反応を応用した電子染色法」を開発し、低真空走査電子顕微鏡による光顕用パラフィン切片の立体微細構造解析を可能にしました。
We have developed an epoch-making "uranium-free" metal staining method by potassium permanganate oxidation that allows uranium-free three-dimensional imaging of cell/tissue architectures in paraffin section by low-vacuum scanning electron microscopy
Sawaguchi, A. et al. npj Imaging 2, 40 (2024)
Introduced in the Science Japan by JST
Introduced in the 客観日本 by JST
好評受付中!
光顕用パラフィン切片&低真空走査電子顕微鏡
お試しサンプル無料解析
デスクトップ型低真空走査電子顕微鏡の利点・特性を活かした
生体物質の局在を可視化する新たな金ナノ粒子標識法の開発
Development of a new gold nanoparticle labeling method for visualizing the localization of biological materials by utilizing the advantages and properties of desktop low-vacuum scanning electron microscopy
酵素抗体法を用いて免疫組織化学染色された光顕用パラフィン切片に塩化金酸処理を施して形成された金ナノ粒子を成長させ、標的生体物質の局在を電子顕微鏡で容易に可視化する新たな金ナノ粒子標識法を開発しました。
We have developed a new gold nanoparticle labeling method that allows easy visualization of the localization of target biological material by growing gold nanoparticles formed by treating with gold chloride on paraffin sections stained with immunohistochemistry using an enzyme-antibody method.
デスクトップ型低真空走査電子顕微鏡の利点・特性を活かした
厚切り光顕用パラフィン切片:高解像立体構築解析法の開発
Development of a high-resolution stereoscopic analysis method for thick paraffin sections by taking advantage of the advantages and characteristics of a desktop low-vacuum scanning electron microscope
厚さ20〜30 µmに薄切した光顕用パラフィン切片に帯電防止処理を加えず、スライドガラスごと観察できるデスクトップ型低真空走査電子顕微鏡の利点・特性を活かし、生体を構成する組織や細胞を立体的に捉える新たな解析手法を開発しました。
We have developed a new analysis method that captures the tissues and cells that make up living organisms in three dimensions by taking advantage of the advantages and characteristics of a desktop low-vacuum scanning electron microscope, which can observe entire glass slides without applying antistatic treatment to paraffin sections sliced to a thickness of 20 to 30 μm.
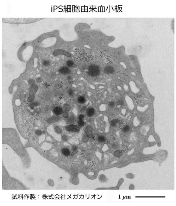
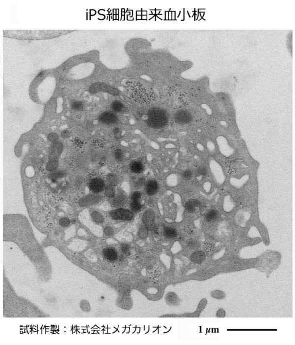
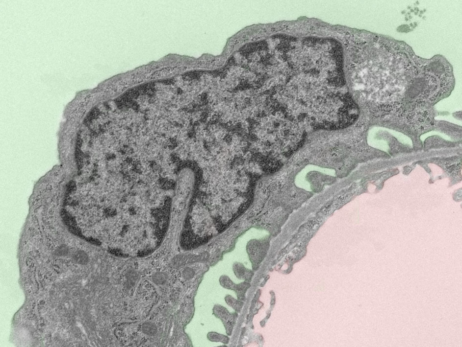
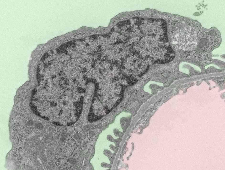
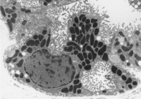
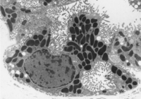
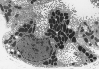
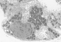
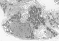
iPS細胞由来血小板製剤開発と臨床応用に資する電子顕微鏡解析
Electron Microscopical Evaluation of iPS Cell-Derived Human Blood Platelets for Clinical Transfusion
京都大学iPS細胞研究所(CiRA):江藤浩之教授ラボならびに株式会社メガカリオン、株式会社日立ハイテクとの産学連携事業として、iPS細胞由来血小板製剤開発と臨床応用の早期実現に向け、血小板とその前駆細胞である巨核球の超微形態解析を遂行しております。
As an industry-academia collaboration project with Prof. Koji Eto's lab at the Center for iPS Cell Research and Application (CiRA) in Kyoto University, Megakaryon Co., Ltd., and Hitachi High-Tech, Ltd., we are conducting ultra-micromorphological analysis of platelets and their progenitor cells, megakaryocytes, with a view to the early realization of iPS cell-derived platelet products and clinical applications.
デスクトップ型低真空走査電子顕微鏡
Desktop Low-Vacuum Scanning Electron Microscopy
光顕用パラフィン切片をスライドガラスごと高精細に解析
Paraffin sections are analyzed in high definition on glass slides
詳しくはこちらをご参照ください
【参考文献リスト】
低真空走査電子顕微鏡:パラフィン切片観察
Literature on Low-vacuum SEM Imaging of Paraffin sections
パラフィン切片観察に関する参考文献リスト
Bibliography on paraffin section observation by Low-vacuum SEM
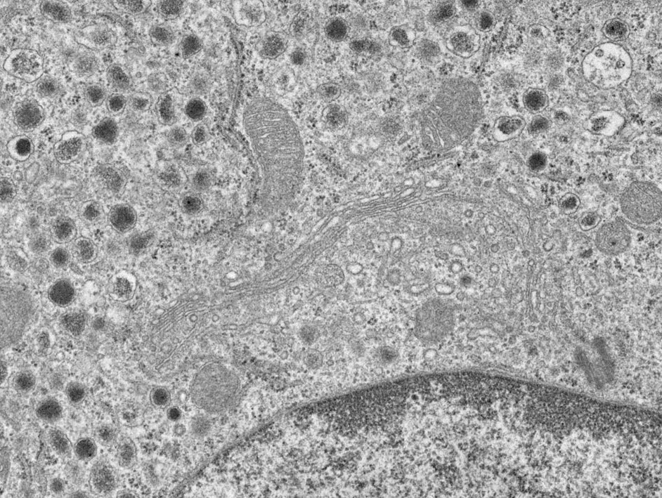
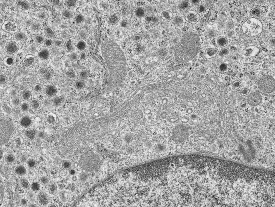
透過型電子顕微鏡
TEM:Transmission Electron Microscopy
最高位の空間分解能で細胞内部の微細構造解析を実現
Analysis of the fine structure of cells with high resolution
詳しくはこちらをご参照ください
読影カラーガイド付きで分かり易く、画像が読める!
電子顕微鏡 画像集
Electron Micrograph Gallery:Easy-to-understand, image-reading color guide
臓器再生研究が完成を目指す巧緻な生体設計図
Blueprint for Organ Regeneration Research
高精細な画像集をお楽しみください
走査型電子顕微鏡
SEM:Scanning Electron Microscopy
試料の表面を立体的に高倍率で拡大する微細構造解析
Scanning over the surface of a sample in three dimensions at high magnification
詳しくはこちらをご参照ください
CLEM:Correlative Light and Electron Microscopy
光顕スクリーニング観察から得られた最適な視野を電顕レベルで狙い撃ち!
形態学的解析では、まずはじめに光学顕微鏡レベルで観察対象の全体像を掌握した後、電子顕微鏡レベルで詳細を観察することが推奨されます。また、学術論文においても、光顕画像と並んで同一視野の電顕画像が提示できれば説得力が上がります。トルイジンブルー染色を施した準超薄切片を光顕で観察・撮影し、樹脂に再包埋して電顕解析を行うCLEM:Correlative Light and Electron Microscopyの概要を紹介します。
In morphological analysis, it is recommended to first grasp the overall picture of the object to be observed at the light microscope level, and then observe the details at the electron microscope level. In addition, in academic papers, it will be more persuasive if electron microscope images with the same field of view can be presented alongside light microscopic images. This section provides an overview of Correlative Light and Electron Microscopy (CLEM), in which quasi-ultrathin sections stained with toluidine blue staining are observed and photographed by light microscopy, reembedded in resin, and electron microscopy is performed.
|
|
|
RESEARCH 研 究
電子顕微鏡の優れた空間分解能を活かし、美しい「生命のかたち」を探究しています
We are exploring the beautiful "form of life" by taking advantages of the excellent spatial resolution of electron microscope
大学院生(博士課程/修士課程)募集
Accepting Graduate Students ( Ph.D. course/ Master's course )
事前相談や研究室見学は随時、お問い合わせ下さい。
|
関連学会等HPへのリンク |
EDUCATION 教 育
医学の基礎を築き、高度最先端医療に通じる解剖学教育と社会への貢献が使命です
Our mission is to contribute to society by providing anatomy education
that lays the foundation of medicine and leads to forefront of medical care
MEMBER メンバー紹介
Faculty Staff
|
|
|
ラグビーで医学部合格 !? |
解剖学研究と教育の道へ |
| 海外留学のすすめ |
哲学堂公園のご紹介 |
えっ、10段階? |
声をあわせて♪ |
| やる気がわかない? |
三体問題 |
心の疲労は「慢」心から |
プロフェッショナル |
|
准教授 |
助 教 |
助 教
|
事務員
|
大学院生 Graduate PhD course student
|
|
|
|
|


























































