近年、日本から欧米諸国をはじめとする海外へ留学する若手研究者が激減しているそうです。ネットを通じてグローバルに情報を入手できる時代にあり、留学の必要性が薄れ、留学経験をもつ先輩が身近にいなくなり、留学を奨められることも少なくなり・・・とても残念です。
私は大学院博士課程を修了した2001年10月から2003年6月まで、アメリカ合衆国のカリフォルニア大学バークレー校分子生物学部門 John G. Forte研究室のPost-Doctoral Fellowとして留学を経験いたしました。


Forte教授は胃粘膜壁細胞の胃酸分泌に与るプロトンポンプを同定され、胃酸分泌関連疾患の治療と予防に繋がる著名な功績を残されています。学位取得の機に留学先を検討し始めたころ、Forte教授が高圧凍結技法を導入して胃酸分泌時に壁細胞が呈する劇的な形態変化を追究されていることを知り、留学希望をお送りしたところ快く受け入れて下さりました。

John Forte 教授との一枚
カリフォルニアといっても、サンフランシスコ近郊のバークレーは10月から3月まで曇りや雨の日が多く、ロサンゼルスやサンディエゴに代表される南カリフォルニアの気候とは大きく異なります。10月に渡米してから半年間は英会話もおぼつかず、高圧凍結技法を用いた実験系の確立に幾多の苦難を強いられ、気分まで曇りがちな日々が続きました。
しかし、半年が過ぎるころにElectron Microscope LabのKent L. McDonald先生と「初代培養細胞の新たな高圧凍結技法開発」プロジェクトが立ち上げられたことを機に、Forte研究室に所属するUndergraduate studentの3人とGraduated studentのShelleyさんが研究サポートに加わり、一気に状況が好転しました。

EM LabのKent McDonald先生との一枚
一日中、学生と実験、観察、考察を重ねるうち、それまでは思うように上達しなかった英会話も徐々に向上していきました。やがて研究成果が上がり始めると、それまでは苦痛で仕方なかった毎週木曜日のラボミーティングも待ち遠しくさえ思えるようになりました。

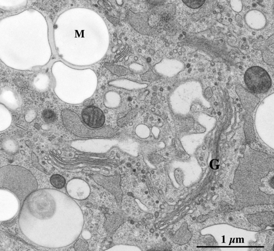
ウサギ初代培養細胞胃粘液細胞
(高圧凍結技法/M:粘液顆粒、G:ゴルジ装置)
更なる研究の進展を得るためコロラド大学ボルダー校までジープ・チェロキーで陸路を走り抜け、超高圧電子顕微鏡でトモグラムを撮影してラスベガス経由で帰ってきたこともありました。



そして当初の目標を上回る成果を得て3編の原著論文を発表して帰国を迎えることが出来ました。最終日にForte教授をはじめ、研究を共にした学生やラボの仲間たちからサプライズで「We miss you・・」と記されたメッセージボードを渡された時は感無量でした・・・。

Forte研究室では毎週金曜日、行きつけのピザ屋さんで一人3ドルずつ出し合って(足りない分はForte教授の太っ腹にて)ピザ・ランチが恒例でした。お昼にも関わらずビール好きのForte教授がピッチャーを注文し、スポーツ好きのForte教授がMLBやMBL、MFLの話題に興じ、研究好きのForte教授がその週の実験データをもとにアドバイスを送り、冗談も大好きなForte教授がジョークを連発して、大いに賑わったことが懐かしく思い出されます。また、数ヶ月に一度のラボピクニックは、バーベキューやフリスビー、バスケットボールに興じながら交流を深める貴重な機会でした。

グローバルに情報を入手できる時代だからこそ、実際に海外留学を経験していることが評価され、経験が自信を生み、経験が理解を高め、発せられる言葉の重みを増すことに疑いの余地はありません。多くの可能性を秘めた学生諸君が海外留学に夢や希望、野望さえも胸に抱くようになり、その実現にチャンスが与えられることを願うばかりです。

留学当時に暮らしたアパート

