当研究室では、京都大学iPS細胞研究所(CiRA):江藤浩之教授研究室ならびに臨床応用の実現に向けた量産化を目指す株式会社メガカリオン、電子顕微鏡解析の最先端技術開発を進める株式会社日立ハイテクとの産学連携事業として、ヒトiPS細胞から分化誘導された血小板や前駆細胞の巨核球、赤血球の前駆細胞にあたる赤芽球の超微形態解析を遂行しております。
当研究室が誇る電顕解析技術が、iPS細胞を用いた再生医療の応用研究に貢献を果たせるよう鋭意、取り組んで参ります。
Sugimoto N, Nakamura S, Shimizu S, Shigemasa A, Kanda J, Matsuyama N, Tanaka M, Hayashi T, Fuchizaki A, Nogawa M, Watanabe N, Okamoto S, Handa M, Sawaguchi A, Momose D, Koh KR, Tani Y, Takaori-Kondo A, Eto K.: Production and nonclinical evaluation of an autologous iPSC-derived platelet product for the iPLAT1 clinical trial.
Blood Adv. (2022) Sep :bloodadvances.2022008512. doi: 10.1182/bloodadvances.2022008512.
DOI: 10.1182/bloodadvances.2022008512
Sugimoto N., Kanda J., Nakamura S., Kitano T., Hishizawa M., Kondo T., Shimizu S., Shigemasa A., Hirai H., Arai Y., Minami M., Tada H., Momose D., Koh K.R., Nogawa M., Watanabe N., Okamoto S., Handa M., Sawaguchi A., Matsuyama N., Tanaka M., Hayashi T., Fuchizaki A., Tani Y., Takaori-Kondo A., Eto K.: PLAT1: The first-in-human clinical trial of iPSC-derived platelets as a phase 1 autologous transfusion study.
Blood. Sep :blood.2022017296, 2022 doi: 10.1182/blood.2022017296.
DOI: 10.1182/blood.2022017296
Sone, M., Nakamura, S., Umeda, S., Ginya, H., Oshima, M., Kanashiro, M.A., Paul, S.K., Hashimoto, K., Nakamura, E., Harada, Y., Tsujimura, K., Saraya, A., Yamaguchi, T., Sugimoto, N., Sawaguchi, A., Iwama, A., Eto, K., Takayama, N.: Silencing of p53 and CDKN1A establishes sustainable immortalized megakaryocyte progenitor cells from human iPSCs.
Stem Cell Reports. S2213-6711(21)00554-3, 2021 doi: 10.1016/j.stemcr.2021.11.001.
DOI: 10.1016/j.stemcr.2021.11.001
Suzuki, D., Flahou, C., Yoshikawa, N., Stirblyte, I., Hayashi, Y., Sawaguchi, A., Akasaka, M., Nakamura, S., Higashi, N., Xu, H., Matsumoto, T., Fujio, K., Manz, M.G., Hotta, A., Takizawa, H., Eto, K., Sugimoto, N.
iPSC-Derived Platelets Depleted of HLA Class I Are Inert to Anti-HLA Class I and Natural Killer Cell Immunity.
Stem Cell Reports. doi: 10.1016/j.stemcr.2019.11.011, 2019
DOI: 10.1016/j.stemcr.2019.11.011
Ito, Y., Nakamura, S., Sugimoto, N., Shigemori, T., Kato, Y., Ohno, M., Sakuma, S., Ito, K., Kumon, H., Hirose, H., Okamoto, H., Nogawa, M., Iwasaki, M., Kihara, S., Fujio, K., Matsumoto, T., Higashi, N., Hashimoto, K., Sawaguchi, A., Harimoto, K.I., Nakagawa, M., Yamamoto, T., Handa, M., Watanabe, N., Nishi, E., Arai, F., Nishimura, S., Eto, K.
Turbulence Activates Platelet Biogenesis to Enable Clinical Scale Ex Vivo Production.
Cell. doi: 10.1016/j.cell.2018.06.011, 2018
DOI: 10.1016/j.cell.2018.06.011
Seo, H., Chen, S.J., Hashimoto, K., Endo, H., Nishi, Y., Ohta, A., Yamamoto, T., Hotta, A., Sawaguchi , A., Hayashi, H., Koseki, N., Murphy, G.J., Fukuda, K., Sugimoto, N., Eto, K.
A β1-tubulin-based megakaryocyte maturation reporter system identifies novel drugs that promote platelet production.
Blood Adv, 2:2262-2272, 2018
PMCID: PMC6134216
Aihara, A., Koike, T., Abe, N., Nakamura, S., Sawaguchi, A., Nakamura, T., Sugimoto, N., Nakauchi, H., Nishino, T., Eto, K.
Novel TPO receptor agonist TA-316 contributes to platelet biogenesis from human iPS cells.
Blood Adv, 1:468-476, 2017
PMCID: PMC5738977
Hirata, S., Murata, T., Suzuki, D., Nakamura, S., Jono-Ohnishi, R., Hirose, H., Sawaguchi, A., Nishimura, S., Sugimoto, N., Eto, K.
Selective Inhibition of ADAM17 Efficiently Mediates Glycoprotein Ibα Retention During Ex Vivo Generation of Human Induced Pluripotent Stem Cell-Derived Platelets.
Stem Cells Transl Med, pil: 2016-0104, 2016
DOI: 10.5966/sctm.2016-0104
Nakamura, S., Takayama, N., Hirata, S., Seo, H., Endo, H., Ochi, K., Fujita, K., Koike, T., Harimoto, K., Dohda, T., Watanabe, A., Okita, K., Takahashi, N., Sawaguchi, A., Yamanaka, S., Nakauchi, H., Nishimura, S., Eto, K.
Expandable megakaryocyte cell lines enable clinically-applicable generation of platelets from human induced pluripotent stem cells.
Cell Stem Cell, 14(4): 535-548, 2014
DOI: 10.1016/j.stem.2014.01.011
Takayama, N., Nishimura, S., Nakamura, S., Shimizu, T., Ohnishi, R., Endo, H., Yamaguchi, T., Otsu, M., Nishimura, K., Nakanishi, M., Sawaguchi, A., Nagai, R., Takahashi, K., Yamanaka, S., Nakauchi, H., Eto, K.
Transient activation of c-MYC expression is critical for efficient platelet generation from human induced pluripotent stem cells.
J Exp Med 207: 2817-2830, 2010
DOI: 10.1084/jem.20100844
Takizawa, H., Nishimura, S., Takayama, N., Oda, A., Nishikii, H., Morita, Y., Kakinuma, S., Yamazaki, S., Okamura, S., Tamura, N., Goto, S., Sawaguchi, A., Manabe, I., Takatsu, K., Nakauchi, H., Takaki, S., Eto, K.
Lnk/Sh2b3 regulates integrin αIIbβ3 outside-in signaling in platelets leading to stabilization of developing thrombus in vivo.
J Clin Invest 120: 179-190, 2010
DOI: 10.1172/JCI39503
Nishikii, H., Eto, K., Tamura, N., Hattori, K., Heissig, B., Kanaji, T., Sawaguchi, A., Goto, S., Ware, J., Nakauchi, H.
Metalloproteinase regulation improves in vitro generation of efficacious platelets from mouse embryonic stem cells.
J Exp Med 205: 1917-1927, 2008
DOI: 10.1084/jem.20071482
Takayama, N.,Nishikii, H., Usui, J., Tsukui, H., Sawaguchi, A., Hiroyama, T., Eto, K., Nakauchi, H.
Generation of functional platelets from human embryonic stem cells in vitro via ES-sacs, VEGF-promoted structures that concentrate hematopoietic progenitors.
Blood 111: 5298-5306, 2008
DOI: 10.1182/blood-2007-10-117622

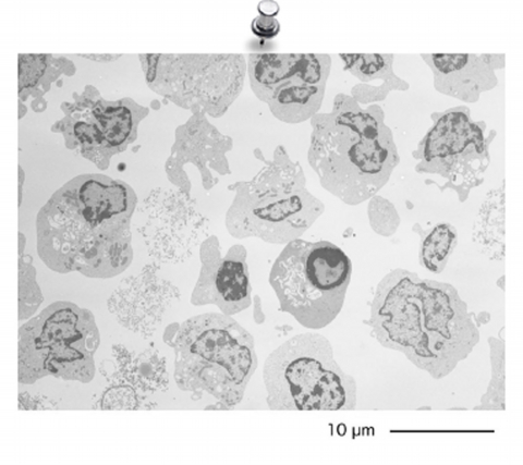
ヒトiPS細胞由来赤芽球の電子顕微鏡像
Hirose, S., Takayama, N., Nakamura, S., Nagasawa, K., Ochi, K., Hirata, S., Yamazaki, S., Yamaguchi, T., Otsu, M., Sano, S., Takahashi, N., Sawaguchi, A., Ito, M., Kato, T., Nakauchi, H., Eto, K.
Immortalization of Erythroblasts by c-MYC and BCL-XL Enables Large-Scale Erythrocyte Production from Human Pluripotent Stem Cells.
Stem Cell Reports. 2013 Dec 5;1(6):499-508. doi: 10.1016/j.stemcr.2013.10.010.
DOI: 10.1016/j.stemcr.2013.10.010

