免疫電顕標識とは、特定の蛋白や糖鎖など生体物質に対する特異抗体やレクチンを、直径が僅か数ナノメートルの金粒子で標識し、その結合部位を電子顕微鏡下で同定する手法で、光学顕微鏡では同定しきれない細胞内小器官をはじめとする微細な構造に発現する生体物質の局在解析を可能にするものです。
当研究室では、金粒子の作製や特異抗体への標識を自ら行うことで、高感度で特異的な免疫電顕標識を実現し、共同研究を通じた医学・生物学研究の推進に努めております。
ラット胃底腺内分泌細胞におけるグレリン含有分泌顆粒の同定
Date, Y., Kojima, M., Hosoda, H., Sawaguchi, A., Mondal, M.S., Suganuma, T., Matsukura, S., Kangawa, K., Nakazato, M.
Ghrelin, a novel growth hormone-releasing acylated peptide, is synthesized in a distinct endocrine cell type in the gastrointestinal tracts of rats and humans.
Endocrinology 141: 4255-4261, 2000
DOI: 10.1210/endo.141.11.7757

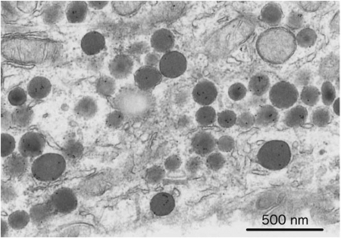
TRIM50KOマウスの胃酸分泌壁細胞内に形成された多重膜構造における
プロトンポンプの局在を示す免疫電顕標識像
Nishi, M., Aoyama, F., Kisa, F., Zhu, H., Sun, M., Lin, P., Ohta, H., Van, B., Yamamoto, S., Kakizawa, S., Sakai, H., Ma, J., Sawaguchi, A., Takeshima, H.
TRIM50 regulates vesicular trafficking for acid secretion in gastric parietal cells.
J Bioll Chem, 287(40): 33523-32, 2012
PMCID: PMC3460453

ウサギ胃酸分泌壁細胞から単離した細管小胞にプロトンポンプが局在することを証明した免疫電顕標識ーネガティブ染色像