トルイジンブルー染色法
Toluidin blue staining
はじめに0.5%のトルイジンブルー染色液を調製し、10 mlの注射シリンジに吸引した後、染色液中のゴミ等を除去するためのシリンジフィルター(sartorius社製Minisart:孔径=0.20 µm)を介して23Gの注射針を装着します。

準超薄切片作製法で紹介した通り、スライドガラス上の水滴に切片を浮かべ、
ホットプレートで切片を伸展させながらスライドガラスに密着させます。

水滴が蒸発した後、スライドガラスが熱いうちにトルイジンブルー
染色液を滴下し、2〜3秒経過後、直ちに水洗します。

ブロワーで水滴を飛ばした後、顕微鏡で観察します。

切片が小さく、顕微鏡の視野に捉えやすいようにスライドガラスの
「裏側」から周囲をペンで囲んでおきます(右写真)

対物レンズはノンカバー用 x60 をお奨めします
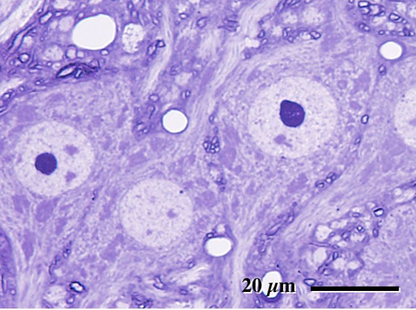
樹脂包埋切片はパラフィン切片に比べて解像度が良く、比較的細かい構造まで観察できます。

ラット脊髄前角
準超薄切片再包埋法へ