本研究は当研究室が開発したラット単離胃粘膜実験モデルの応用研究によって確立された「細胞剥離」実験モデルをもとに、胃酸分泌刺激の加減によって細胞剥離を制御できる特性を活かしながら、生体における細胞剥離とそれに伴う上皮細胞の更新と上皮細胞連続性の再構築機構を解明することを目的としています。
電子顕微鏡解析試料は超微細構造と生体物質の保持に優れ、当研究室が世界をリードする高圧凍結技法を駆使して作製されるもので、細胞接着部位の解離や細胞骨格の局在変化、細胞内小器官や細胞膜の動態に関する詳細を明らかにする解析が加えられます。期待される研究成果は、成体における上皮細胞の更新や発生過程の組織形成、癌細胞の転移機構解明にも繋がる重要課題であり、電顕レベルの詳細な解析を遂行しながら、細胞生物学・医学研究のブレイクスルーとなる形態学的研究基盤の提出を目指します。

胃底腺壁細胞は摂食刺激などに反応して胃酸分泌に与る一群の細胞として扱われることが多いのですが、マウスやラットの壁細胞は、1)胃底腺の峡部に位置する細胞増殖帯から表層の胃小窩領域へ向かう群(胃小窩壁細胞)と2)胃底腺頚部を経由して底部へ向かう群(腺体部壁細胞)の二系統が存在します。
最近、私どもが独自に開発したラット単離胃粘膜実験モデルの応用研究の過程で、ラットに摂食刺激を加えて単離した胃粘膜の胃小窩壁細胞が胃内腔へ剥離する現象が見い出され、壁細胞剥離現象と酸分泌刺激との相関が確認されました。
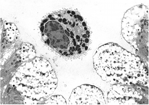
胃小窩へ剥離して粘液ゲル層を漂う胃小窩壁細胞
Aoyama et al., Histochem Cell Biol 129: 785-793, 2008
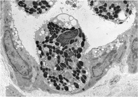
さらに興味深いことに、剥離する壁細胞に隣接する粘液細胞が細胞質の一部から成る足様突起を基底膜に沿って伸長させ、剥離する壁細胞の基底側を裏打ちする電顕観察像が得られました。

Aoyama et al., Histochem Cell Biol 129: 785-793, 2008
生体で壁細胞の剥離が亢進し胃粘膜上皮の連続性が破綻すれば「びらん性胃炎」の発症起点となる可能性が示唆され、さらなる応用研究が期待されております。
Aoyama, F., Sawaguchi, A., Ide, S., Kitamura, K., Suganuma, T.: Exfoliation of gastric pit-parietal cells into the gastric lumen associated with a stimulation of isolated rat gastric mucosa in vitro: a morphological study by the application of cryotechniques.
Histochem Cell Biol 129: 785-793, 2008
DOI: 10.1007/s00418-008-0403-1
Sawaguchi, A., Aoyama, F., Ide, S., Suganuma, T.: The cryofixation of isolated rat gastric mucosa provides new insights into the functional transformation of gastric parietal cells: an in vitro experimental model study.
Arch Histol Cytol 68: 151-160, 2005
DOI: 10.1679/aohc.68.151
澤口 朗、豊嶋 典世:高圧凍結技法による胃粘膜の超微形態研究
顕微鏡 45: 130-132, 2010
doi.org/10.11410/kenbikyo.45.2_130