胃粘膜攻撃因子とされる胃酸や消化酵素の分泌機構に関する研究は、胃粘膜傷害の治療や予防に繋がる重要な課題です。胃酸分泌に与る胃底腺壁細胞は空腹時の胃酸分泌休止期には胃酸分泌を担うプロトンポンプを有する細管小胞が細胞内に貯留する形態を示す一方、摂食刺激を受けると細管小胞膜が頂上膜と融合してプロトンポンプの局在が頂上膜へ移行することが知られています。

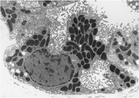
胃酸分泌活動期のラット胃底腺壁細胞
Sawaguchi et al., Arch Histol Cytol 68: 151-160, 2005
一方、活動期を終えて次の摂食刺激に備えて休止期へ移行する過程の細胞膜動態やプロトンポンプの局在変化に関しては、不明な点が多く残されておりました。私どもは独自に開発したラット単離胃粘膜実験モデルを応用し、高圧凍結技法を駆使した観察を実施することで、摂食後の胃酸分泌活動期から次の食餌に備えて休止期に戻る過程で特異な多重膜構造が形成されることを明らかにしました。

回復過程が進行し、活動期には頂上膜に集積していた
プロトンポンプの局在が細胞内へと変化していく

Sawaguchi, A., Aoyama, F., Ohashi, M., Ide S., Suganuma, T.: Ultrastructural transformation of gastric parietal cells reverting from the active to the resting state of acid secretion revealed in isolated rat gastric mucosa model processed by high-pressure freezing.
J Electron Microsc 55: 97-105, 2006
DOI: 10.1093/jmicro/dfl004

今後は胃酸分泌壁細胞の特異な膜動態に関わる蛋白質の同定や局在の変化、膜処理におけるオートファジーの関与など、より詳細な実態解明に取り組んで参ります。