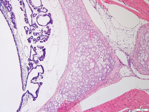
喉頭(ラット) Larynx ( rat )
厚さ5 µm パラフィン切片のヘマトキシリン・エオジン染色光学顕微鏡画像
Light microscopic image of 5 µm-thin paraffin section with hematoxylin & eosin staining


【 厚さ30 µm パラフィン切片の低真空走査型電子顕微鏡画像 】
Low-voltage scanning electron microscopic image of 30 µm-thick paraffin section


喉頭がつぶれないように周囲を取り囲む硝子軟骨の構造が捉えられます

鉛染色のみ:軟骨組織は鉛染色に反応して白く観察されます