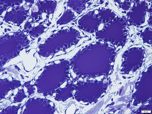
甲状腺(ラット) Thyroid Gland ( rat )
厚さ1 µm エポン樹脂準超薄切片のトルイジンブルー染色光学顕微鏡画像
Light microscopic image of 1 µm-semithin epoxy resin section with toluidin-blue staining
主に下肢を支配する坐骨神経は、有髄神経と無髄神経によって構成されます。

【 厚さ30 µm パラフィン切片の低真空走査型電子顕微鏡画像 】
Low-voltage scanning electron microscopic image of 30 µm-thick paraffin section

