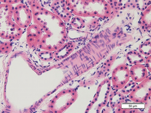
血管(ラット) Blood Vessel ( rat )
厚さ5 µm パラフィン切片のヘマトキシリン・エオジン染色光学顕微鏡画像
Light microscopic image of 5 µm-thin paraffin section with hematoxylin & eosin staining

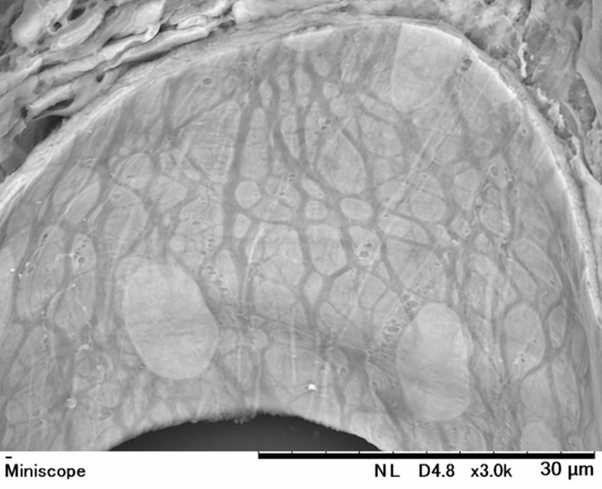
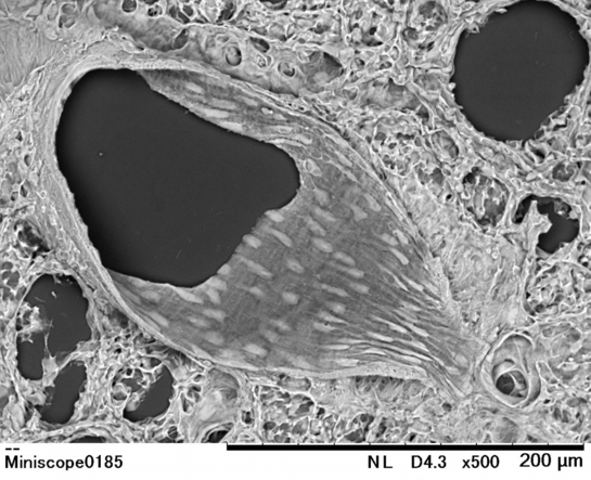
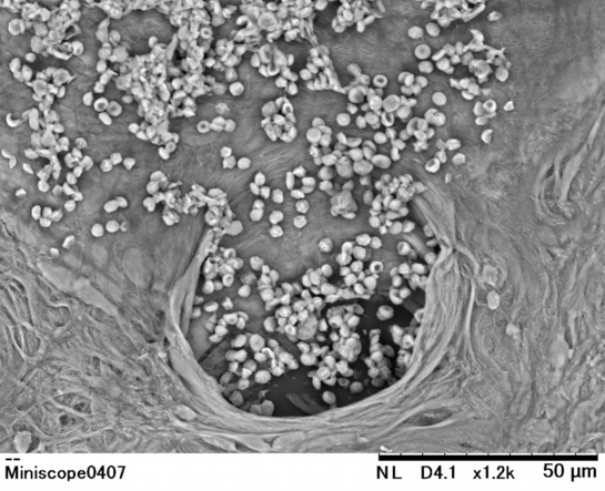
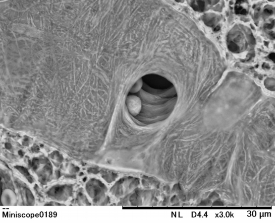
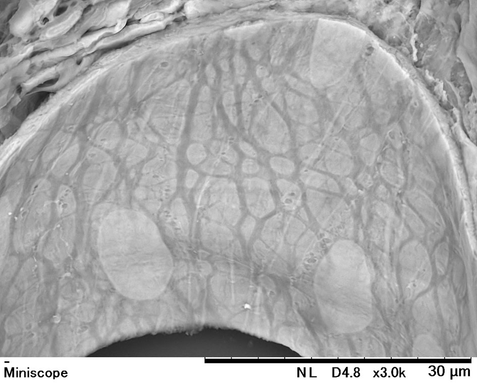
【 厚さ30 µm パラフィン切片の低真空走査型電子顕微鏡画像 】
Low-voltage scanning electron microscopic image of 30 µm-thick paraffin section


喉頭で観察された血管と内部を多う内皮細胞


肺で観察された血管壁の内部を多う内皮細胞

膵臓で観察された血管の分岐部と多数の赤血球



精索で観察された筋型動脈



脊髄で観察された血管と分岐部