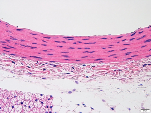
大動脈(ラット) Aorta ( rat )
厚さ5 µm パラフィン切片のヘマトキシリン・エオジン染色光学顕微鏡画像
Light microscopic image of 5 µm-thin paraffin section with hematoxylin & eosin staining
弾性型動脈に分類される大動脈の中膜は膠原線維や弾性線維、細網線維によって構成されます。

大動脈壁の断面像
(パラフィン包埋切片のヘマトキシリン・エオジン染色光顕像)
【 厚さ20 µm パラフィン切片の低真空走査型電子顕微鏡画像 】
Low-voltage scanning electron microscopic image of 20 µm-thick paraffin section


