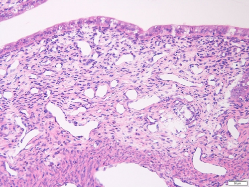
子宮(ラット) Uterus ( rat )
厚さ5 µm パラフィン切片のヘマトキシリン・エオジン染色光学顕微鏡画像
Light microscopic image of 5 µm-thin paraffin section with hematoxylin & eosin staining

【 厚さ20 µm パラフィン切片の低真空走査型電子顕微鏡画像 】
Low-voltage scanning electron microscopic image of 20 µm-thick paraffin section

子宮粘膜の内部には受精卵の着床に備え、栄養を供給する血管が発達しています。


子宮粘膜の内部には受精卵の着床に備える分泌腺も豊富に存在しています。