バイオメディカル電顕リサーチサイト  BioMedical EM Research Site

低真空走査型電顕 厚切りパラフィン切片画像集
Low-Vacuum SEM Thick Paraffin Section Images

宮崎大学医学部解剖学講座 超微形態科学分野
Department of Anatomy, Ultrastructural Cell Biology
Faculty of Medicine, University of Miyazaki



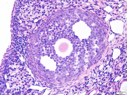
卵巣(ラット) Ovary ( rat )

厚さ5 µm パラフィン切片のヘマトキシリン・エオジン染色光学顕微鏡画像
Light microscopic image of 5 µm-thin paraffin section with hematoxylin & eosin staining






【 厚さ30 µm パラフィン切片の低真空走査型電子顕微鏡画像
Low-voltage scanning electron microscopic image of 30 µm-thick paraffin section



成熟が進む卵胞の中心部には大きな卵母細胞が観察されます。