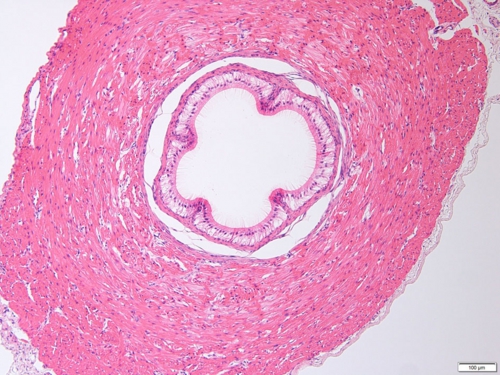
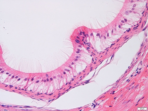
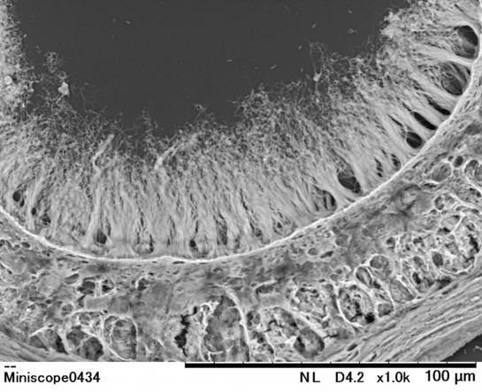
精索(ラット) Spermatic Cord ( rat )
厚さ5 µm パラフィン切片のヘマトキシリン・エオジン染色光学顕微鏡画像
Light microscopic image of 5 µm-thin paraffin section with hematoxylin & eosin staining


【 厚さ20 µm パラフィン切片の低真空走査型電子顕微鏡画像 】
Low-voltage scanning electron microscopic image of 20 µm-thick paraffin section





精子を運搬する精管の内部が線毛細胞で覆われるようすが観察されます。