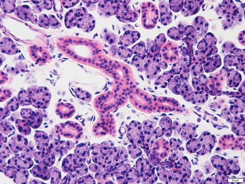
顎下腺(ラット) Submandibular gland ( rat )
厚さ5 µm パラフィン切片のヘマトキシリン・エオジン染色光学顕微鏡画像
Light microscopic image of 5 µm-thin paraffin section with hematoxylin & eosin staining

紫色の腺房から分泌された唾液は中央の赤い導管によって口腔内へ運ばれます。
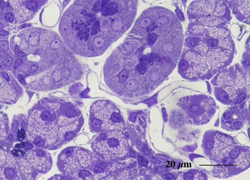
厚さ1 µm エポン樹脂準超薄切片のトルイジンブルー染色光学顕微鏡画像
Light microscopic image of 1 µm-semithin epoxy resin section with toluidin-blue staining
顎下腺は粘液細胞(白い顆粒)と漿液細胞(青く染まった顆粒)で構成されます。
(エポン樹脂包埋準超薄切片のトルイジンブルー染色光顕像)
【 厚さ20 µm パラフィン切片の低真空走査型電子顕微鏡画像 】
Low-voltage scanning electron microscopic image of 20 µm-thick paraffin section


唾液を産生する腺房細胞と分泌顆粒が鮮明に観察されます。


扁平な内皮細胞で覆われる血管と立方上皮からなる導管が並んで観察されます。

立方上皮からなる導管の拡大像


腺房の間を繋ぐ結合組織