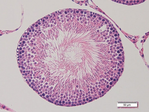
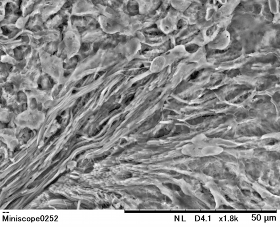
精 巣(ラット) Testis ( rat )
厚さ5 µm パラフィン切片のヘマトキシリン・エオジン染色光学顕微鏡画像
Light microscopic image of 5 µm-thin paraffin section with hematoxylin & eosin staining

【 厚さ30 µm パラフィン切片の低真空走査型電子顕微鏡画像 】
Low-voltage scanning electron microscopic image of 30 µm-thick paraffin section
精子を作り出す精巣は、主に精細管で構成されており、
様々な成熟段階にある精子形成細胞が観察されます。


精子形成細胞が中心部で螺旋を描く様子がきれいに観察されます。


