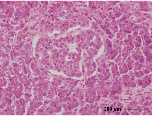
膵臓(ラット) Pancreas ( rat )
厚さ5 µm パラフィン切片のヘマトキシリン・エオジン染色光学顕微鏡画像
Light microscopic image of 5 µm-thin paraffin section with hematoxylin & eosin staining
膵臓には消化酵素の分泌に加え、血糖コントロールに関与するインスリンや
ガストリンなどのホルモン産生機能があり、ランゲルハンス島がその役を担います。

ランゲルハンス島と周囲を囲む外分泌部
【 厚さ20 µm パラフィン切片の低真空走査型電子顕微鏡画像 】
Low-voltage scanning electron microscopic image of 20 µm-thick paraffin section

消化酵素を分泌する腺房

腺房細胞内には消化酵素を含む多数の分泌顆粒が観察されます。

上方1/3=消化酵素を分泌する腺房、下方2/3=インスリンなどを分泌するランゲルハンス島

ランゲルハンス島の内部には血管が多く、インスリンやグルカゴンを全身へ運搬します。