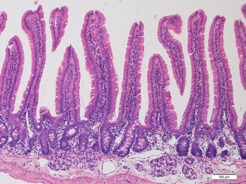
小 腸(ラット) Small Intestine ( rat )
厚さ5 µm パラフィン切片のヘマトキシリン・エオジン染色光学顕微鏡画像
Light microscopic image of 5 µm-thin paraffin section with hematoxylin & eosin staining
消化された栄養分を吸収する小腸の内腔表面は、絨毛と呼ばれる構造によって
表面積を増大し、栄養分の吸収効率を上げています。

絨毛の縦断面
【 厚さ20 µm パラフィン切片の低真空走査型電子顕微鏡画像 】
Low-voltage scanning electron microscopic image of 20 µm-thick paraffin section


絨毛を被う吸収上皮細胞の頂上部には微絨毛が並び、小腸の内表面積を
約20倍にまで増大し、栄養分の吸収効率を更に上げています。