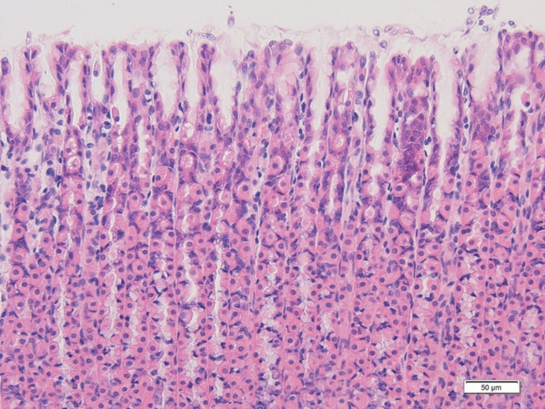
胃(ラット) Stomach ( rat )
厚さ5 µm パラフィン切片のヘマトキシリン・エオジン染色光学顕微鏡画像
Light microscopic image of 5 µm-thin paraffin section with hematoxylin & eosin staining
【 厚さ20 µm パラフィン切片の低真空走査型電子顕微鏡画像 】
Low-voltage scanning electron microscopic image of 20 µm-thick paraffin section

表層粘液細胞

胃腺を構成する壁細胞や粘液細胞
粘膜筋板が上部の胃粘膜と下部の粘膜下組織を隔てる構造が観察されます。