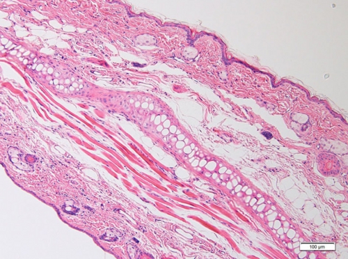
耳介(ラット) Auricle ( rat )
厚さ5 µm パラフィン切片のヘマトキシリン・エオジン染色光学顕微鏡画像
Light microscopic image of 5 µm-thin paraffin section with hematoxylin & eosin staining

【 厚さ30 µm パラフィン切片の低真空走査型電子顕微鏡画像 】
Low-voltage scanning electron microscopic image of 30 µm-thick paraffin section

中央部の弾性軟骨を挟むように骨格筋や血管、結合組織が観察されます。

結合組織を構成する太い膠原線維と細い細網線維が明瞭に観察されます。