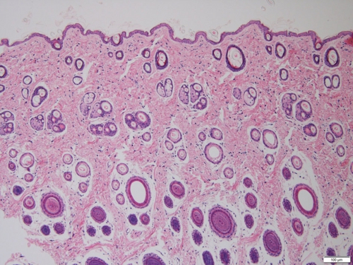
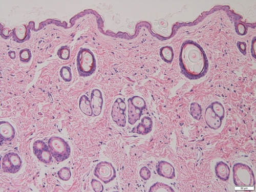
皮膚(ラット) Skin ( rat )
厚さ5 µm パラフィン切片のヘマトキシリン・エオジン染色光学顕微鏡画像
Light microscopic image of 5 µm-thin paraffin section with hematoxylin & eosin staining


【 厚さ20 µm パラフィン切片の低真空走査型電子顕微鏡画像 】
Low-voltage scanning electron microscopic image of 20 µm-thick paraffin section


皮膚表面は機械的刺激に耐える重層扁平上皮で構成されます。
内部には毛包が多数、観察されます。



毛包(上段・中段)と毛根(下段)の構造が観察されます