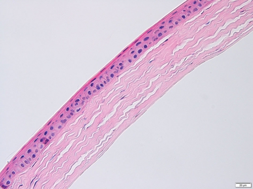
角 膜(ラット) Cornea ( rat )
厚さ5 µm パラフィン切片のヘマトキシリン・エオジン染色光学顕微鏡画像
Light microscopic image of 5 µm-thin paraffin section with hematoxylin & eosin staining

厚さ1 µm エポン樹脂準超薄切片のトルイジンブルー染色光学顕微鏡画像
Light microscopic image of 1 µm-semithin epoxy resin section with toluidin-blue staining
角膜は眼球前方の透明な部分で角膜上皮や支質によって構成されます。

【 厚さ30 µm パラフィン切片の低真空走査型電子顕微鏡画像 】
Low-voltage scanning electron microscopic image of 30 µm-thick paraffin section

内皮細胞(手前表面)と角膜上皮、支質を構成する
膠原線維が鮮明に観察されます。

内皮細胞(手前表面:赤)と角膜上皮(緑)、支質(青)を
構成する膠原線維が鮮明に観察されます。