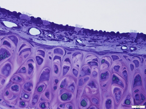
気 管(ラット) Trachea ( rat )
厚さ1 µm エポン樹脂準超薄切片のトルイジンブルー染色光学顕微鏡画像
Light microscopic image of 1 µm-semithin epoxy resin section with toluidin-blue staining

気管には粒子状物質の排除に関与する線毛細胞 ciliated cell が観察されます。
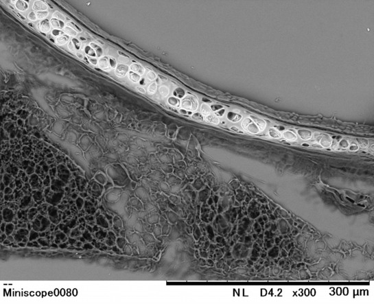
【 厚さ30 µm パラフィン切片の低真空走査型電子顕微鏡画像 】
Low-voltage scanning electron microscopic image of 30 µm-thick paraffin section



線毛細胞の拡大像

気管がつぶれないように周囲を取り囲む硝子軟骨
(鉛染色のみ:軟骨組織は鉛染色に反応して白く観察されます)