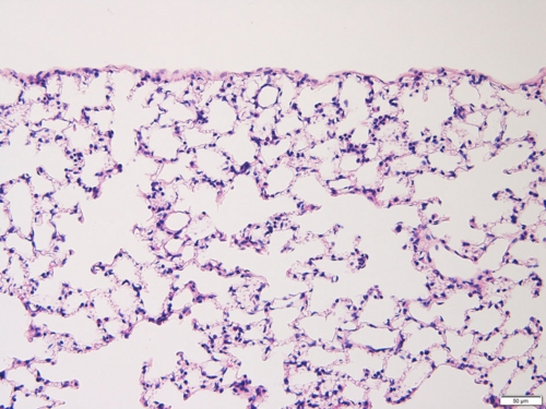
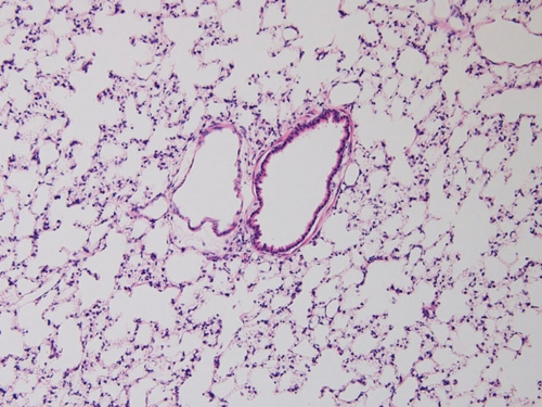
肺(ラット) Lung ( rat )
厚さ5 µm パラフィン切片のヘマトキシリン・エオジン染色光学顕微鏡画像
Light microscopic image of 5 µm-thin paraffin section with hematoxylin & eosin staining


厚さ1 µm エポン樹脂準超薄切片のトルイジンブルー染色光学顕微鏡画像
Light microscopic image of 1 µm-semithin epoxy resin section with toluidin-blue staining
血液と肺胞との間では、酸素と二酸化炭素の交換が行われるため、
両者を隔てる血液ー肺胞関門は非常に薄くなっています。

【 厚さ30 µm パラフィン切片の低真空走査型電子顕微鏡画像 】
Low-voltage scanning electron microscopic image of 30 µm-thick paraffin section

肺胞の構造を立体的に高解像度で観察することが出来ます。



肺胞へ空気を送り込む細気管支の表面は線毛を有する特殊な上皮で覆われます。


肺胞を取り囲む毛細血管と心臓の間を繋ぐ血管は内皮細胞で覆われます。


肺の表面は単層扁平上皮からなる臓側胸膜と呼ばれる漿膜で覆われます。直下には
肺胞が位置し、毛細血管内には酸素を受けとる赤血球が見受けられます。