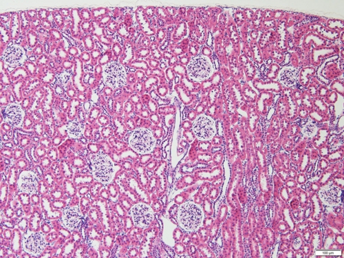
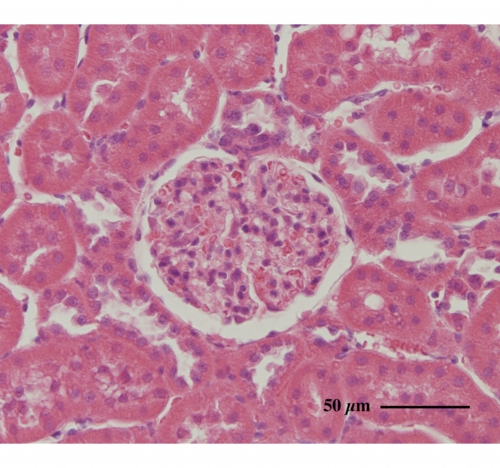
腎臓(ラット) Kidney ( rat )
厚さ5 µm パラフィン切片のヘマトキシリン・エオジン染色光学顕微鏡画像
Light microscopic image of 5 µm-thin paraffin section with hematoxylin & eosin staining
血液中の老廃物などは腎臓の皮質に散在する腎小体で原尿として濾過されます。

腎小体の断面
糸球体と呼ばれる球状の毛細血管(写真中央)を、袋状の上皮が取り囲んでいます。
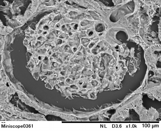
【 厚さ20 µm パラフィン切片の低真空走査型電子顕微鏡画像 】
Low-voltage scanning electron microscopic image of 20 µm-thick paraffin section



【 厚さ30 µm パラフィン切片の低真空走査型電子顕微鏡画像 】
Low-voltage scanning electron microscopic image of 30 µm-thick paraffin section





腎小体の糸球体を構成する足細胞の細胞体(青)と足突起(赤)が
明瞭に観察されます。

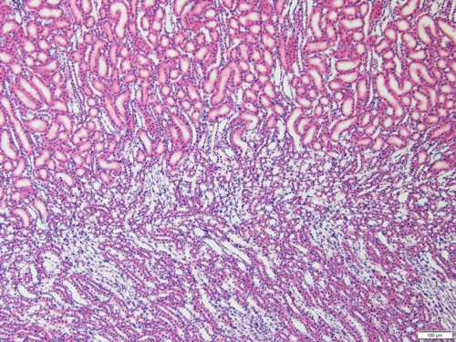
厚さ5 µm パラフィン切片のヘマトキシリン・エオジン染色光学顕微鏡画像
Light microscopic image of 5 µm-thin paraffin section with hematoxylin & eosin staining
腎小体でつくられた原尿は尿細管に送られ、必要なグルコースや水分などを
再吸収した後、尿管を経由して膀胱へ送られます。
【 厚さ20 µm パラフィン切片の低真空走査型電子顕微鏡画像 】
Low-voltage scanning electron microscopic image of 20 µm-thick paraffin section

