バイオメディカル電顕リサーチサイト  BioMedical EM Research Site  

低真空 走査型電子顕微鏡画像集
Photo Gallery of LV-SEM images

宮崎大学医学部解剖学講座 超微形態科学分野
Department of Anatomy, Ultrastructural Cell Biology
Faculty of Medicine, University of Miyazaki



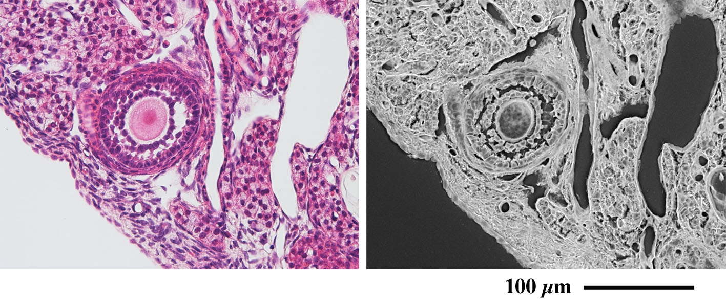
卵巣(ラット) Ovary ( rat )


(左:パラフィン切片のヘマトキシリン・エオジン染色光顕像/右:低真空SEM像)



二次卵胞



成熟に従って径が拡大