バイオメディカル電顕リサーチサイト  BioMedical EM Research Site  

低真空 走査型電子顕微鏡画像集
Photo Gallery of LV-SEM images

宮崎大学医学部解剖学講座 超微形態科学分野
Department of Anatomy, Ultrastructural Cell Biology
Faculty of Medicine, University of Miyazaki



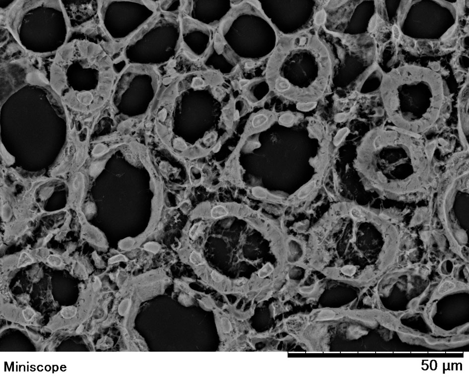
腎臓(ラット) Kidney ( rat )


(左:パラフィン切片のヘマトキシリン・エオジン染色光顕像/右:低真空SEM像)




血液から濾過された原尿が作られる腎小体


糸球体の血管を取り巻く足細胞の突起が明瞭に観察されます


拡大像





(左:パラフィン切片のヘマトキシリン・エオジン染色光顕像/右:低真空SEM像)
原尿から水分や有用な成分を再吸収し、濃縮した尿をつくる尿細管


遠位尿細管やヘンレのループが密集する腎髄質


拡大像