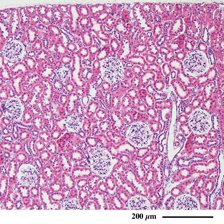
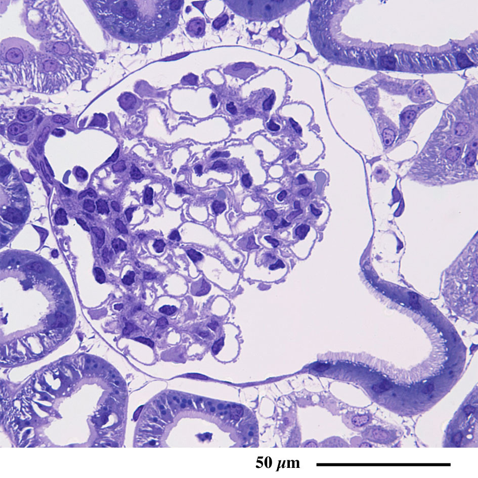
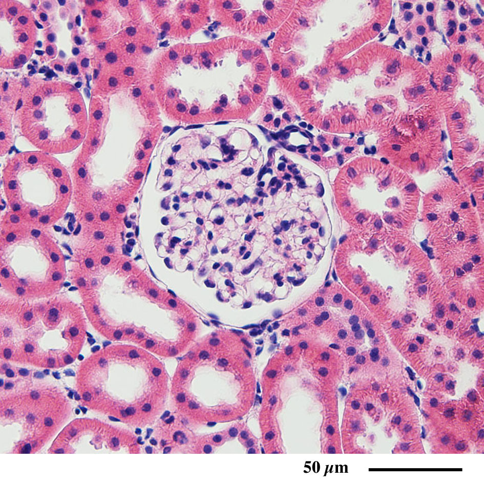
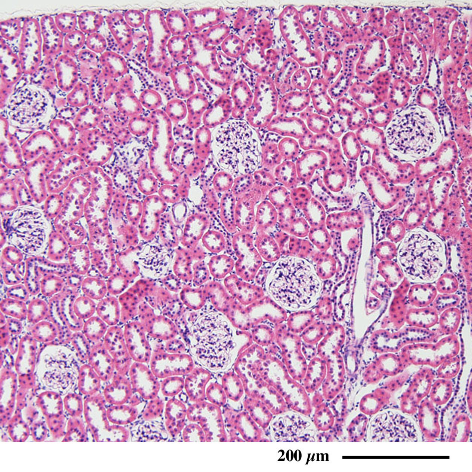
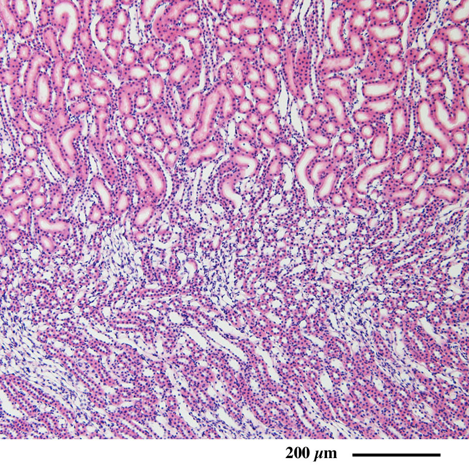
肾脏(大鼠) Kidney(rat)
石蜡切片苏木精-伊红染色光学显微镜图像
Light microscopic image of paraffin section with hematoxylin & eosin staining
散布在肾皮质中的肾小体产生的原尿,
经由肾小管,输尿管,最终被输送至膀胱。

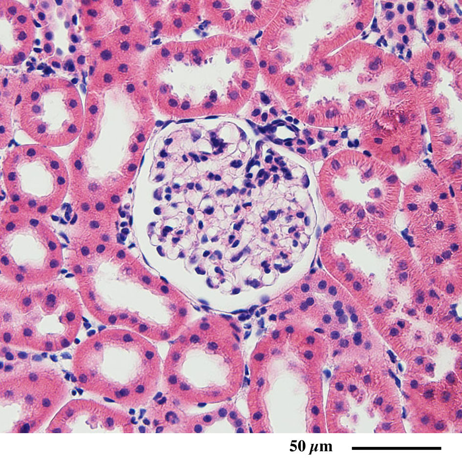
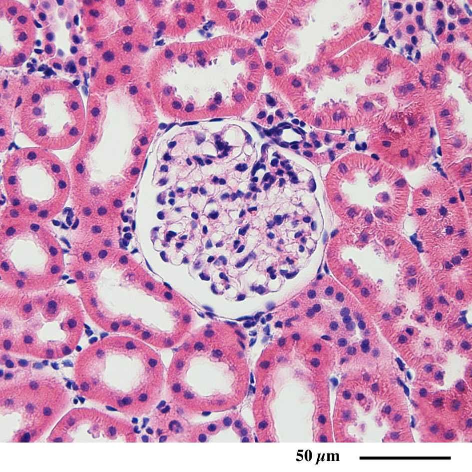
肾皮质结构

肾小体截面
位于照片中央的球状肾小球,是一个毛细血管团,由囊状上皮组织包裹。
肾髓质结构
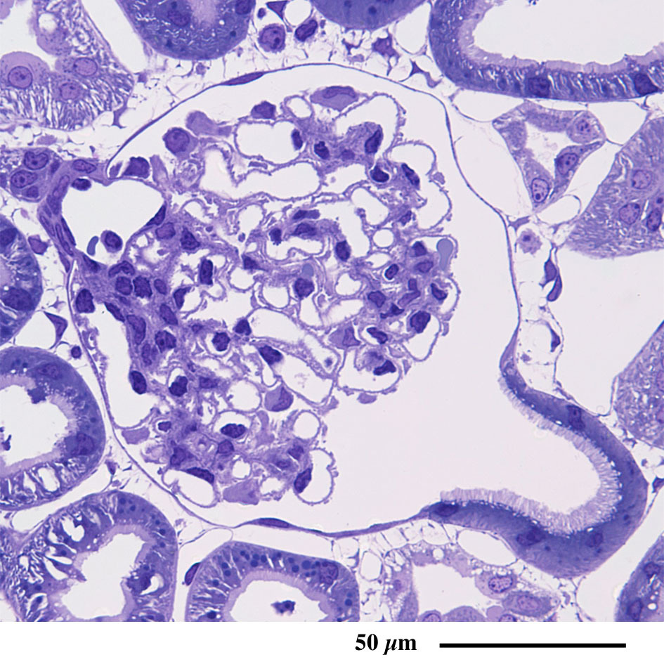
甲苯胺蓝染色的环氧树脂半薄切片光学显微镜图像
Light microscopic image of semithin epoxy resin section with toluidin-blue staining
肾小体截面
位于照片中央的球状肾小球,是一个毛细血管团,由囊状的肾小囊包裹。
【厚石蜡切片的低真空扫描电子显微镜图像】
Low-voltage scanning electron microscopic image of thick paraffin section

构成肾小体的肾小球

肾小球放大图像
可观察到足突在毛细血管外周包绕的形态。

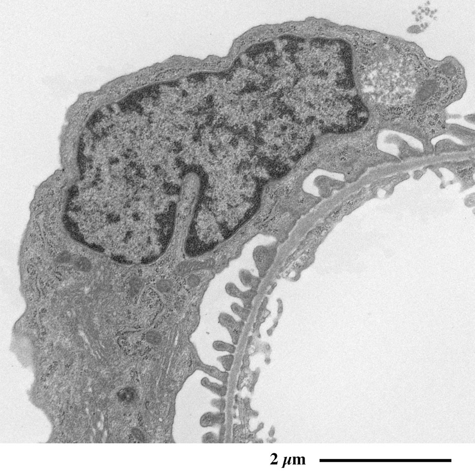
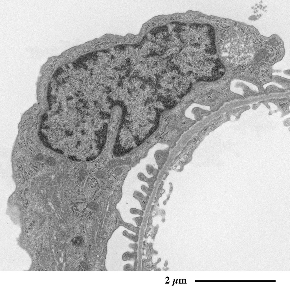
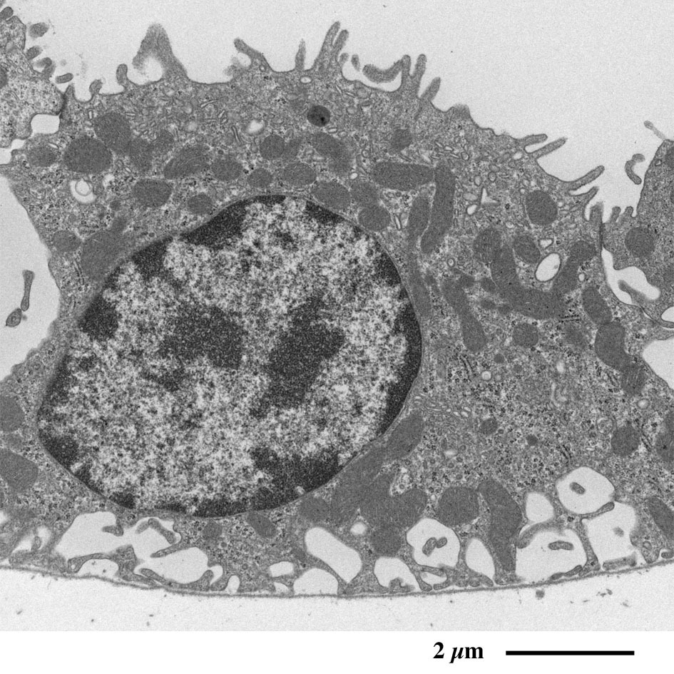
足细胞放大图像
可观察到包裹在毛细血管外周足细胞的足突。

主要由肾小管构成的髓质
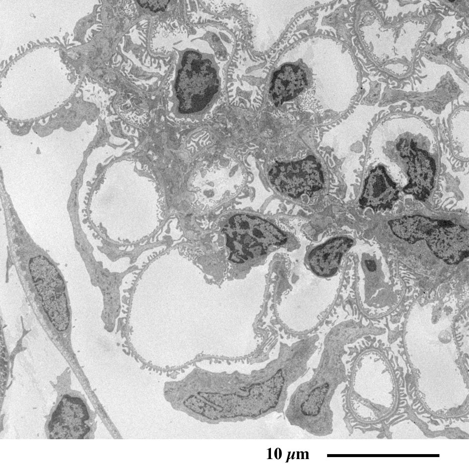
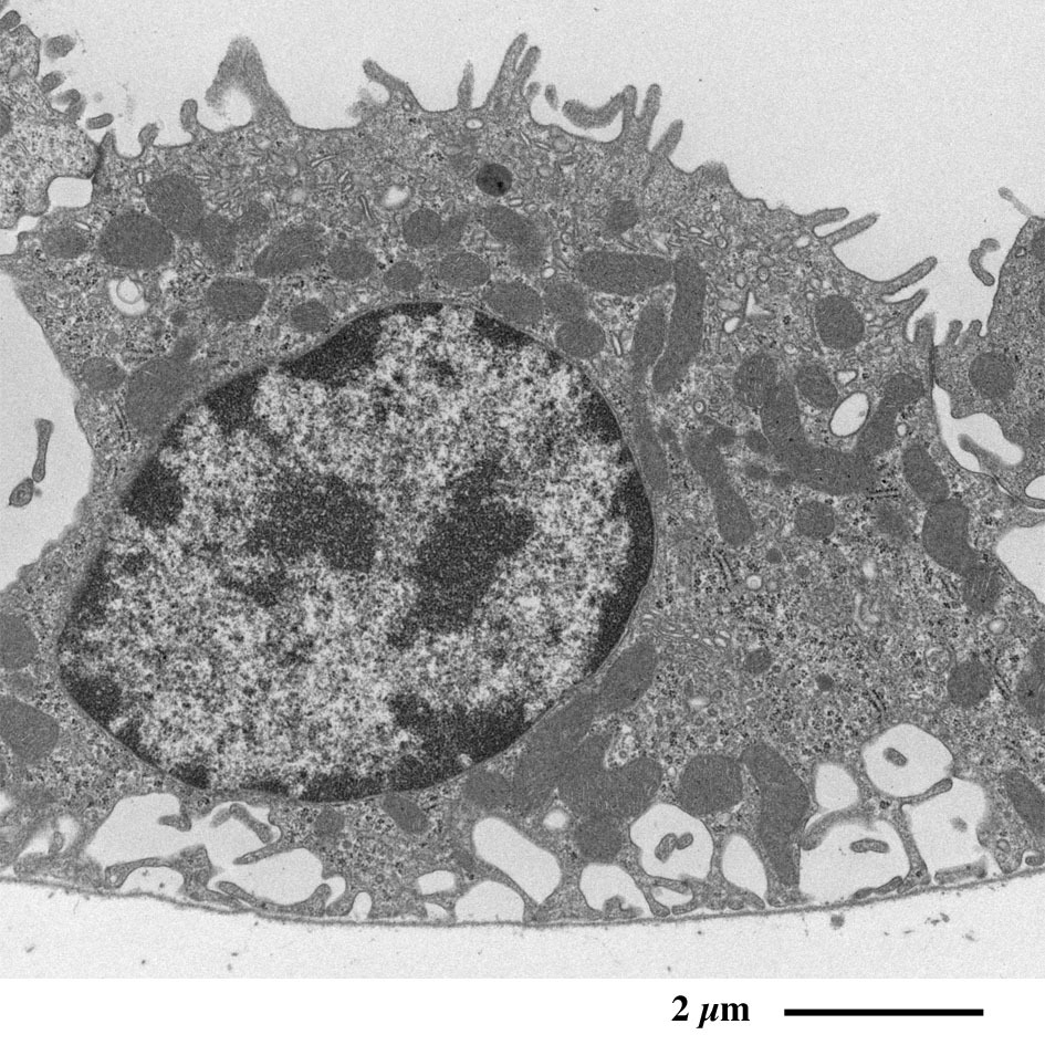
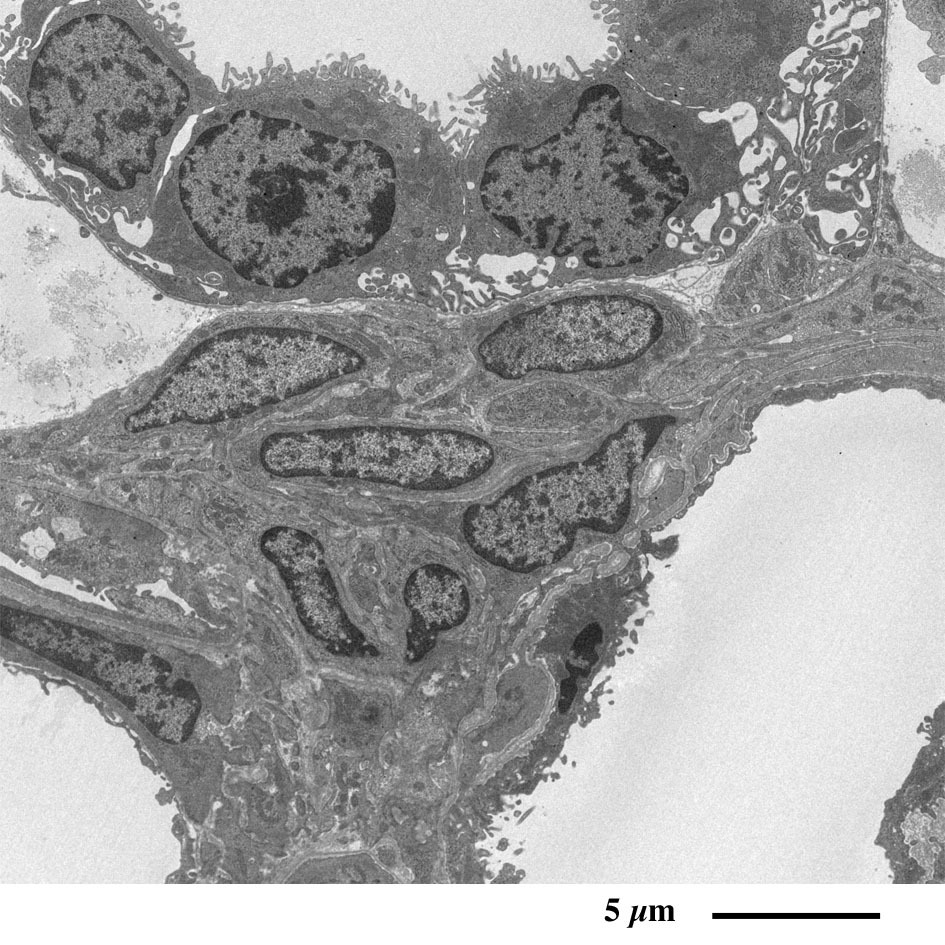
【超薄切片的透射电子显微镜图像】
Transmission electron microscopic image of ultrathin section

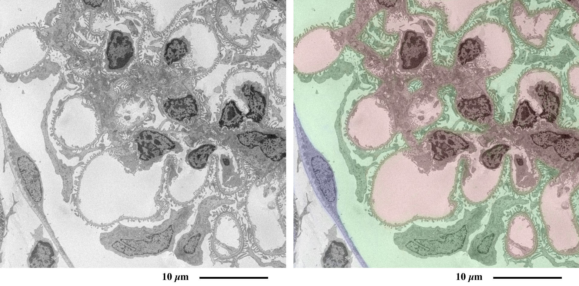
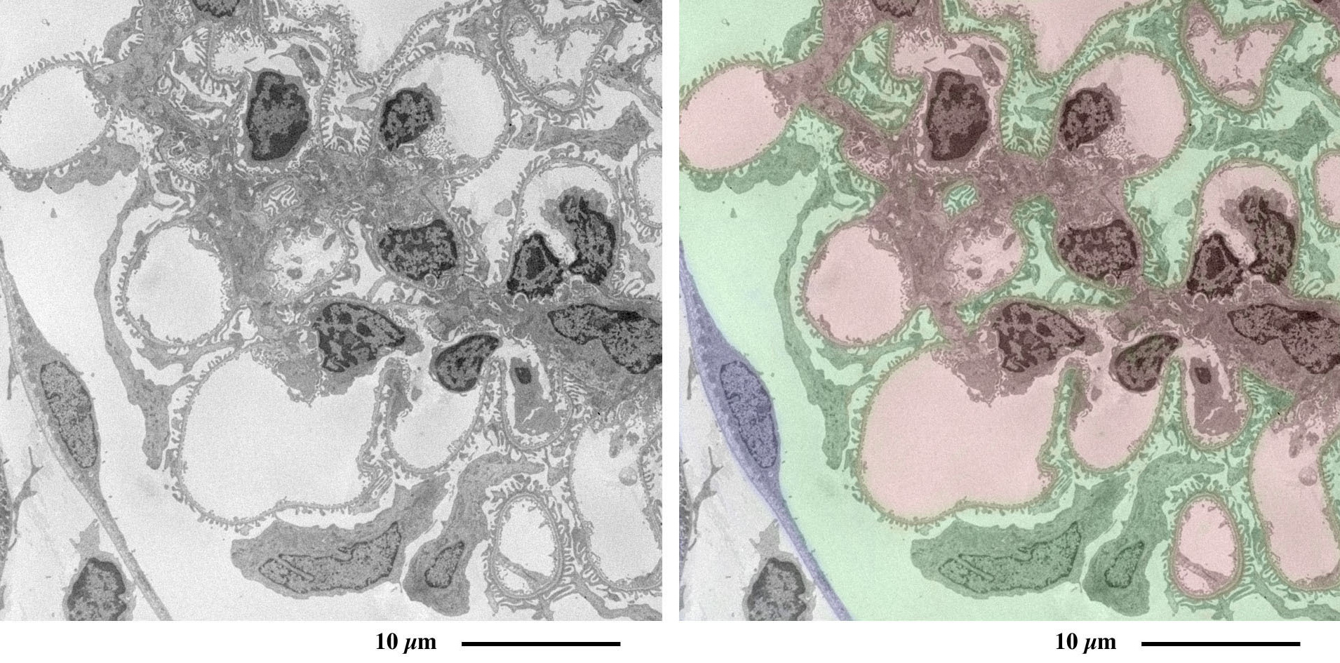
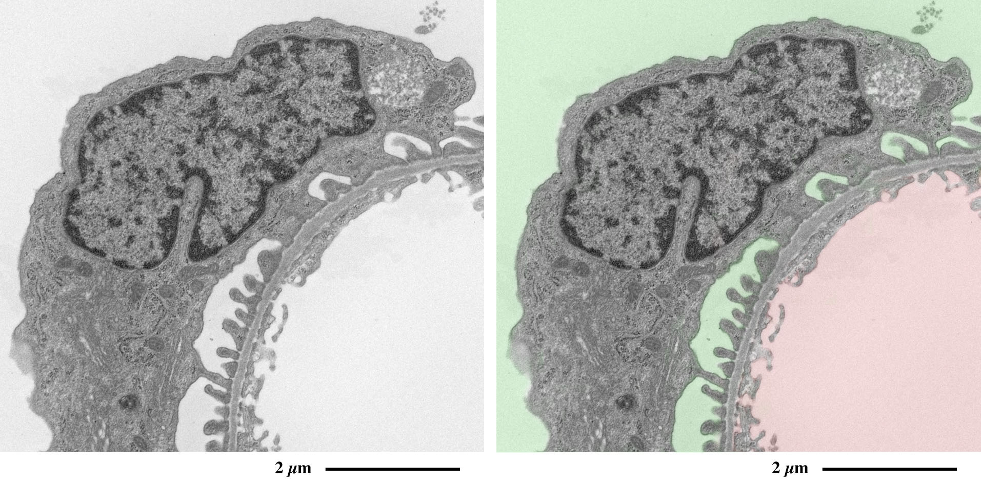
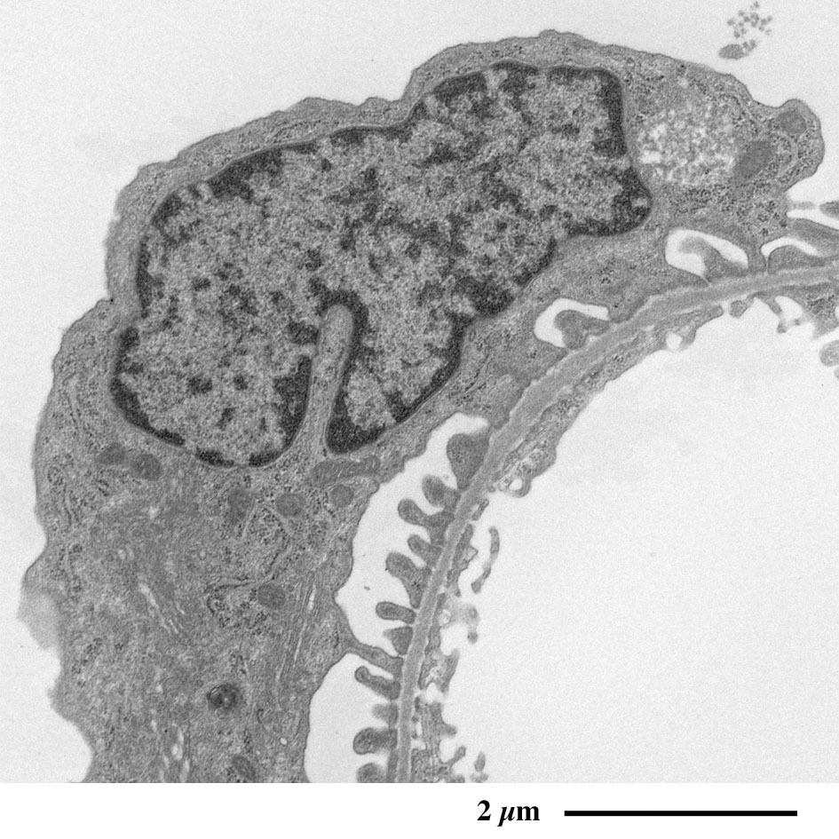
肾小球的电子显微镜图像
表面含有足细胞的毛细血管蟠曲穿行于肾小囊腔中,
其外周被肾小囊包裹。

毛细血管(红色)穿行于肾小囊腔内(绿色),其表面覆盖足细胞(肾小囊脏层),
整体被肾小囊(蓝色)壁层包裹。

肾小球放大图像
可观察到足突在毛细血管外周包绕的形态。

肾小球放大图像
可观察到足突在毛细血管(红色)外周包绕的形态。
绿色:肾小囊腔
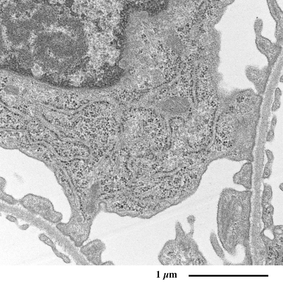
足细胞内发达的高尔基体(红色)

足细胞内发达的粗面内质网

肾小球放大图像
可观察到足突在毛细血管外周包绕的形态。

肾小球放大图像
可观察到足细胞(黄色)突起包绕在毛细血管(红色)的外周。
绿色:肾小囊腔、蓝色:血管内皮细胞

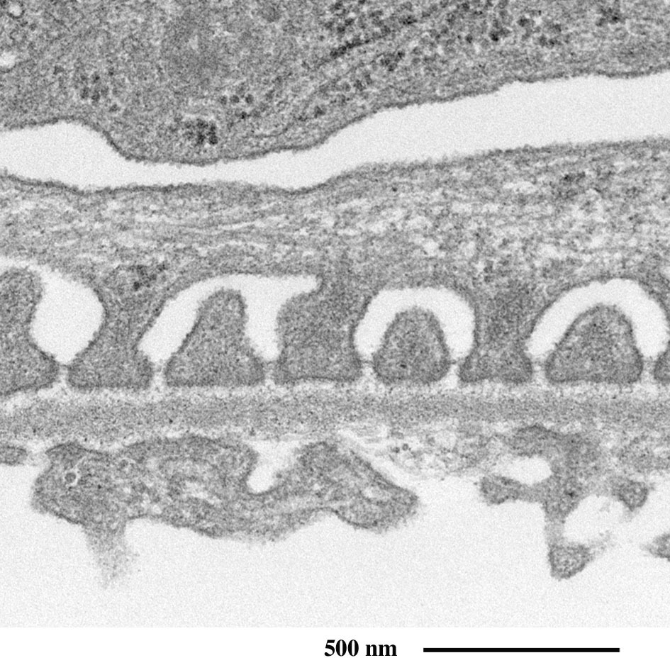
相互嵌合的足突

相互嵌合的足突
(放大图像)

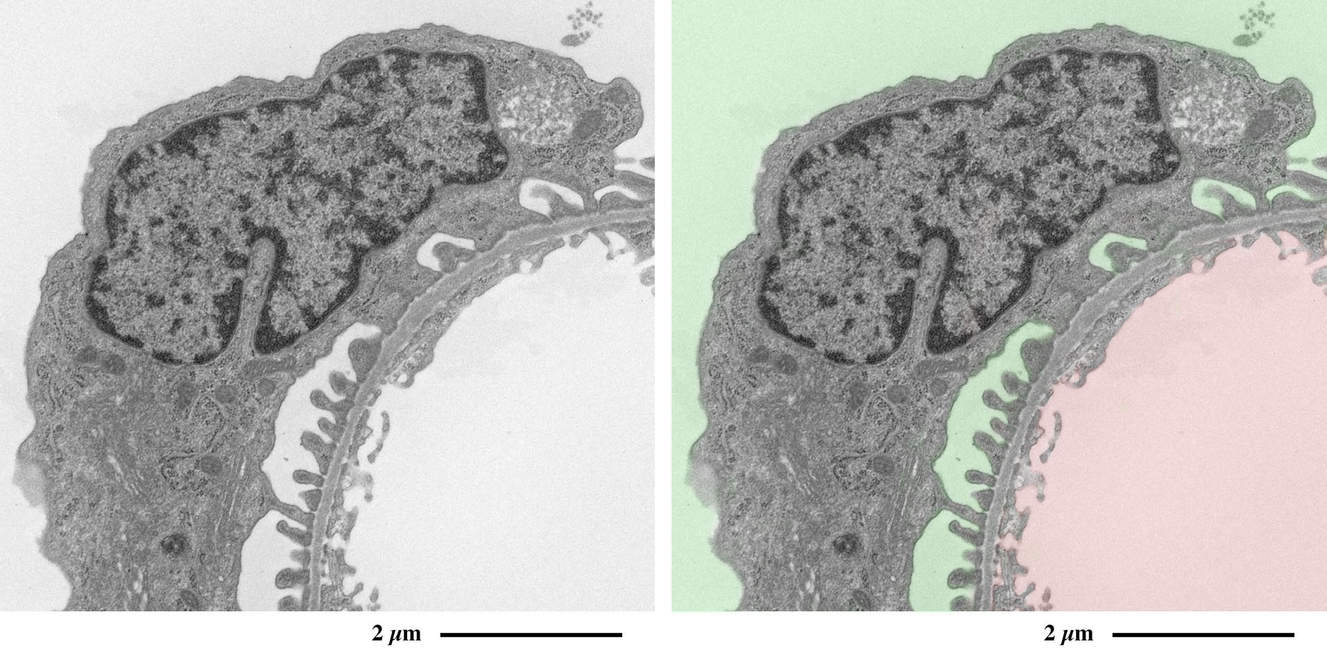
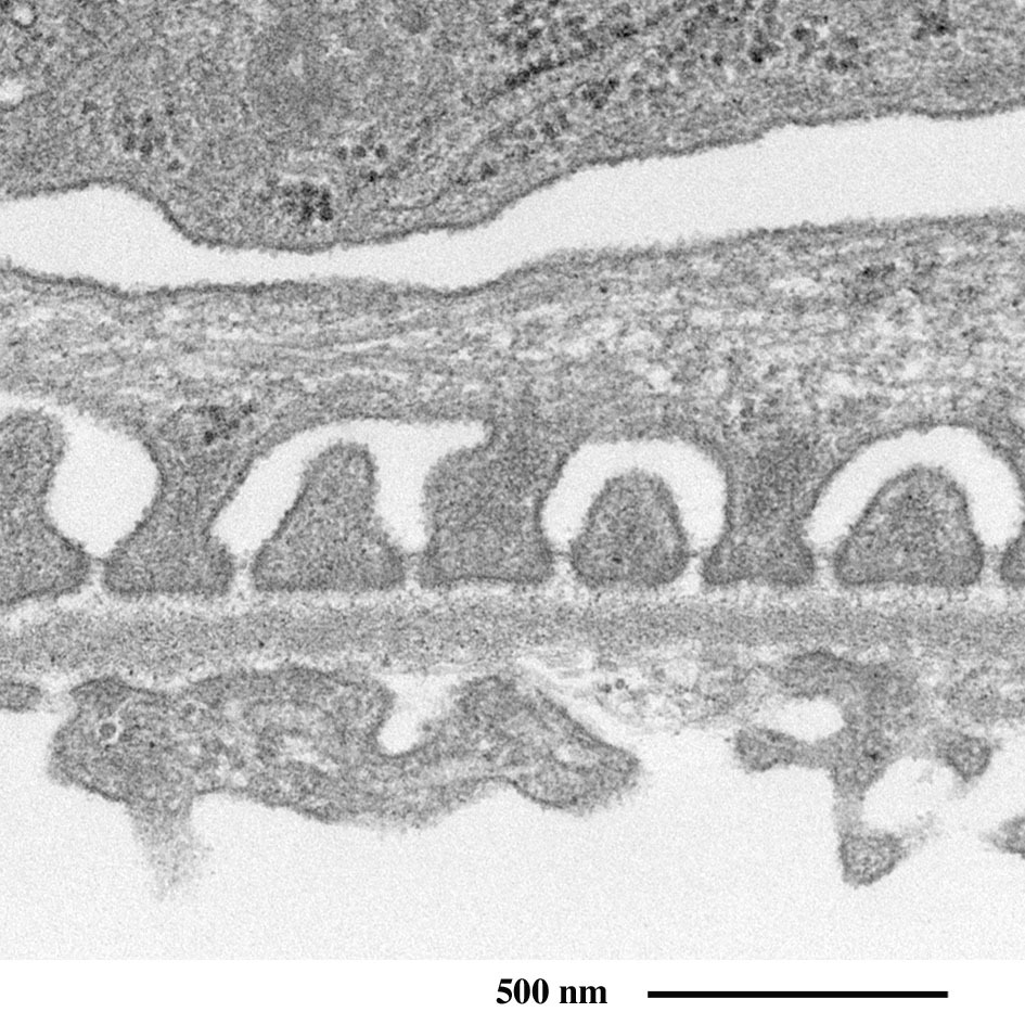
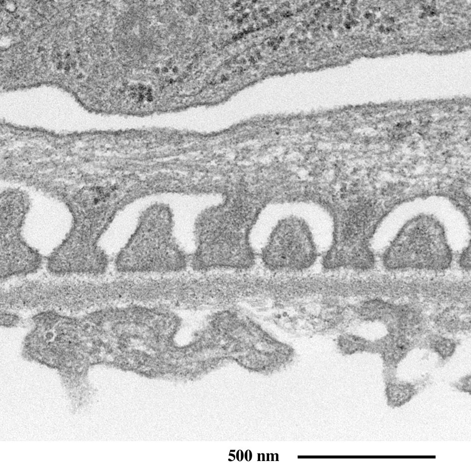
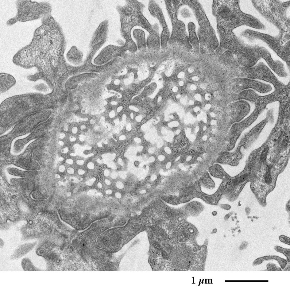
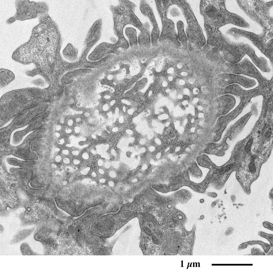
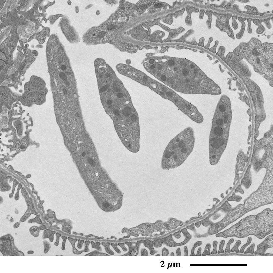
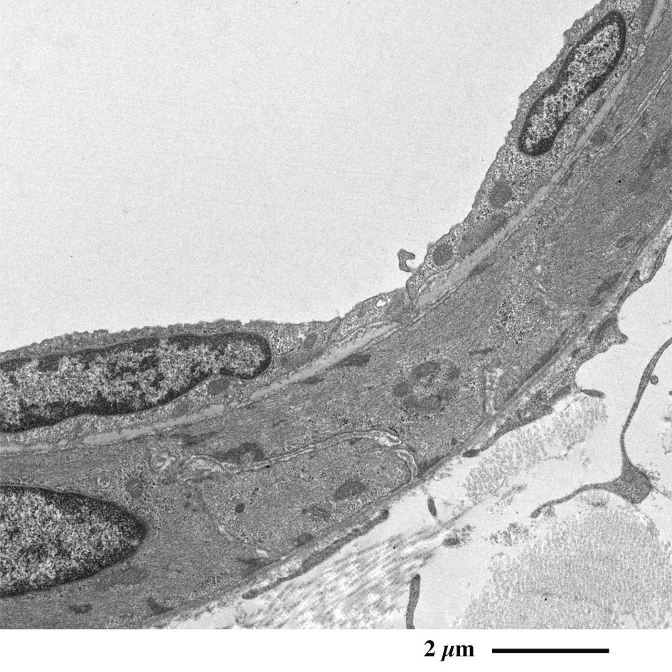
肾小球的有孔毛细血管
(外周被足突包绕的毛细血管壁截面)
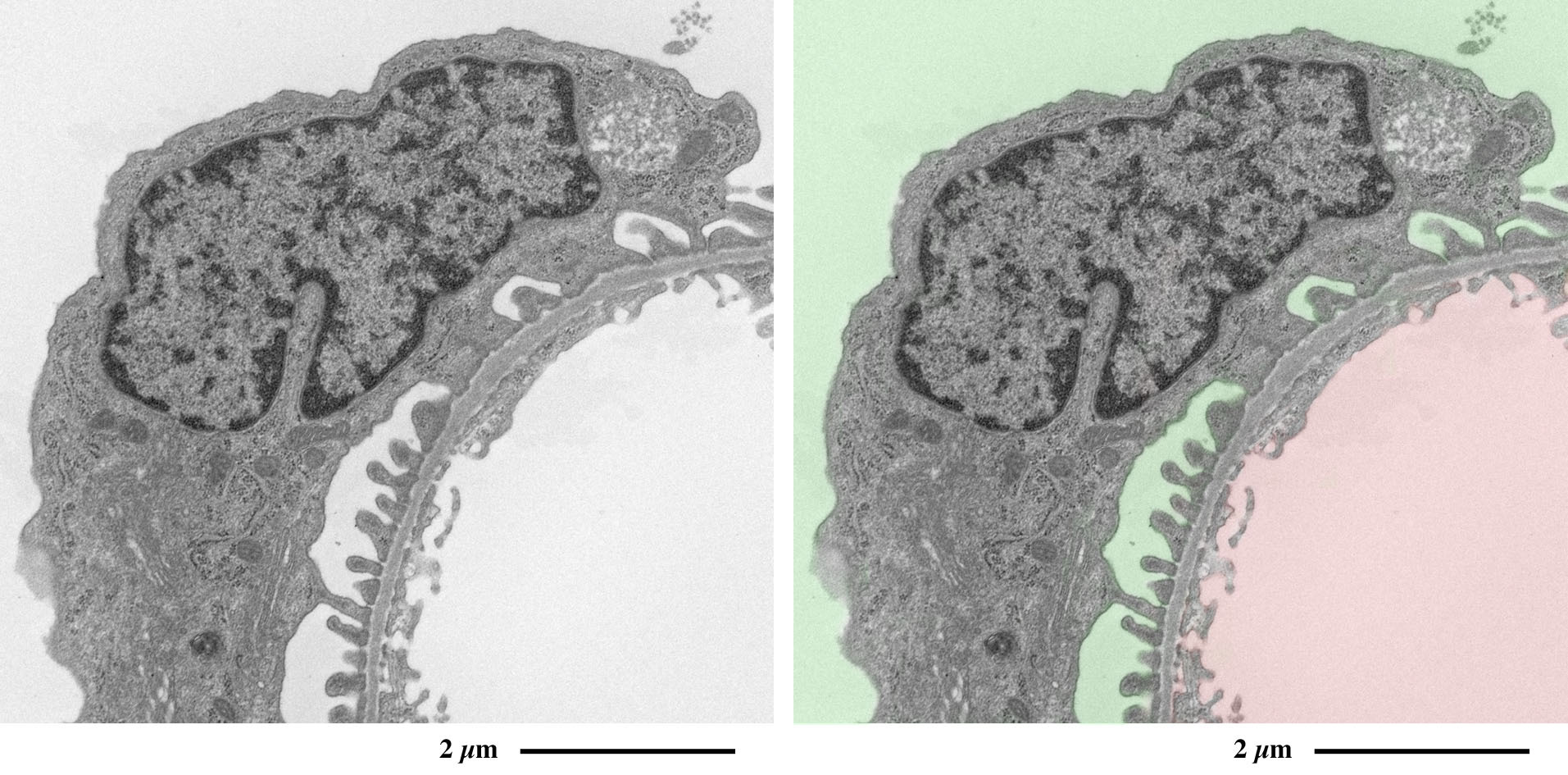
肾小球的有孔毛细血管
(血管壁的横断面)

肾小球的有孔毛细血管
(血管壁的横断面)
红色:血管内腔、蓝色:血管内皮细胞、绿色:足细胞

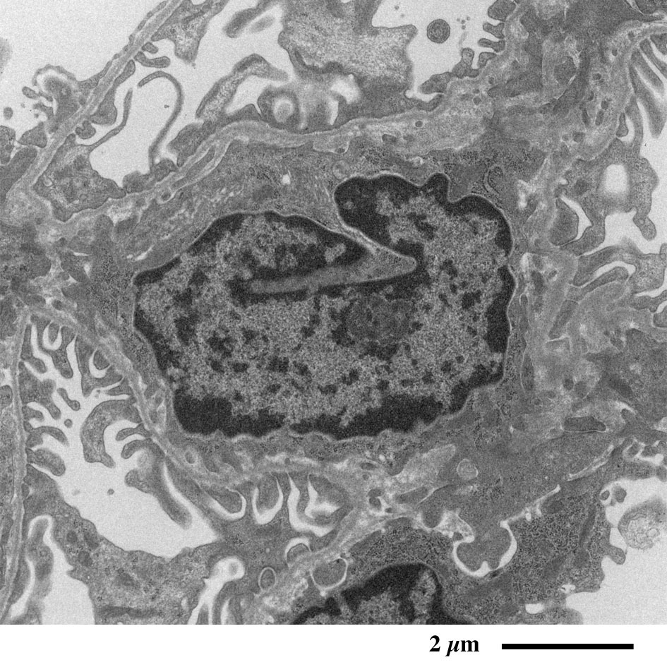
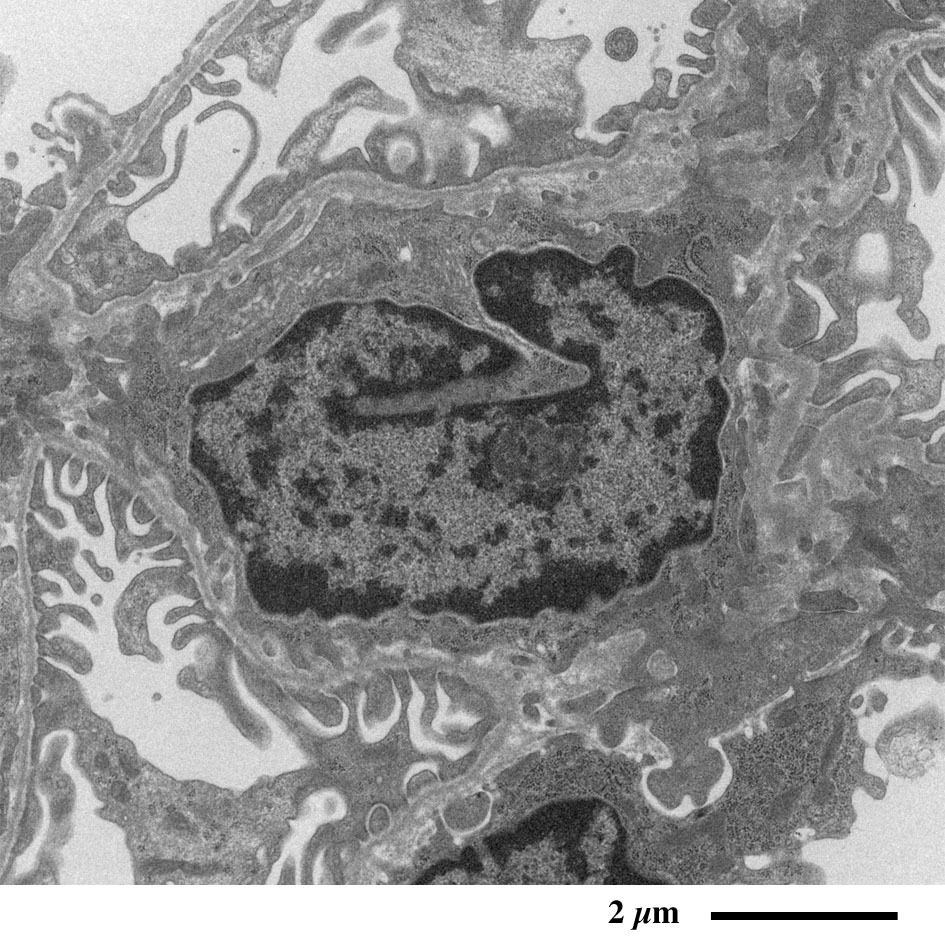
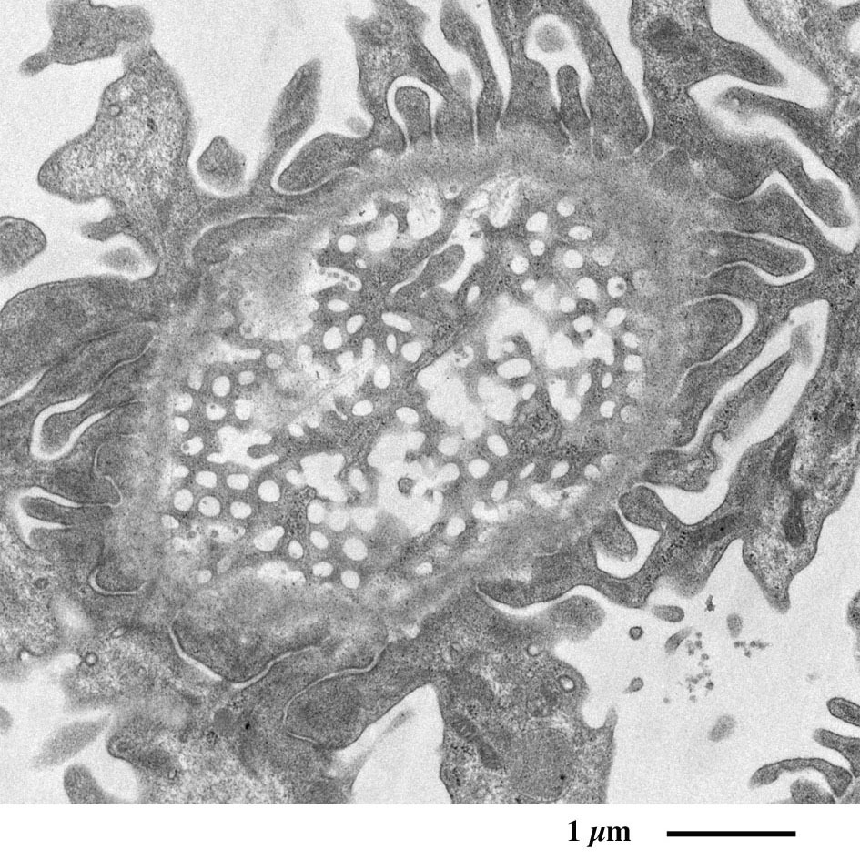
肾小球毛细血管与血小板
因体积较大,血小板与红细胞无法被滤过,故而存留于血管内。

肾小球毛细血管与血小板
红色:毛细血管与血管内皮细胞、黄色:血小板、绿色:肾小囊腔与足细胞

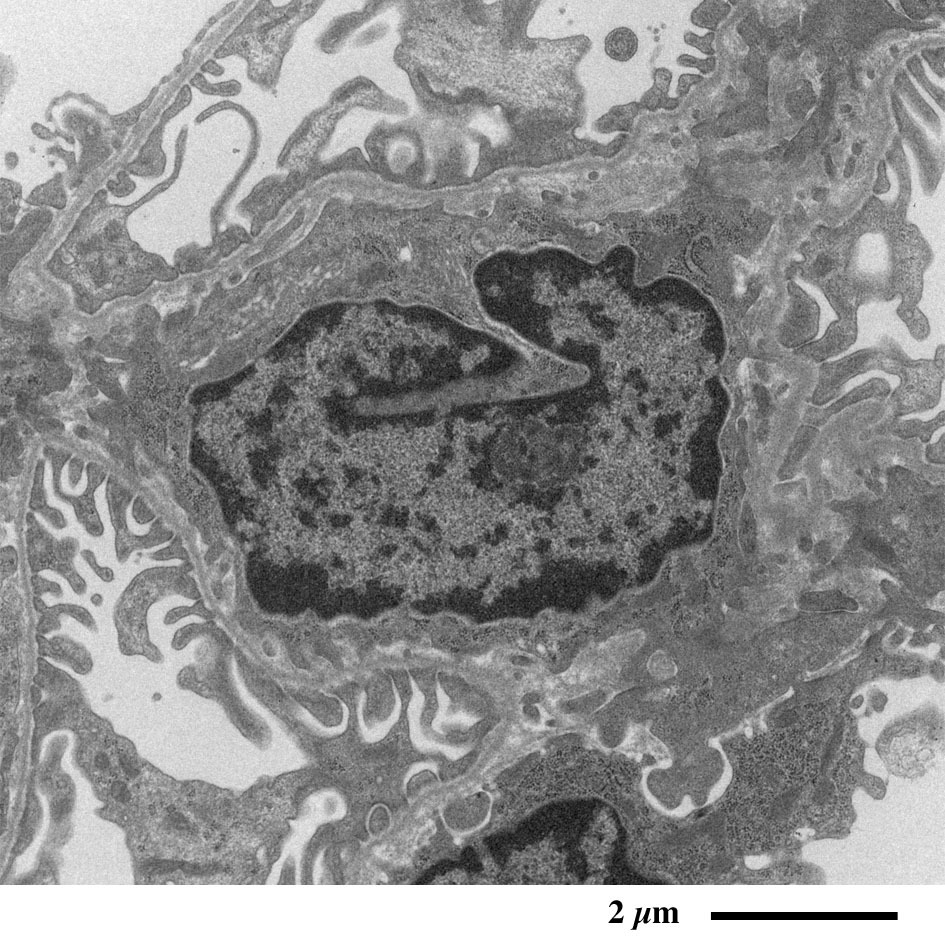
肾小球系膜细胞

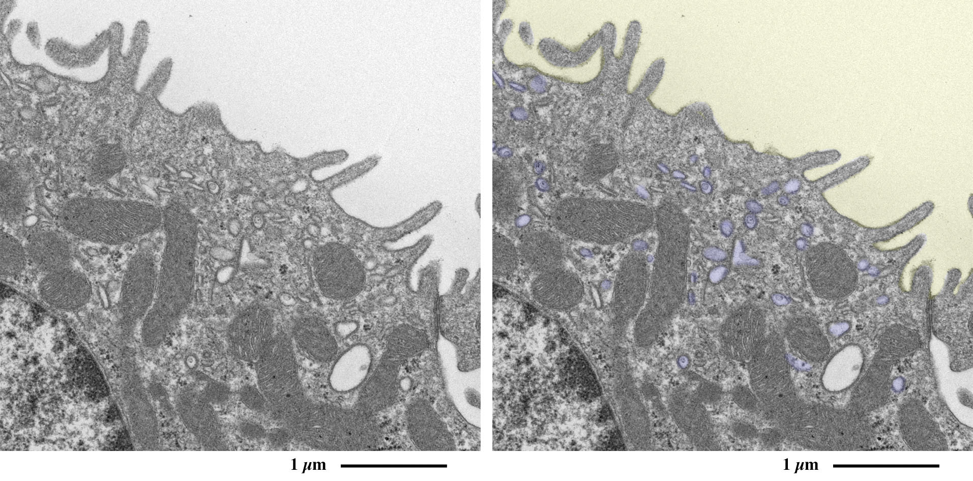
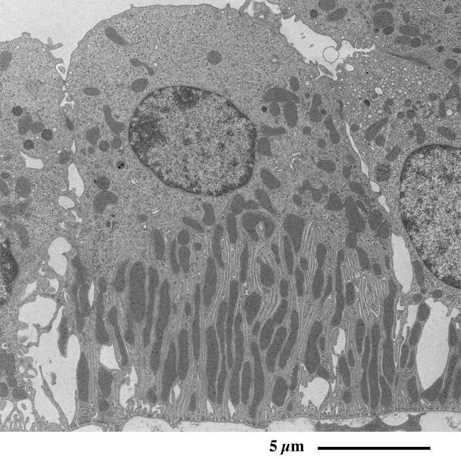
近端小管
为了重吸收原尿中含有的葡萄糖、电解质、水等身体必需物质,
上皮细胞顶端排列着微绒毛以增大表面积。

近端小管
为了重吸收原尿中含有的葡萄糖、电解质、水等身体必需物质,
上皮细胞顶端排列着微绒毛以增大表面积。
黄色:肾小管管腔、蓝色:肾小管上皮细胞、红色:毛细血管

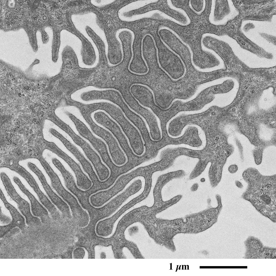
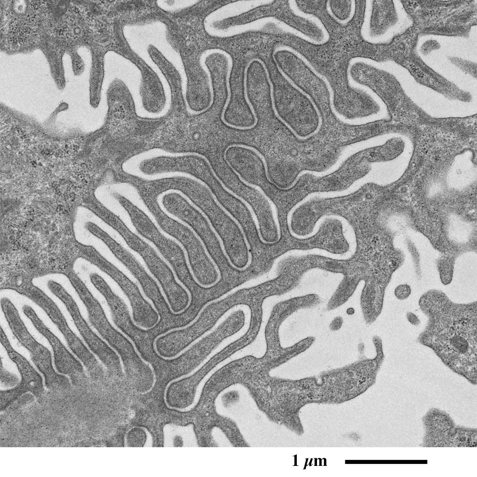
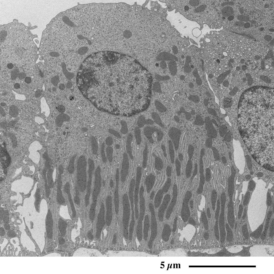
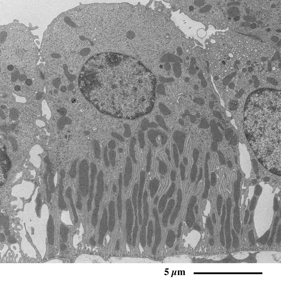
近端小管上皮细胞
为了重吸收原尿中含有的葡萄糖、电解质、水等身体必需物质,
上皮细胞顶端排列着微绒毛以增大表面积。

近端小管上皮细胞
为了重吸收原尿中含有的葡萄糖、电解质、水等身体必需物质,
上皮细胞顶端排列着微绒毛以增大表面积。
黄色:肾小管管腔、蓝色:肾小管上皮细胞、红色:毛细血管

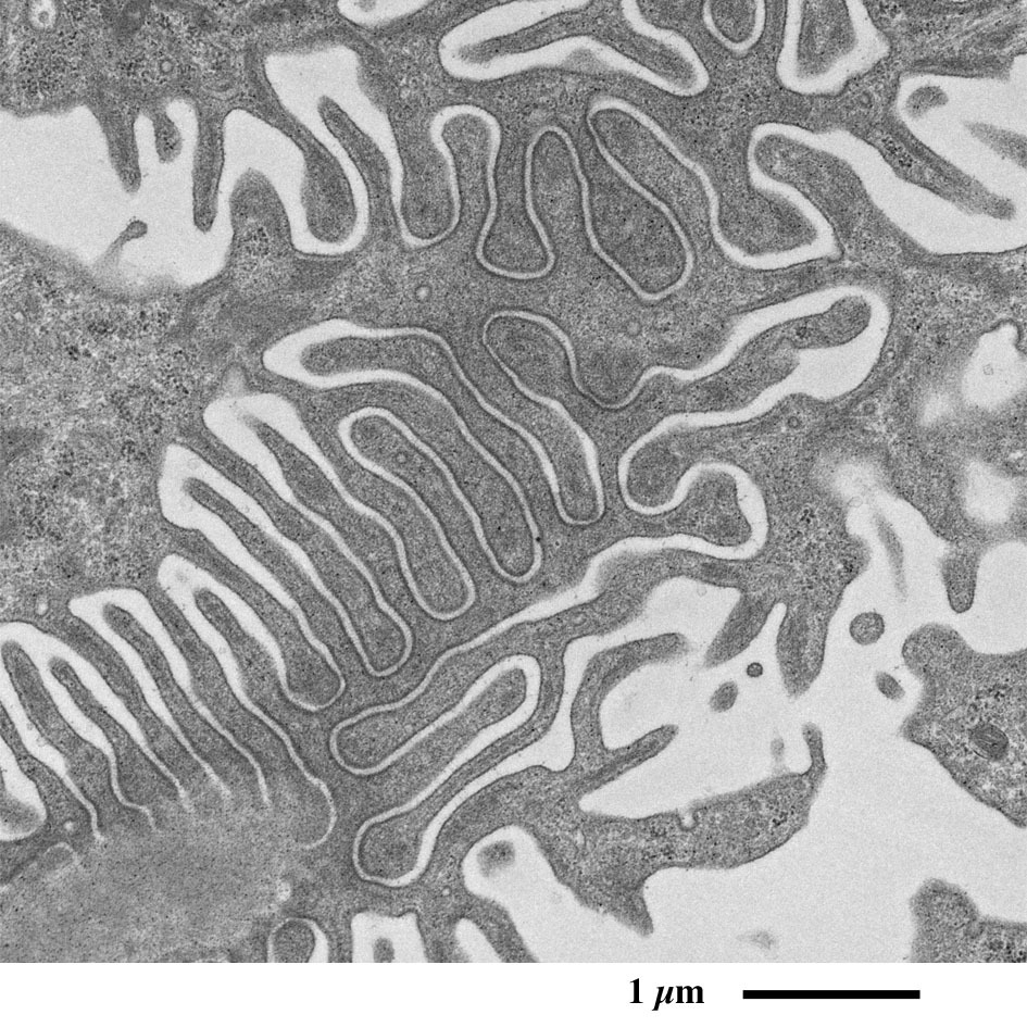
近端小管上皮细胞
(微绒毛横断面)

近端小管上皮细胞
(微绒毛横断面)

近端小管上皮细胞
(微绒毛纵断面)

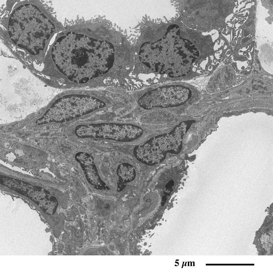
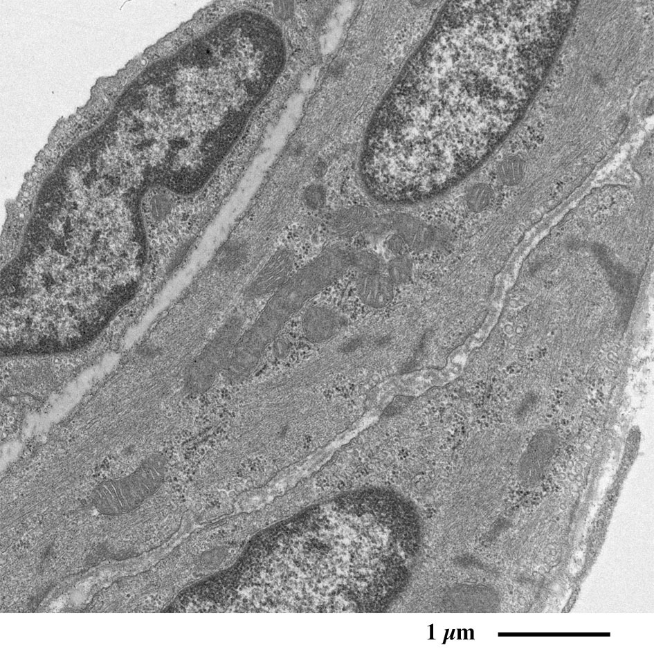
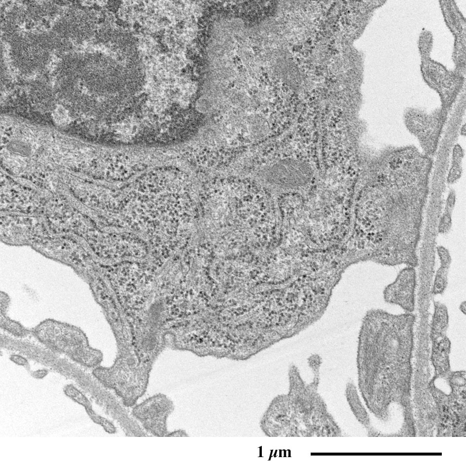
远端小管上皮细胞

肾小球旁器
位于肾小体血管极处,调节肾小球滤过率。

肾小球旁器
位于肾小体血管极处,调节肾小球滤过率。
红色:毛细血管腔、黄色:远端小管管腔、蓝色:致密斑细胞、绿色:球外系膜细胞

集合管间细胞
通过分泌氢离子和碳酸氢离子维持酸碱平衡。

集合管间细胞
通过分泌氢离子和碳酸氢离子维持酸碱平衡。
黄色:管腔、蓝色:囊泡

被平滑肌细胞包裹的肌性动脉

被平滑肌细胞包裹的肌性动脉
红色:血管腔、蓝色:血管内皮细胞、绿色:平滑肌细胞
肌性动脉放大图像

肌性动脉放大图像
红色:血管腔、蓝色:血管内皮细胞、绿色:平滑肌细胞、黄色:血管外结缔组织
肌性动脉放大图像

肌性动脉放大图像
红色:血管腔、蓝色:血管内皮细胞、绿色:平滑肌细胞、黄色:血管外结缔组织

肌性动脉放大图像
红色:血管腔、蓝色:血管内皮细胞、绿色:平滑肌细胞、黄色:血管外结缔组织

肌性动脉放大图像
红色:血管腔、蓝色:血管内皮细胞、绿色:平滑肌细胞、黄色:血管外结缔组织