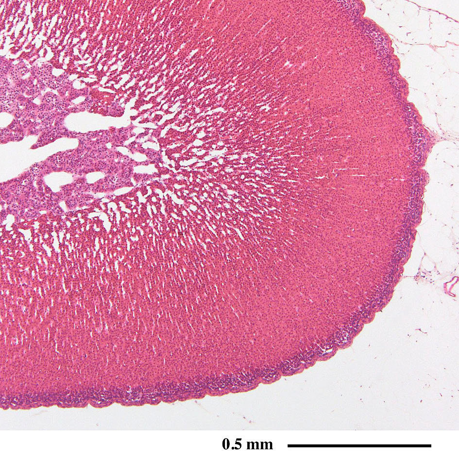
副 腎(ラット) Adrenal glands ( rat )
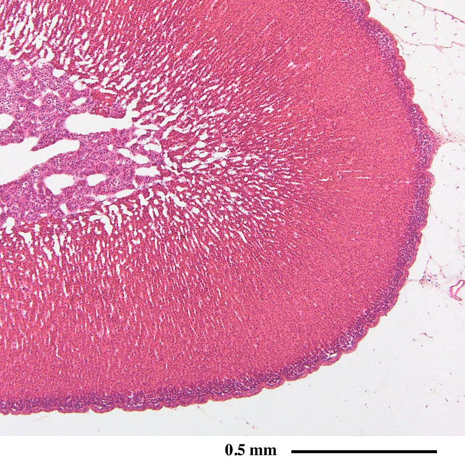
パラフィン切片のヘマトキシリン・エオジン染色光学顕微鏡画像
Light microscopic image of paraffin section with hematoxylin & eosin staining
副腎は腎臓の上部に位置する一対の内分泌器官です。内部は皮質と髄質に大別され、主に皮質からステロイドホルモン、髄質からはアドレナリンやノルアドレナリンが分泌されます。


副腎皮質(青)/副腎髄質(赤)
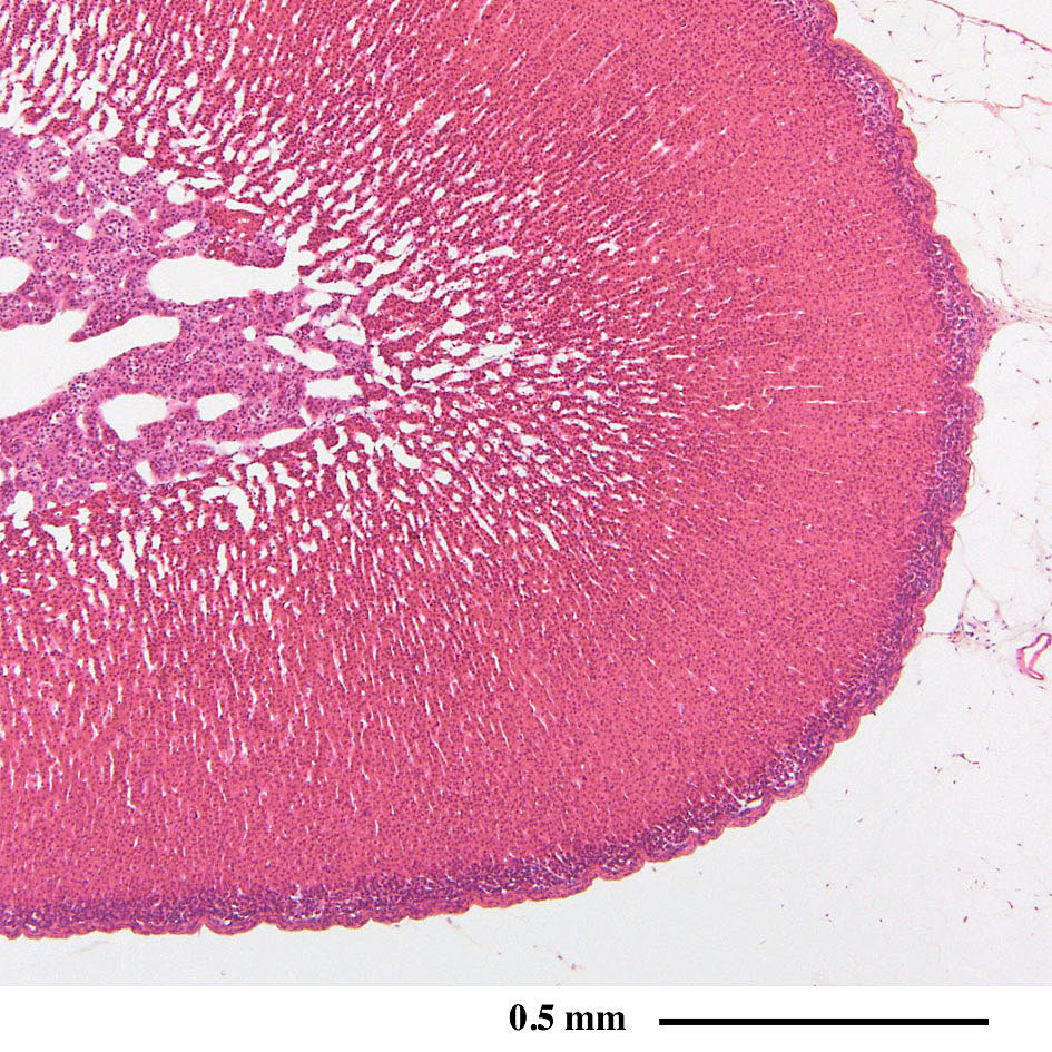
エポン樹脂準超薄切片のトルイジンブルー染色光学顕微鏡画像
Light microscopic image of semithin epoxy resin section with toluidin-blue staining

副腎皮質網状帯(左:青)/副腎髄質(右:赤)
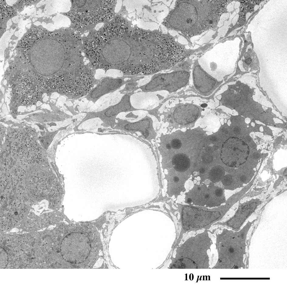
【 厚切りパラフィン切片の低真空走査型電子顕微鏡画像 】
Low-voltage scanning electron microscopic image of thick paraffin section

副腎髄質の豊富な毛細血管(赤)に注目
※ ホルモンを血中に分泌する内分泌器官の特徴


副腎髄質の豊富な毛細血管(赤)に注目
※ ホルモンを血中に分泌する内分泌器官の特徴
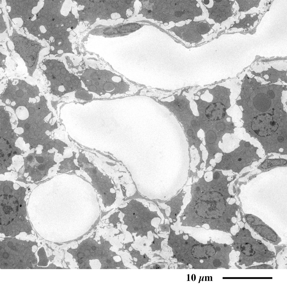
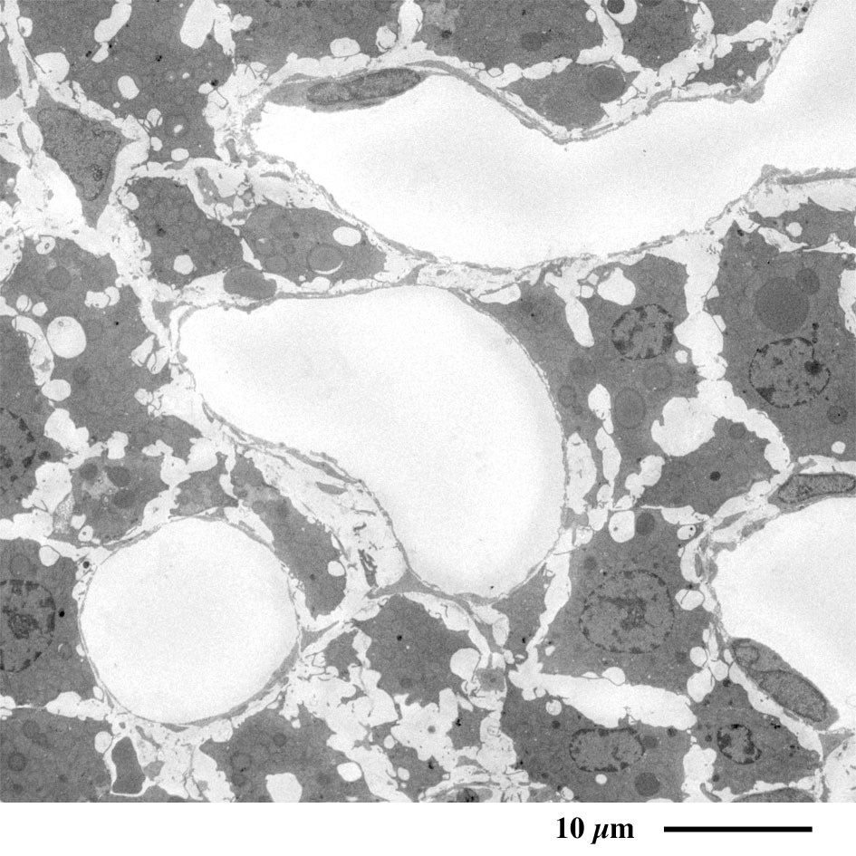
【 超薄切片の透過型電子顕微鏡画像 】
Transmission electron microscopic image of ultrathin section

副腎皮質束状帯の透過電子顕微鏡像:豊富な毛細血管に注目

副腎皮質束状帯の透過電子顕微鏡像:豊富な毛細血管(赤)に注目

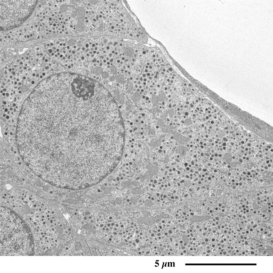
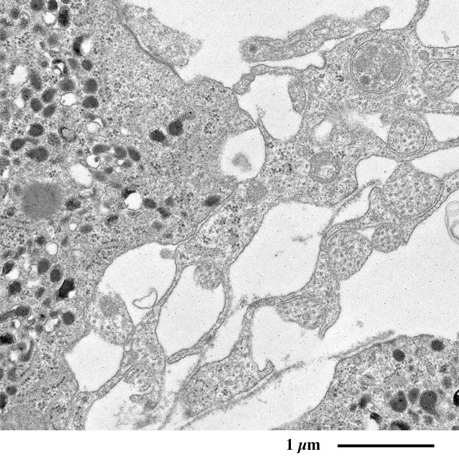
毛細血管に面した副腎髄質A細胞

毛細血管(赤)に面した副腎髄質A細胞(青)

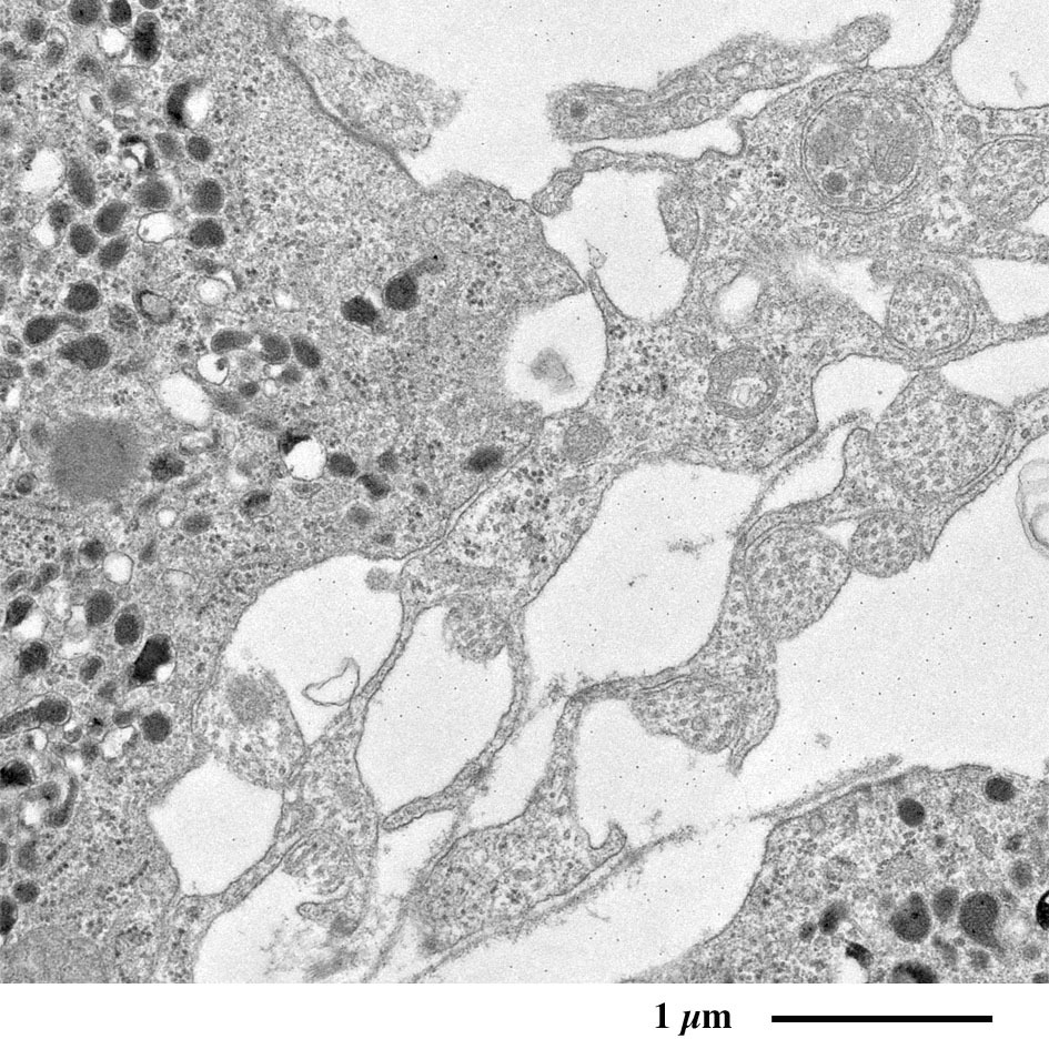
毛細血管に面した副腎髄質A細胞

毛細血管(赤)に面した副腎髄質A細胞(青)

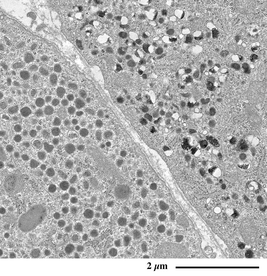
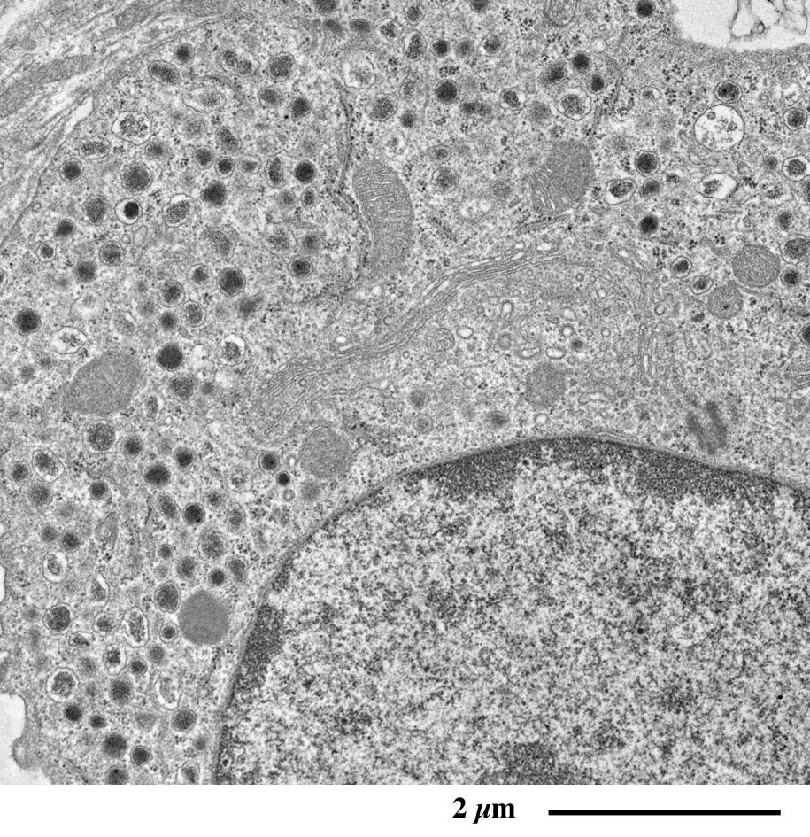
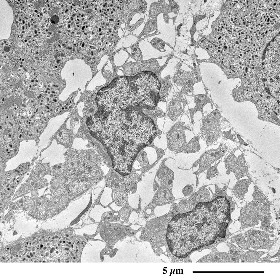
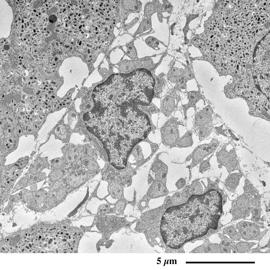
副腎皮質網状帯(右)と副腎髄質(左)の境界部

副腎皮質網状帯(右)と副腎髄質(左)の境界部
副腎皮質網状帯細胞(青)/毛細血管(赤)
副腎髄質A細胞(緑)/NA細胞(黄)

副腎皮質網状帯細胞

副腎皮質細胞のミトコンドリア特有の小胞状クリスタ

副腎皮質細胞のミトコンドリア(青)特有の小胞状クリスタ

副腎髄質のA細胞(左下)とNA細胞(右上)の顆粒を比較

副腎髄質NA細胞

副腎髄質A細胞

副腎髄質A細胞の発達した粗面小胞体

副腎髄質A細胞の発達した粗面小胞体(青)

副腎髄質A細胞の発達したゴルジ装置
副腎髄質A細胞の発達したゴルジ装置(赤)

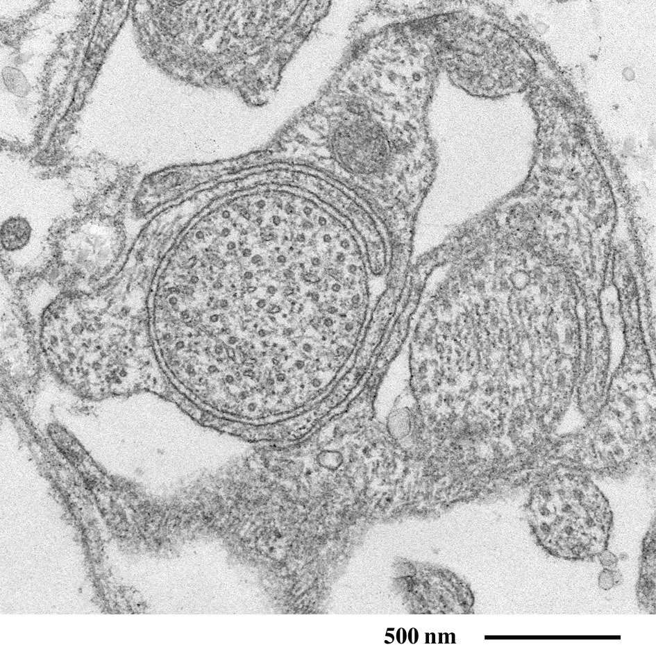
副腎髄質では発達した無髄神経が内分泌細胞と連絡

副腎髄質では発達した無髄神経(赤)が内分泌細胞(青)と連絡
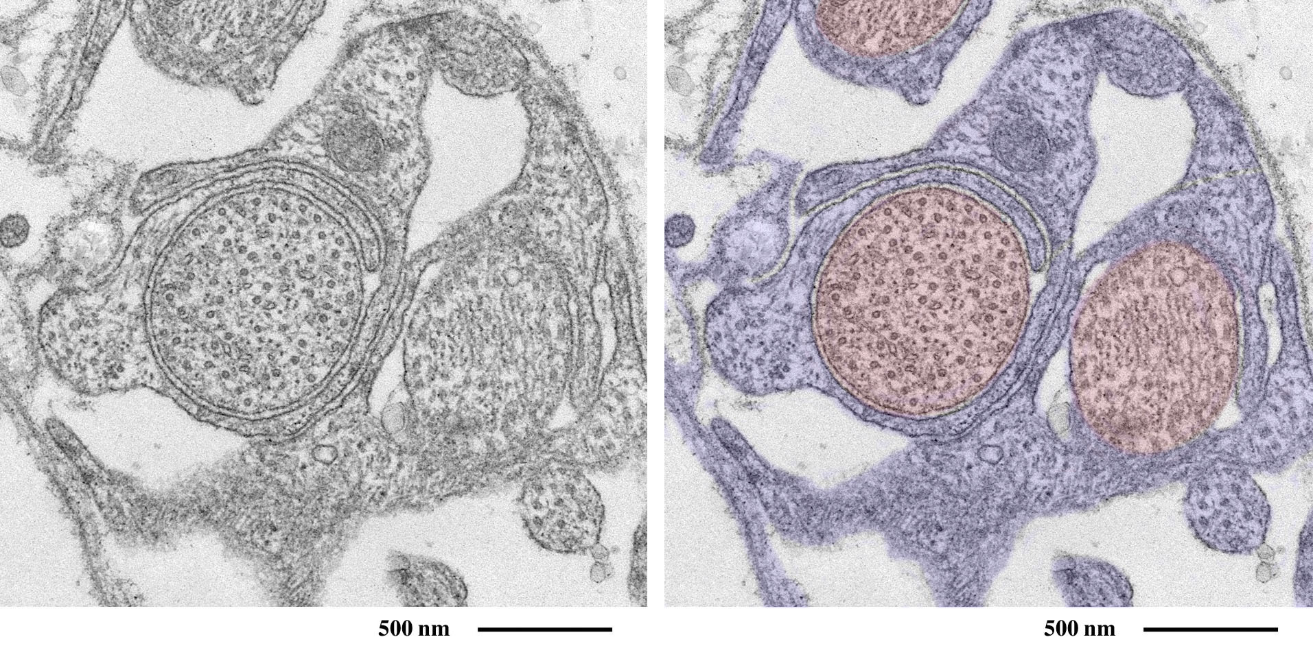
無髄神経軸索の周囲を取り巻くシュワン細胞の一部

無髄神経軸索(赤)の周囲を取り巻くシュワン細胞の一部(青)

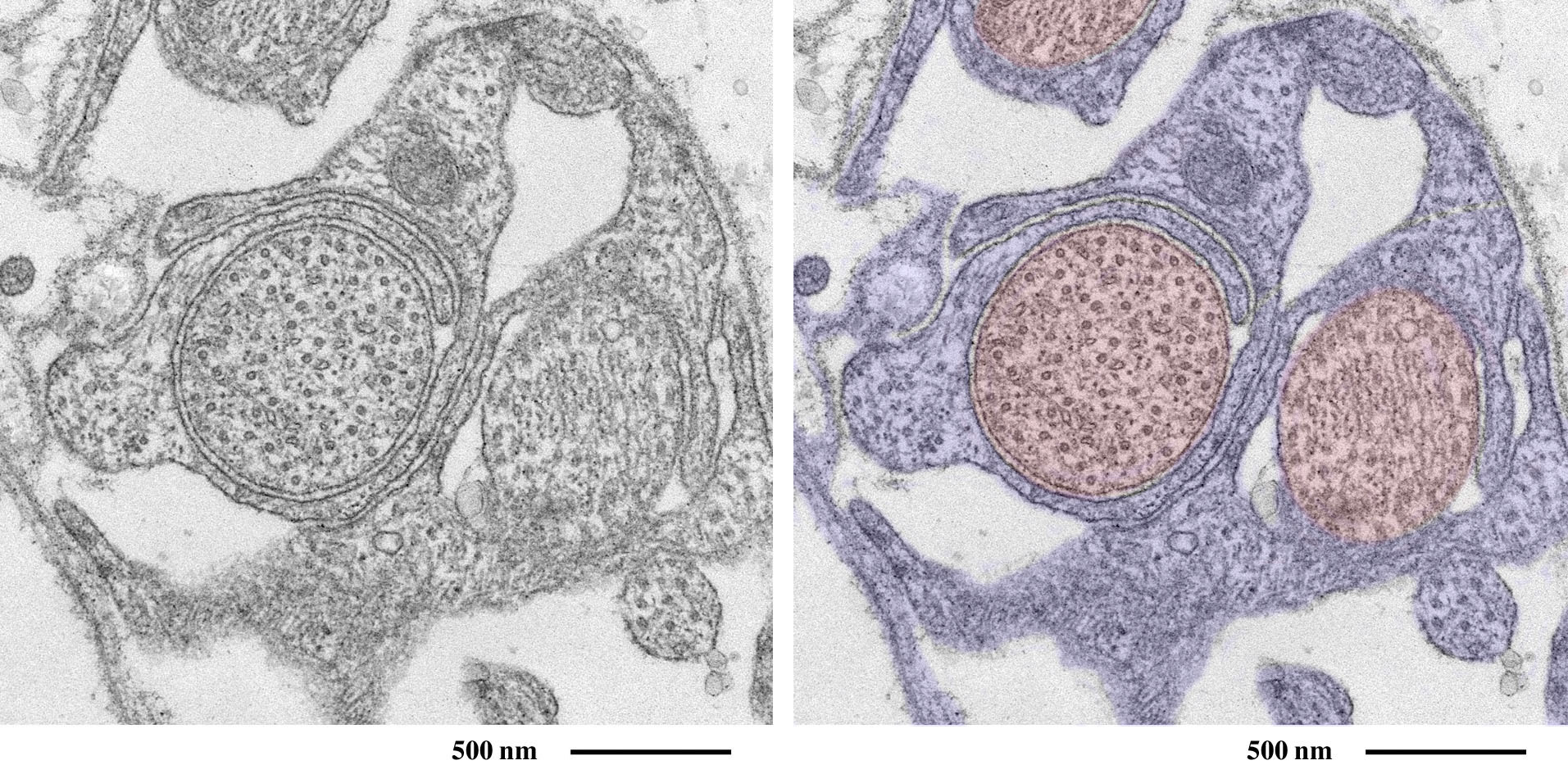
無髄神経軸索(赤)の周囲を取り巻くシュワン細胞の一部(青)

無髄神経軸索(赤)の周囲を取り巻くシュワン細胞の一部(青)

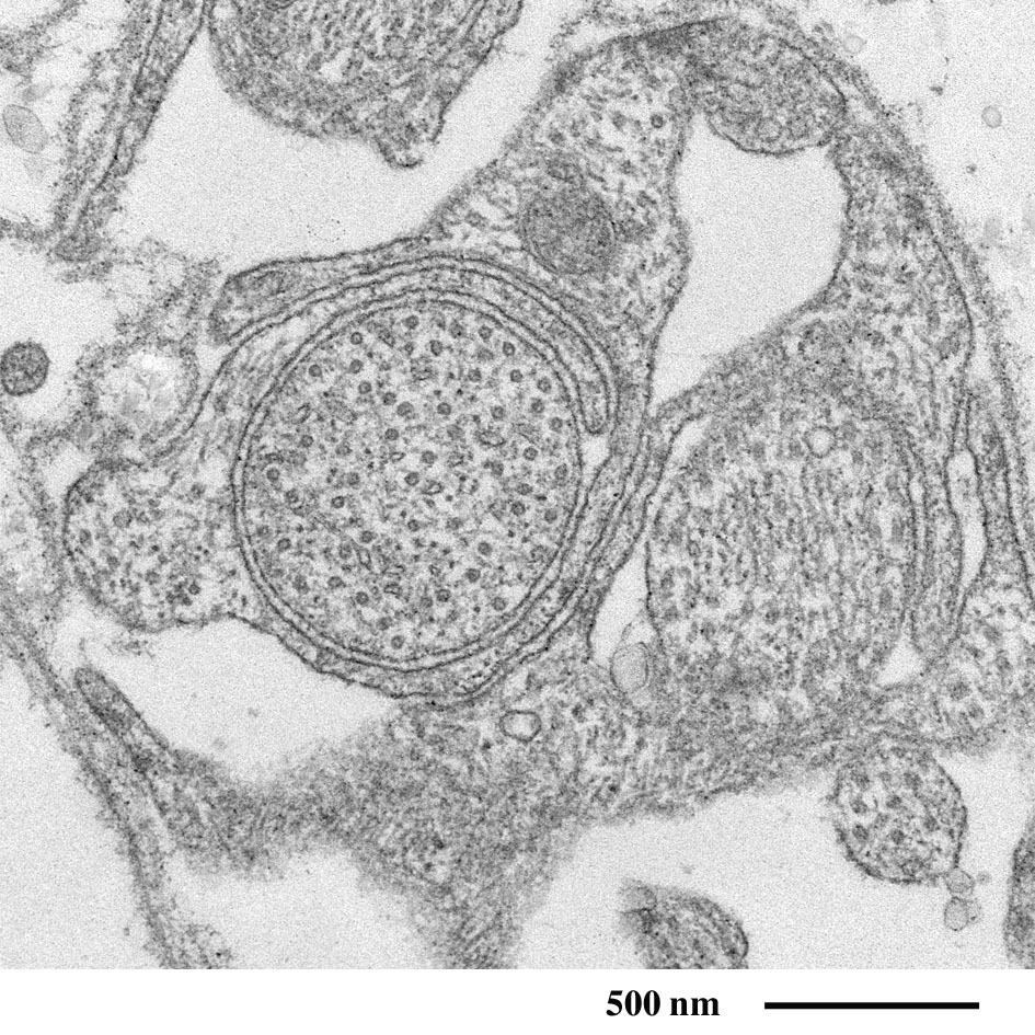
副腎髄質では発達した無髄神経が内分泌細胞と連絡

副腎髄質では発達した無髄神経(赤)が内分泌細胞(青)と連絡

副腎髄質のA細胞にシナプス小胞を蓄えた神経線維が接合
副腎髄質のA細胞(青)にシナプス小胞(赤)を蓄えた神経線維(黄)が接合