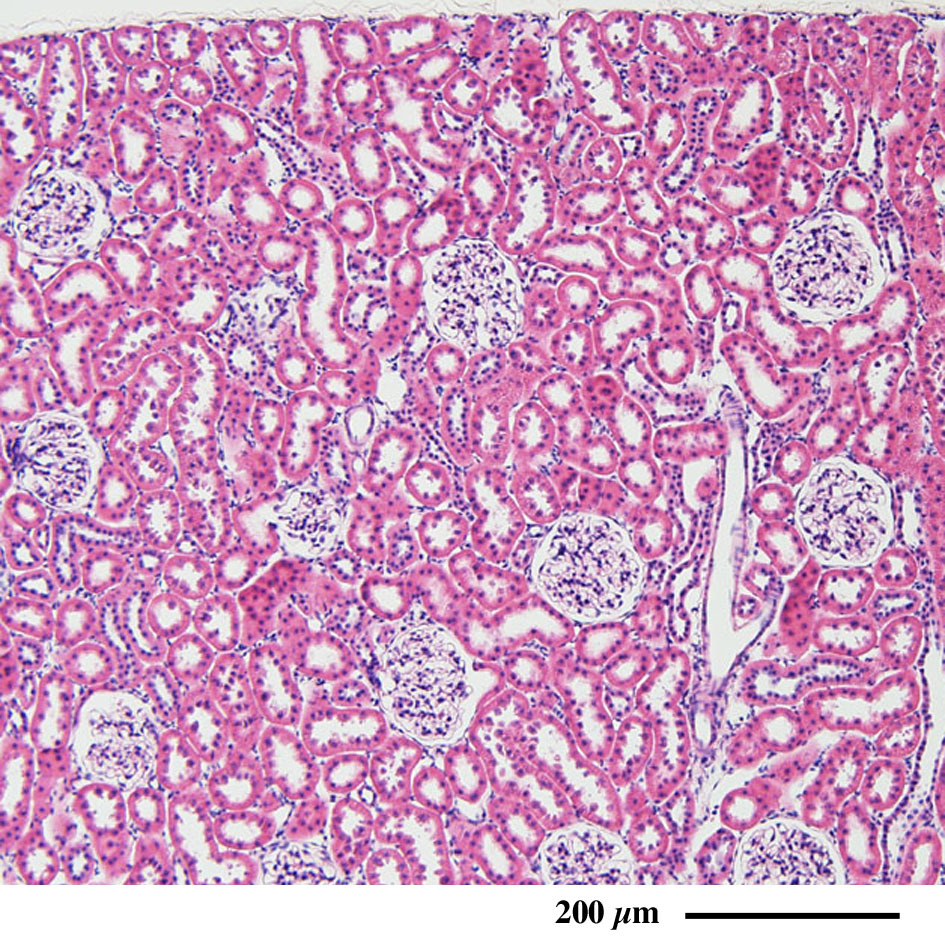
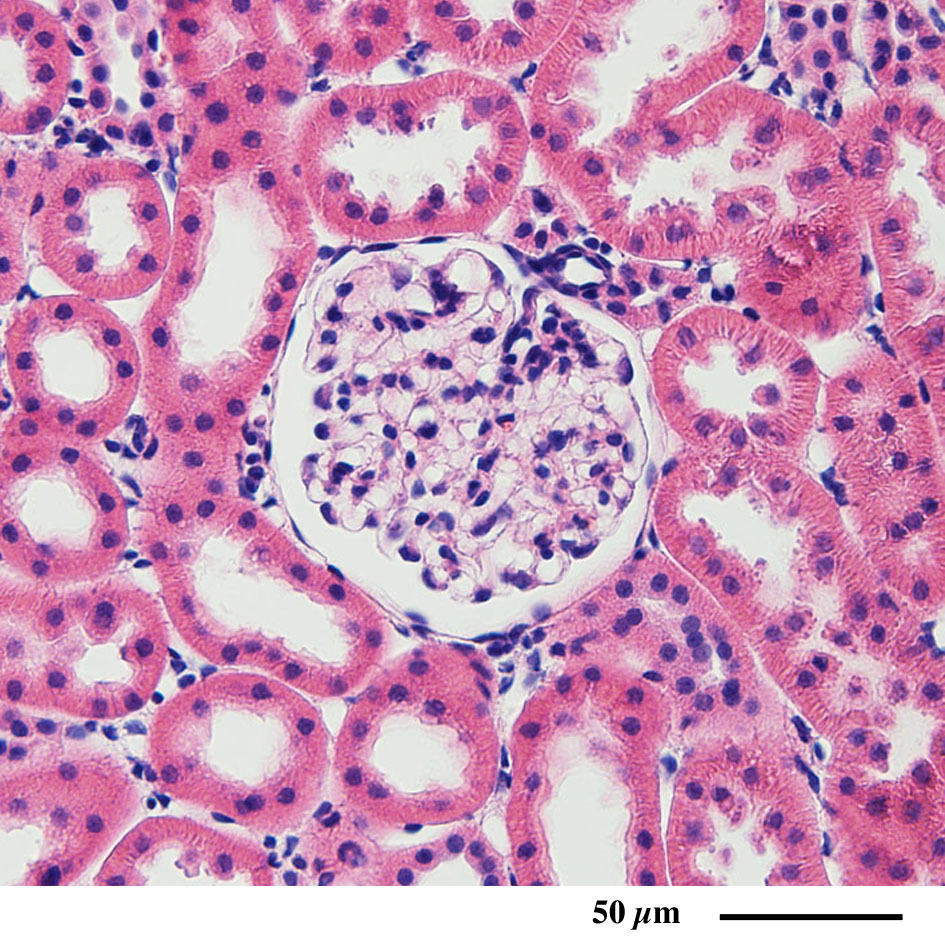
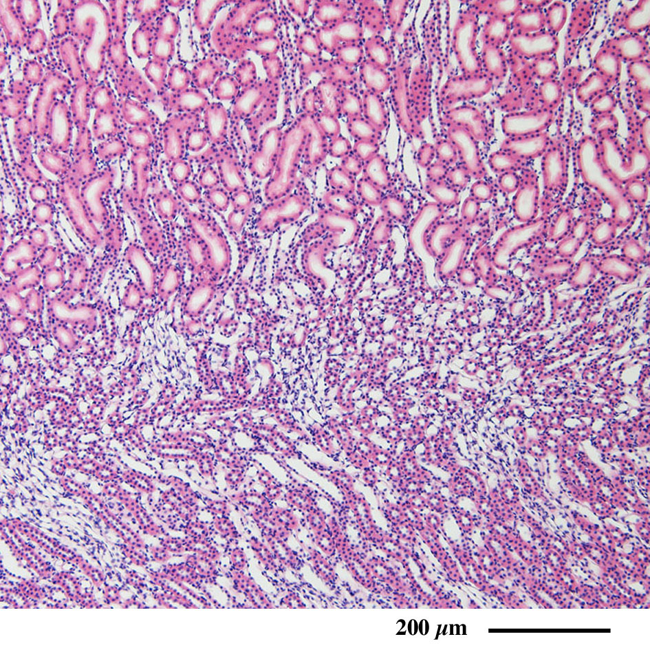
腎 臓(ラット) Kidney ( rat )
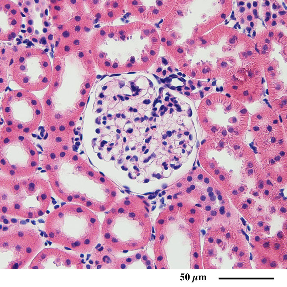
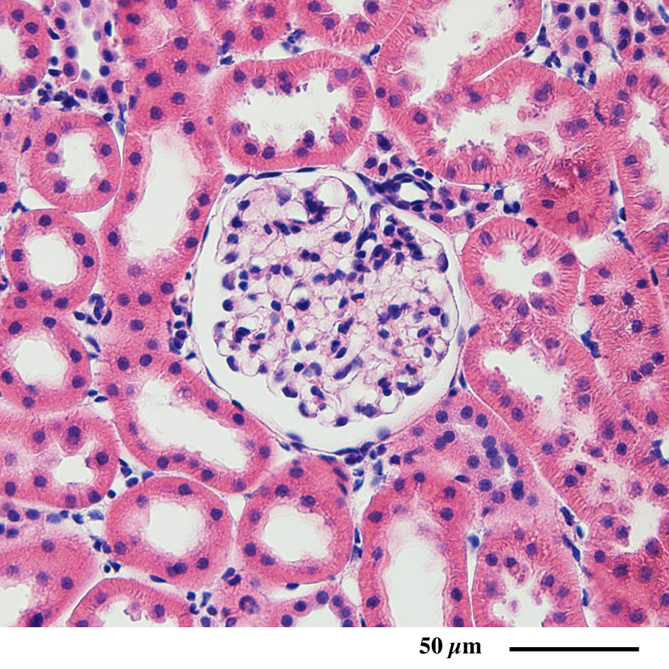
パラフィン切片のヘマトキシリン・エオジン染色光学顕微鏡画像
Light microscopic image of paraffin section with hematoxylin & eosin staining
腎臓の皮質に散在する腎小体でつくられた原尿は、
尿細管から尿管を経て、膀胱へ送られます。

腎皮質の概観

腎小体の断面
糸球体と呼ばれる球状の毛細血管(写真中央)を、袋状の上皮が取り囲んでいます。
腎髄質の概観
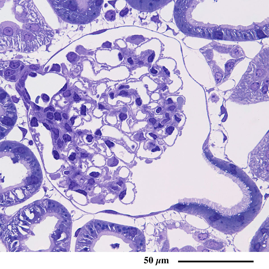
エポン樹脂準超薄切片のトルイジンブルー染色光学顕微鏡画像
Light microscopic image of semithin epoxy resin section with toluidin-blue staining
腎小体の断面
糸球体と呼ばれる球状の毛細血管(写真中央)を、袋状のボウマン囊が取り囲んでいます。
【 厚切りパラフィン切片の低真空走査型電子顕微鏡画像 】
Low-voltage scanning electron microscopic image of thick paraffin section

腎小体を構成する糸球体

糸球体の拡大像
足細胞の突起が毛細血管の外周を取り囲む様子が観察されます。

足細胞の拡大像
毛細血管の外周を取り囲む足細胞の足突起が観察されます。

主に尿細管で構成される髄質
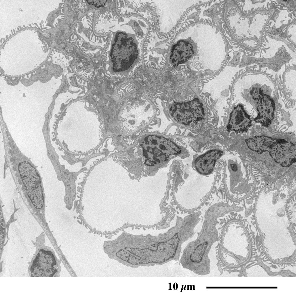
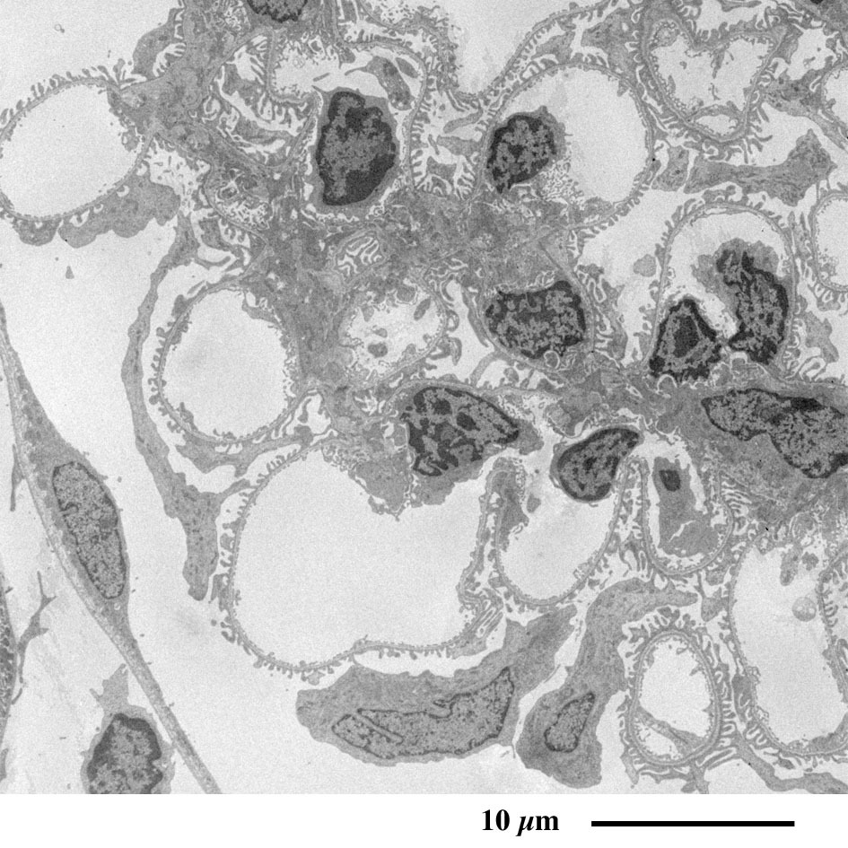
【 超薄切片の透過型電子顕微鏡画像 】
Transmission electron microscopic image of ultrathin section

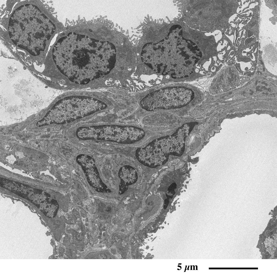
糸球体の電子顕微鏡像
足細胞を含むボウマン腔を縫うように毛細血管が走行し、
外周をボウマン囊が取り囲みます。

足細胞を含むボウマン腔(緑)を縫うように毛細血管(赤)が走行し、
外周をボウマン囊(青)が取り囲みます。

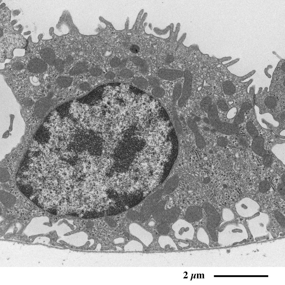
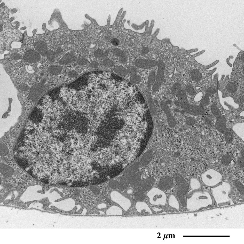
糸球体の拡大像
足細胞の突起が毛細血管の外周を取り囲む様子が観察されます。

糸球体の拡大像
足細胞の突起が毛細血管(赤)の外周を取り囲む様子が観察されます。
緑:ボウマン腔
足細胞の発達したゴルジ装置(赤)

足細胞の発達した粗面小胞体

糸球体の拡大像
足細胞の突起が毛細血管の外周を取り囲む様子が観察されます。

糸球体の拡大像
足細胞(黄)の突起が毛細血管(赤)の外周を取り囲む様子が観察されます。
緑:ボウマン腔、青:血管内皮

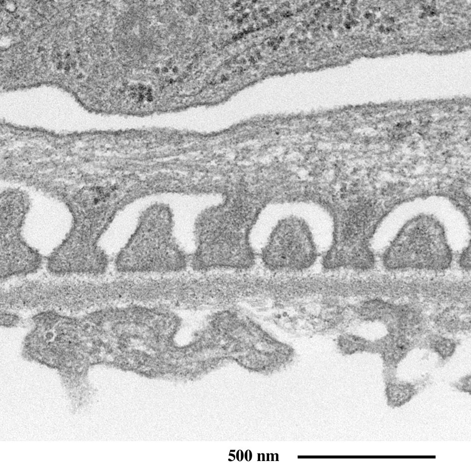
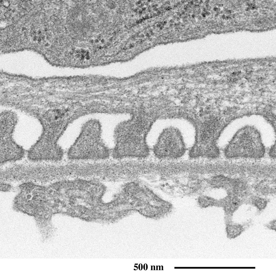
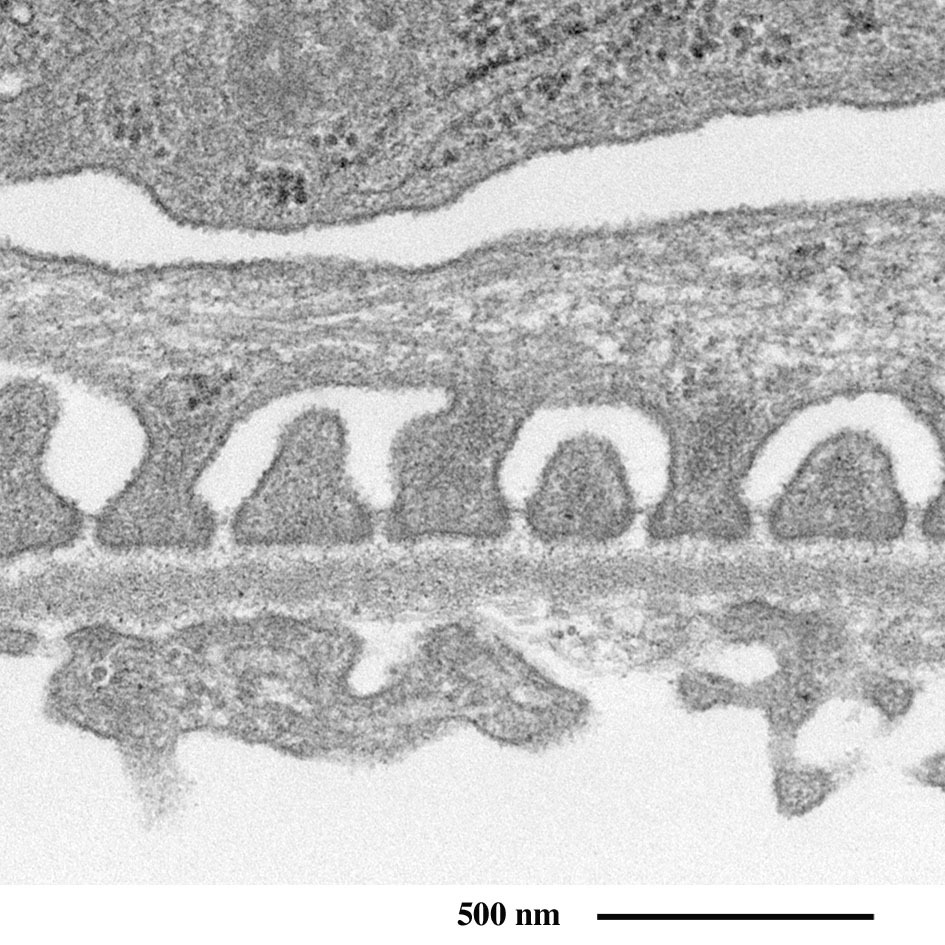
互いに隙間を埋める足突起

互いに隙間を埋める足突起
(拡大像)

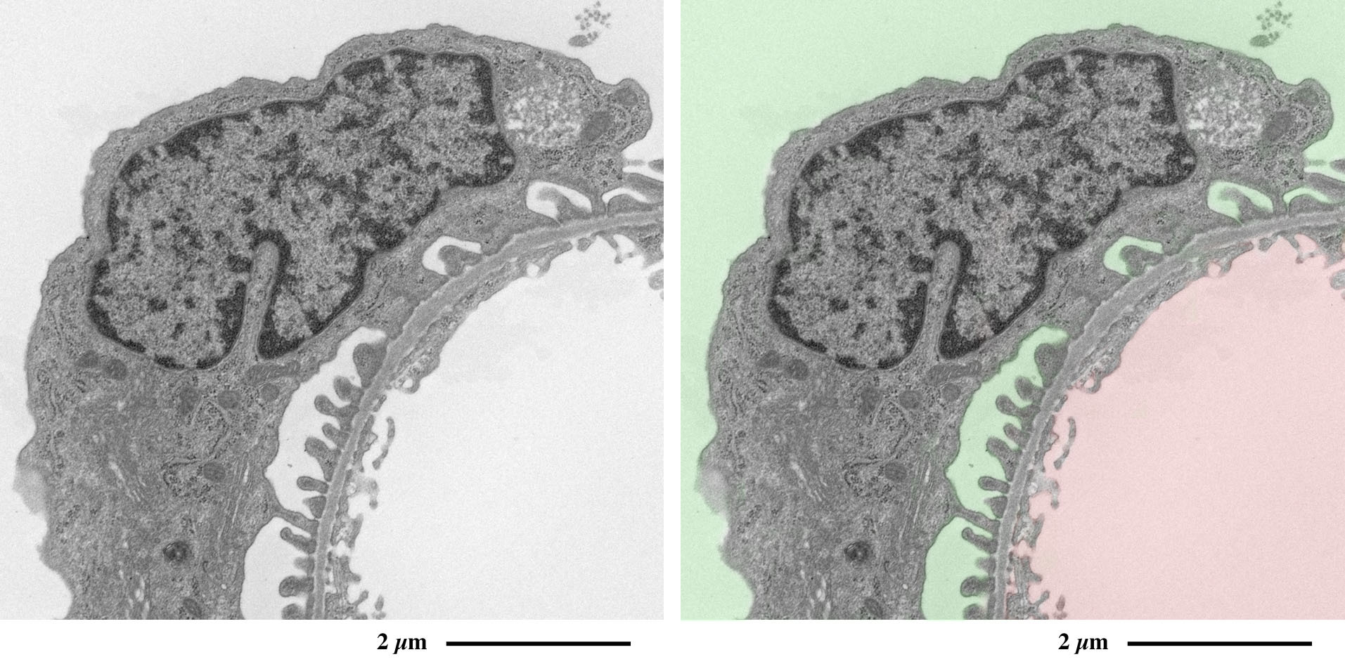
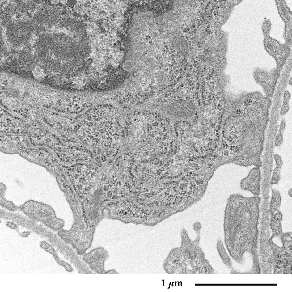
糸球体の有窓毛細血管
(全周を足細胞の突起に囲まれた血管壁の横断面)
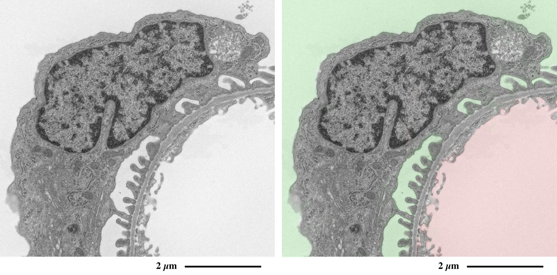
糸球体の有窓毛細血管
(血管壁の横断面)

糸球体の有窓毛細血管
(血管壁の横断面)
赤:血管内腔、青:血管内皮細胞、緑:足細胞

糸球体毛細血管と血小板
血小板や赤血球はサイズが大きく、濾過されずに血管内に留まります。

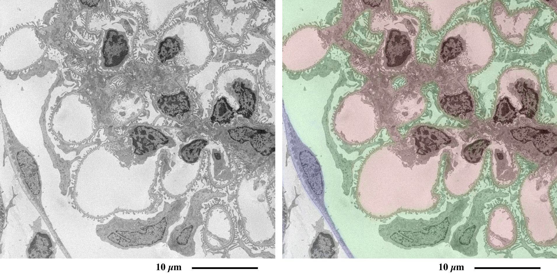
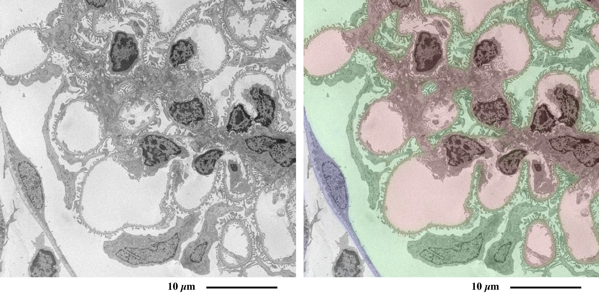
糸球体毛細血管と血小板
赤:毛細血管と血管内皮細胞、黄:血小板、緑:ボウマン腔と足細胞

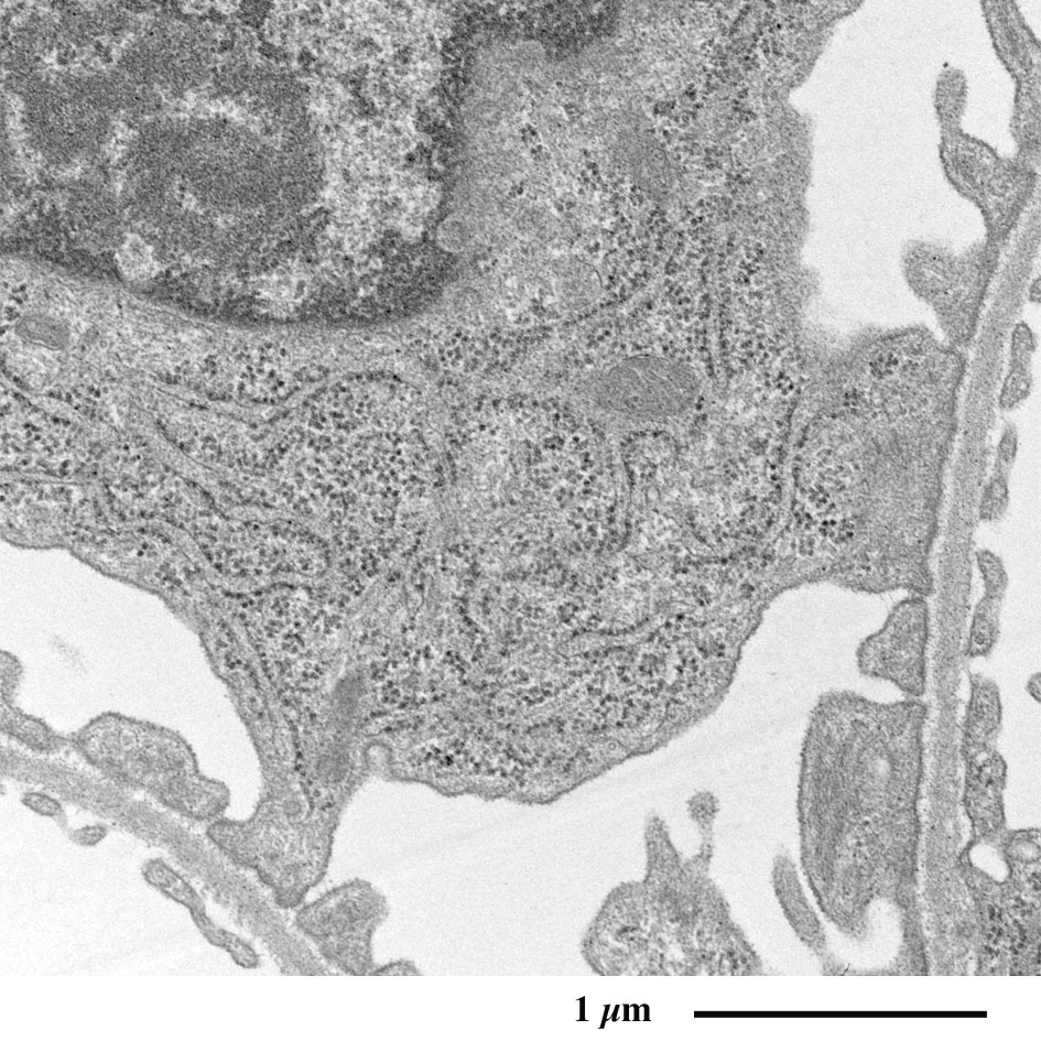
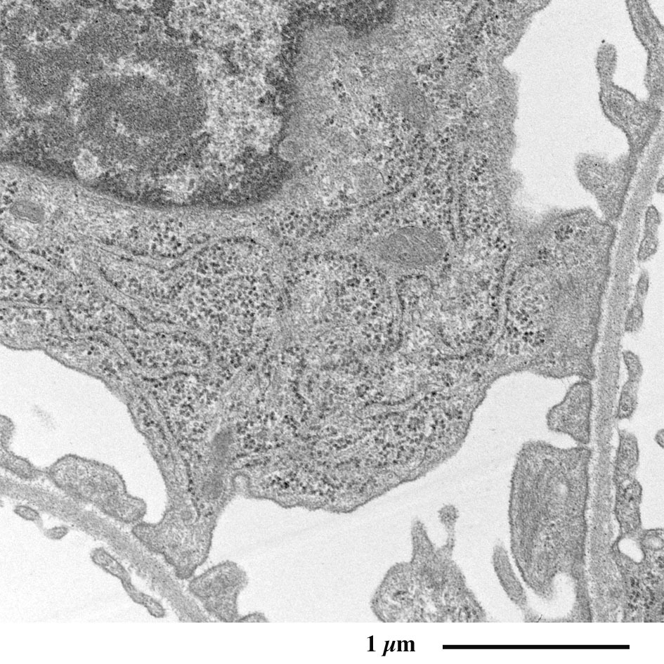
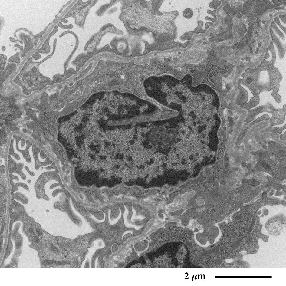
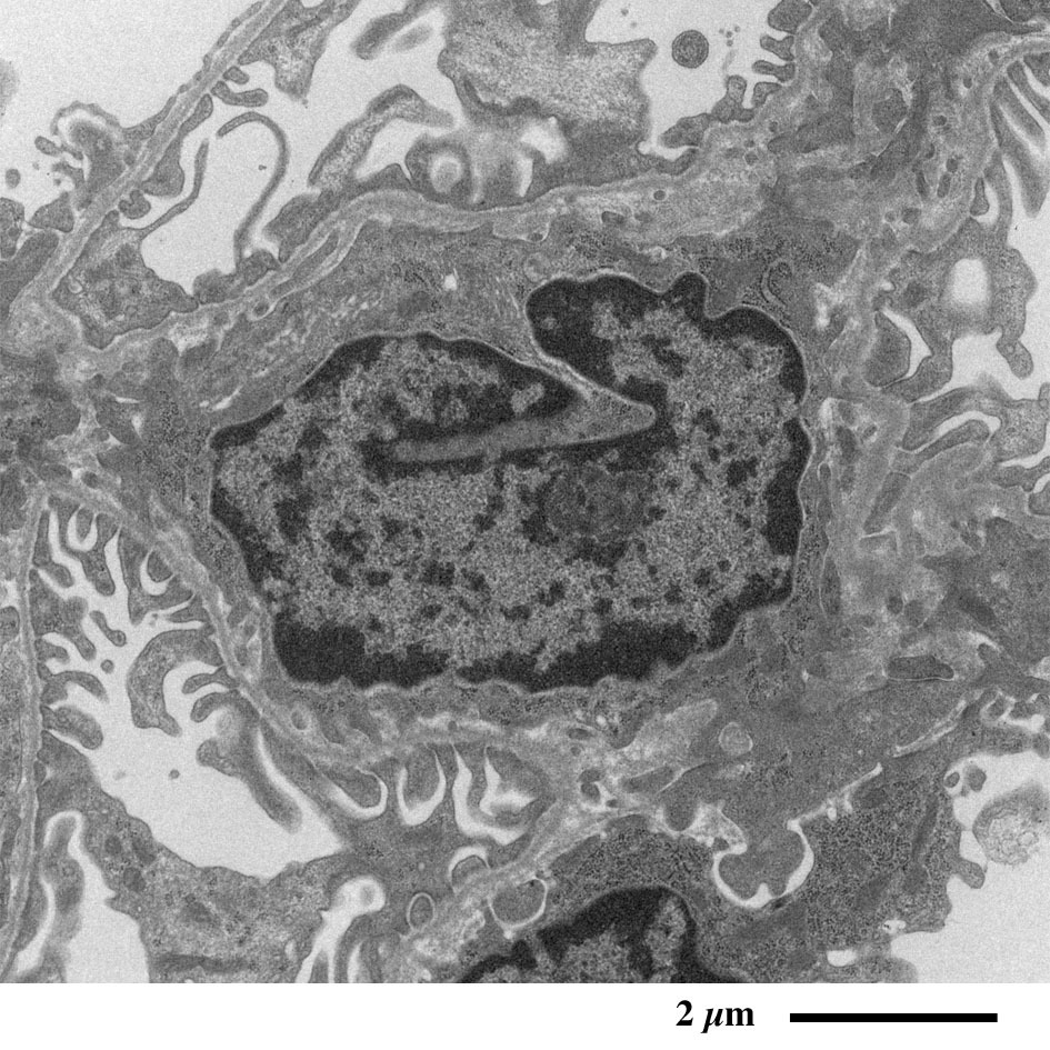
糸球体メサンギウム細胞

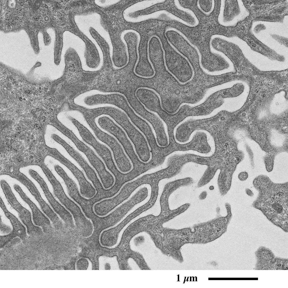
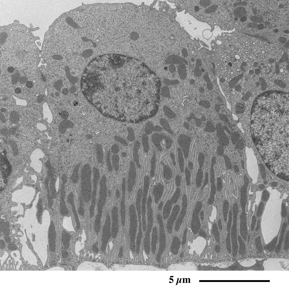
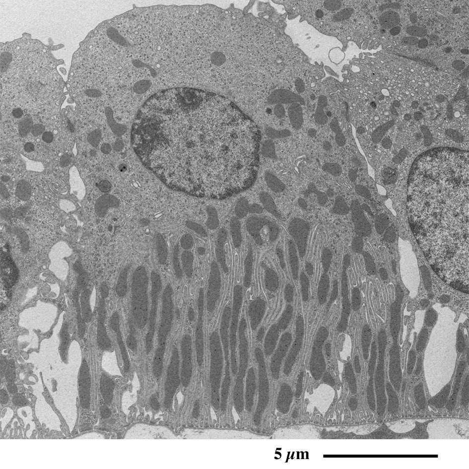
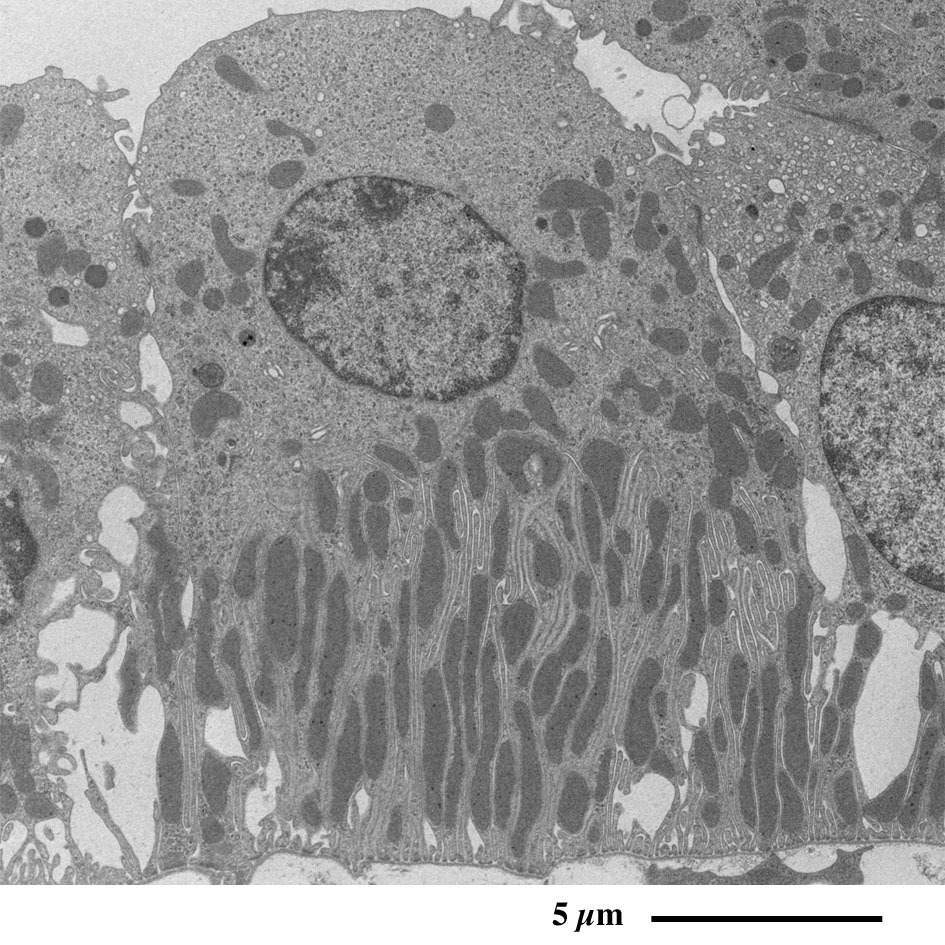
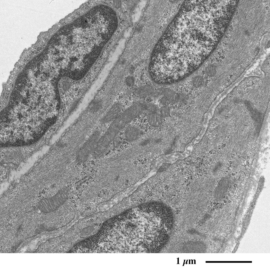
近位尿細管
原尿に含まれるグルコースや電解質、水など身体に必要な物質を再吸収するため、
上皮細胞の頂上部に微絨毛が並んで表面積を増大しています。

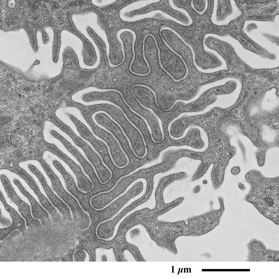
近位尿細管
原尿に含まれるグルコースや電解質、水など身体に必要な物質を再吸収するため、
上皮細胞の頂上部に微絨毛が並んで表面積を増大しています。
黄:尿細管腔、青:尿細管上皮細胞、赤:毛細血管

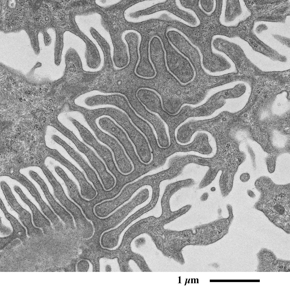
近位尿細管上皮細胞
原尿に含まれるグルコースや電解質、水など身体に必要な物質を再吸収するため、
上皮細胞の頂上部に微絨毛が並んで表面積を増大しています。

近位尿細管上皮細胞
原尿に含まれるグルコースや電解質、水など身体に必要な物質を再吸収するため、
上皮細胞の頂上部に微絨毛が並んで表面積を増大しています。
黄:尿細管腔、青:尿細管上皮細胞、赤:毛細血管

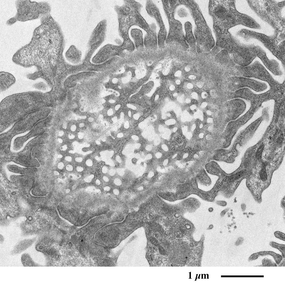
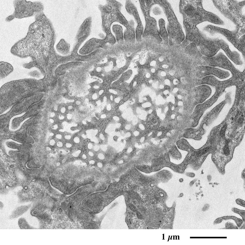
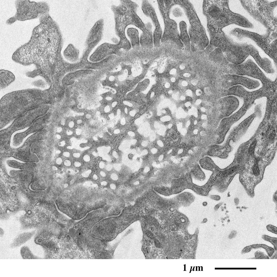
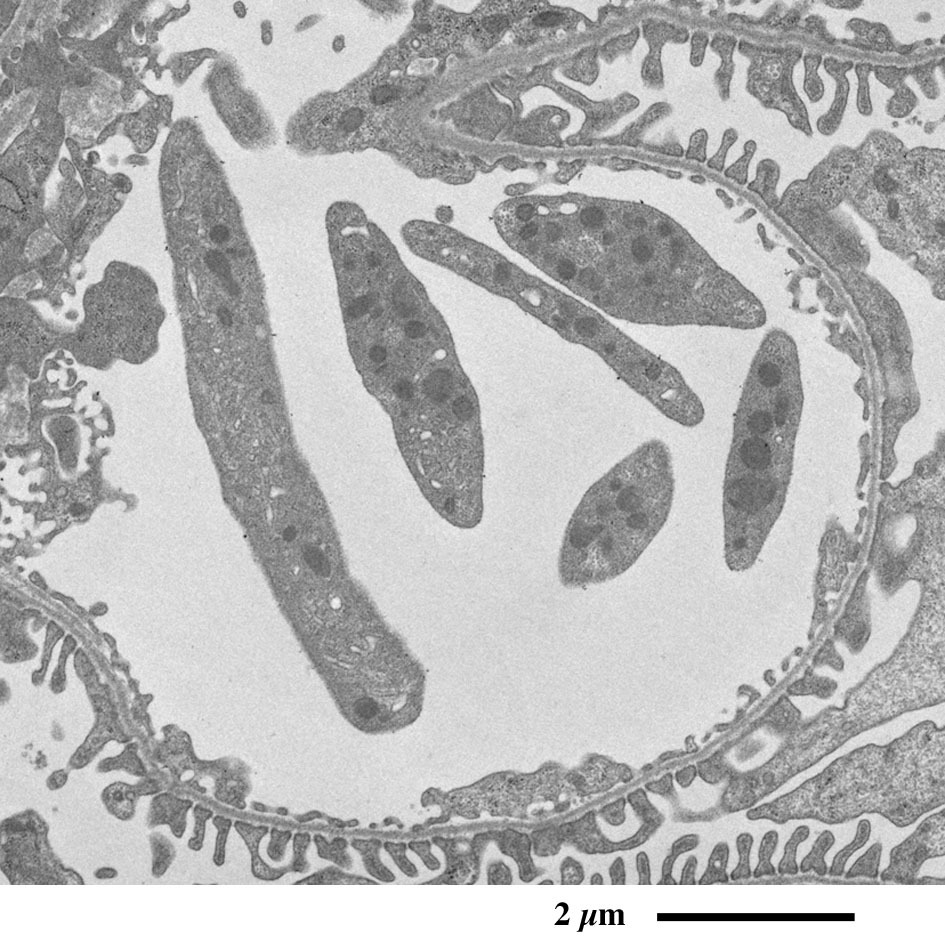
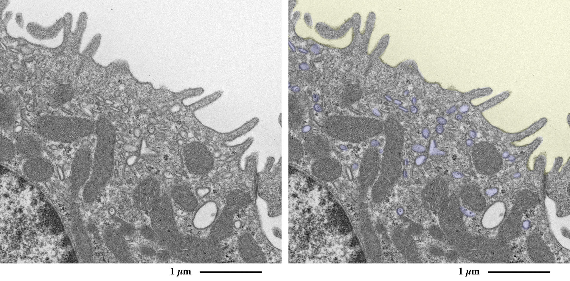
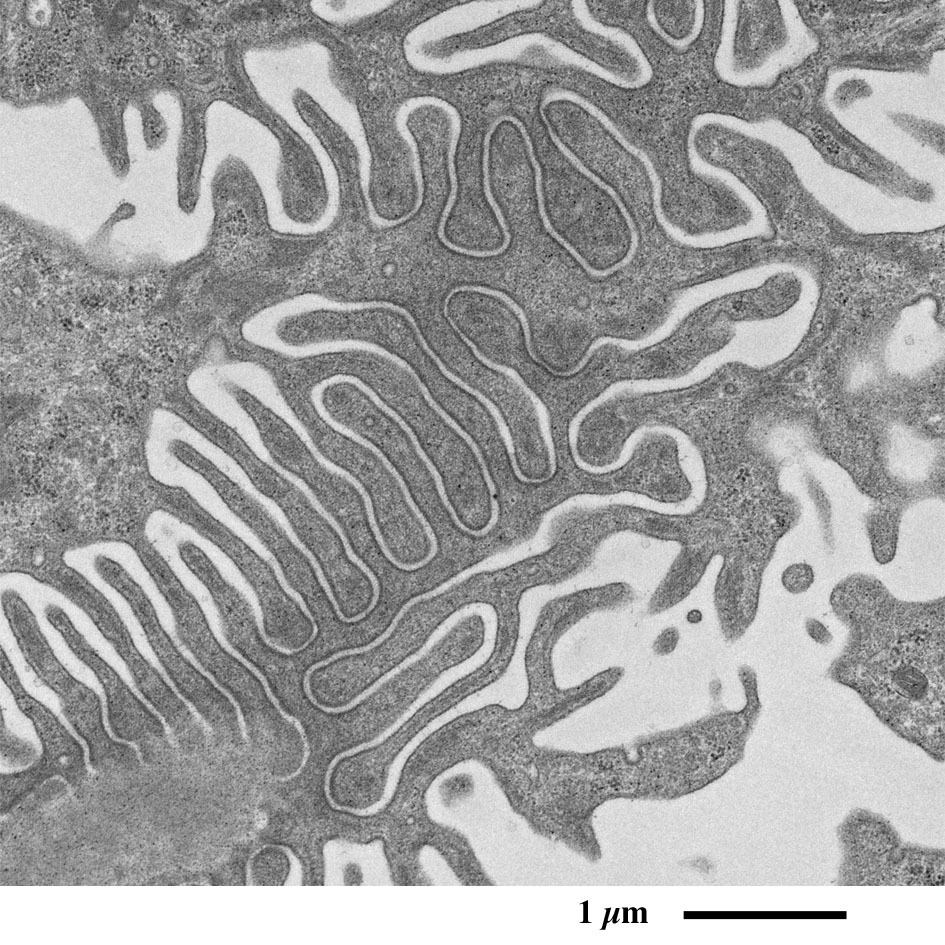
近位尿細管上皮細胞
(微絨毛横断面)

近位尿細管上皮細胞
(微絨毛横断面)

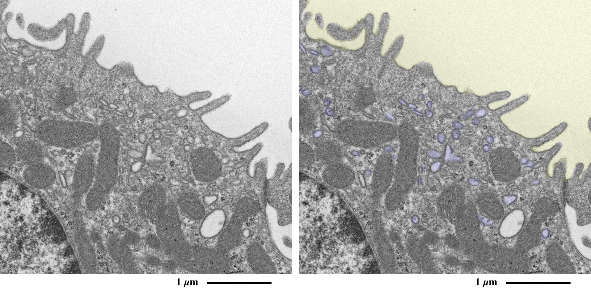
近位尿細管上皮細胞
(微絨毛縦断面)

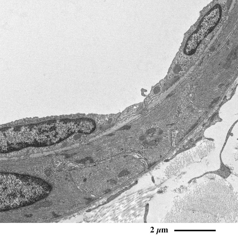
遠位尿細管上皮細胞

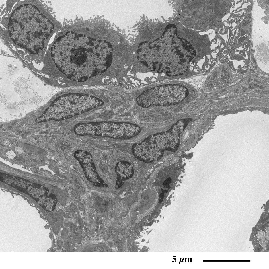
傍糸球体装置
糸球体血管極に位置し、糸球体濾過量を調節しています。

傍糸球体装置
糸球体血管極に位置し、糸球体濾過量を調節しています。
赤:毛細血管腔、黄:遠位尿細管腔、青:緻密斑細胞、緑:糸球体外メサンギウム細胞

集合管の間在細胞
水素イオンや重炭酸イオンを分泌して酸塩基平衡の維持に関与します。

集合管の間在細胞
水素イオンや重炭酸イオンを分泌して酸塩基平衡の維持に関与します。
黄:管腔、青:小胞

平滑筋細胞に囲まれた筋性動脈

平滑筋細胞に囲まれた筋性動脈
赤:血管内腔、青:血管内皮細胞、緑:平滑筋細胞
筋性動脈の拡大像

筋性動脈の拡大像
赤:血管内腔、青:血管内皮細胞、緑:平滑筋細胞、黄:血管外結合組織
筋性動脈の拡大像

筋性動脈の拡大像
赤:血管内腔、青:血管内皮細胞、緑:平滑筋細胞、黄:血管外結合組織

筋性動脈の拡大像
赤:血管内腔、青:血管内皮細胞、緑:平滑筋細胞、黄:血管外結合組織

筋性動脈の拡大像
赤:血管内腔、青:血管内皮細胞、緑:平滑筋細胞、黄:血管外結合組織