培養細胞垂直断薄切法
Vertical Sectioning
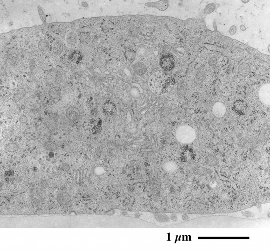
研究目的によって培養細胞の垂直断面を観察する場合、培養細胞が包埋された樹脂の一部を切り出し、薄切面が細胞培養面と垂直になるよう方向を変えて樹脂に再包埋します。


細胞が密に培養されている場合は直接、超薄切片を切り出すことができますが、細胞間に隙間が多い場合は準超薄切片を作製し、トルイジンブルー染色を加えて光学顕微鏡下で切片に細胞が含まれていることを確認します。

高圧凍結技法によるHeLa細胞観察像(垂直断:画像下部が培養面)
準超薄切片再包埋法へ
最適な準超薄切片を再包埋した後、超薄切片を作製して観察する一手間を加えることで、細胞を確実に捉えることが出来ます。

高圧凍結技法によるHeLa細胞観察像(垂直断:画像下部が培養面)