トルイジンブルー染色法
Toluidin blue staining
はじめに0.5%のトルイジンブルー染色液を調製し、10 mlの注射シリンジに吸引した後、染色液中のゴミ等を除去するためのシリンジフィルター(sartorius社製Minisart:孔径=0.20 µm)を介して23Gの注射針を装着します。

準超薄切片作製法で紹介した通り、スライドガラス上の水滴に切片を浮かべ、
ホットプレートで切片を伸展させながらスライドガラスに密着させます。

水滴が蒸発した後、スライドガラスが熱いうちにトルイジンブルー
染色液を滴下し、2〜3秒経過後、直ちに水洗します。

ブロワーで水滴を飛ばした後、顕微鏡で観察します。

切片が小さく、顕微鏡の視野に捉えやすいようにスライドガラスの
「裏側」から周囲をペンで囲んでおきます(右写真)

対物レンズはノンカバー用 x60 をお奨めします
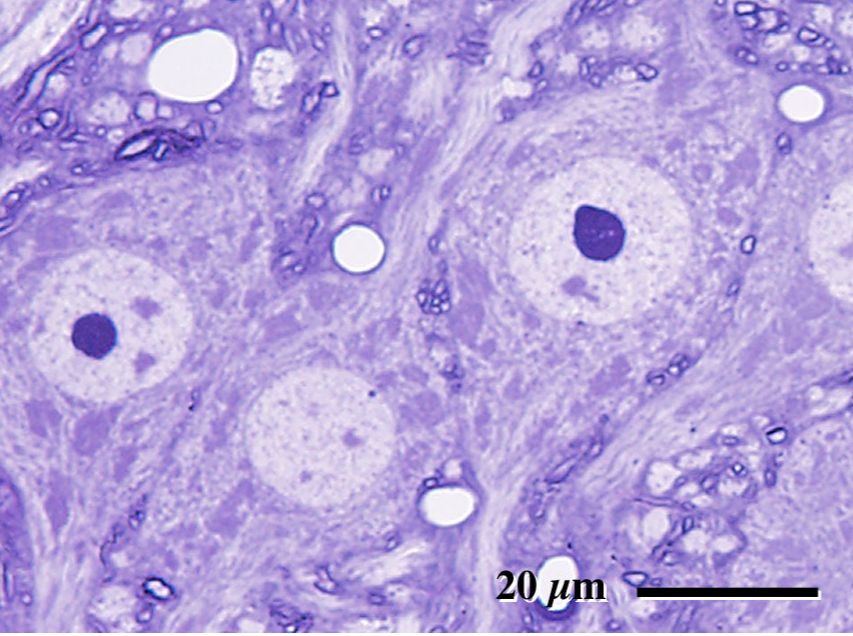
樹脂包埋切片はパラフィン切片に比べて解像度が良く、比較的細かい構造まで観察できます。

ラット網膜

ラット脊髄前角
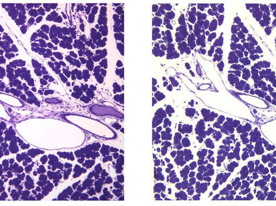
染色が濃すぎた場合(左下写真)は、切片に100%エタノールを滴下して
数秒後に水洗(右下写真)すると調整できます。
染色が薄い場合には再度、ホットプレートで加熱した後、
追加染色を行うことが出来ます。