坐骨神経(ラット) Sciatic nerve ( rat )
厚さ1 µm エポン樹脂準超薄切片のトルイジンブルー染色光学顕微鏡画像
Light microscopic image of 1 µm-semithin epoxy resin section with toluidin-blue staining
主に下肢を支配する坐骨神経は、有髄神経と無髄神経によって構成されます。

(エポン樹脂包埋準超薄切片のトルイジンブルー染色光顕像)
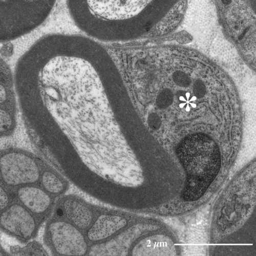
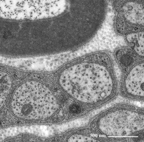
【 薄さ70 - 80 nm 超薄切片の透過型電子顕微鏡画像 】
Transmission electron microscopic image of 70 - 80 nm ultrathin section

有髄神経(右上)と無髄神経(左下)の電子顕微鏡像

有髄神経の髄鞘を取り巻くシュワン細胞(*)

有髄神経(上)と無髄神経(下)の拡大像

有髄神経髄鞘の拡大像

無髄神経の拡大像