膀 胱(ラット) Urinary bladder ( rat )
厚さ1 µm エポン樹脂準超薄切片のトルイジンブルー染色光学顕微鏡画像
Light microscopic image of 1 µm-semithin epoxy resin section with toluidin-blue staining
膀胱の粘膜は尿を貯留に対応して伸縮しやすい移行上皮によって構成される。

(エポン樹脂包埋準超薄切片のトルイジンブルー染色光顕像)
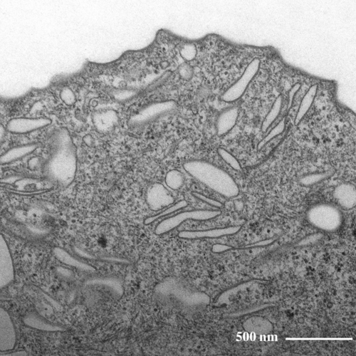
【 薄さ70 - 80 nm 超薄切片の透過型電子顕微鏡画像 】
Transmission electron microscopic image of 70 - 80 nm ultrathin section

移行上皮の最表層を覆う被蓋細胞の頂上部
特徴的な紡錘形の小胞が多数、観察されます

移行上皮細胞の拡大像
足細胞(PC)の突起が毛細血管(V)の外周を取り囲む様子が観察されます。

移行上皮細胞の拡大像
細胞質中には無数のトノフィラメントが観察されます。