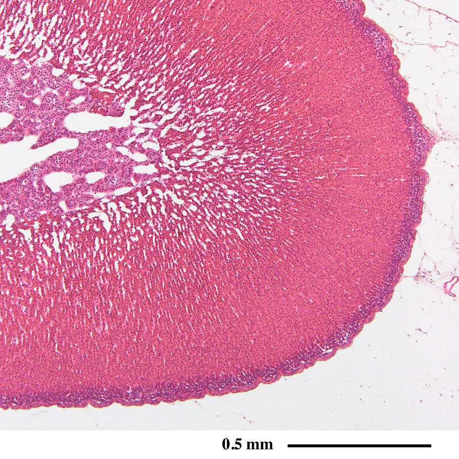
副 腎(ラット) Adrenal glands ( rat )
厚さ5 µm パラフィン切片のヘマトキシリン・エオジン染色光学顕微鏡画像
Light microscopic image of 5 µm-thin paraffin section with hematoxylin & eosin staining
副腎は腎臓の上部に位置する一対の内分泌器官です。内部は皮質と髄質に大別され、
主に皮質からステロイドホルモン、髄質からはアドレナリンやノルアドレナリンが分泌されます。

(パラフィン包埋切片のヘマトキシリン・エオジン染色光顕像)

副腎皮質(青)/副腎髄質(赤)
厚さ1 µm エポン樹脂準超薄切片のトルイジンブルー染色光学顕微鏡画像
Light microscopic image of 1 µm-semithin epoxy resin section with toluidin-blue staining

副腎皮質網状帯(左:青)/副腎髄質(右:赤)
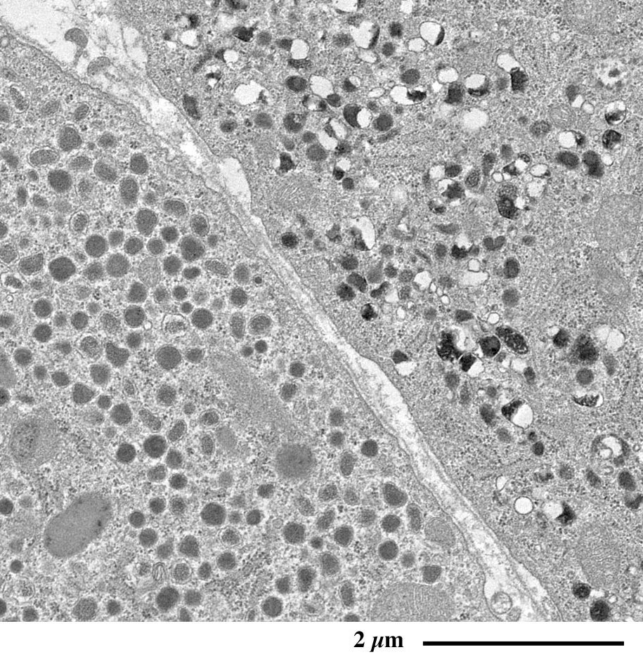
【 薄さ70 - 80 nm 超薄切片の透過型電子顕微鏡画像 】
Transmission electron microscopic image of 70 - 80 nm ultrathin section

副腎皮質束状帯の透過電子顕微鏡像:豊富な毛細血管に注目

副腎皮質束状帯の透過電子顕微鏡像:豊富な毛細血管(赤)に注目

副腎皮質束状帯細胞のミトコンドリア特有の小胞状クリスタ

副腎皮質束状帯細胞のミトコンドリア(青)特有の小胞状クリスタ

副腎髄質のA細胞(左下)とNA細胞(右上)の顆粒を比較

副腎髄質のNA細胞

副腎髄質のA細胞

副腎髄質のA細胞にシナプス小胞を蓄えた神経線維が接合
副腎髄質のA細胞(青)にシナプス小胞(赤)を蓄えた神経線維(黄)が接合