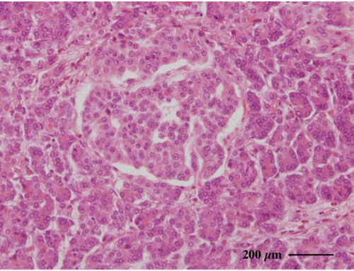
膵ランゲルハンス島(ラット)
Islets of Langerhans ( rat )
厚さ5 µm パラフィン切片のヘマトキシリン・エオジン染色光学顕微鏡画像
Light microscopic image of 5 µm-thin paraffin section with hematoxylin & eosin staining
膵臓には消化酵素の分泌に加え、血糖コントロールに関与するインスリンや
ガストリンなどのホルモン産生機能があり、ランゲルハンス島がその役を担います。

ランゲルハンス島
(パラフィン包埋切片のヘマトキシリン・エオジン染色光顕像)
【 薄さ70 - 80 nm 超薄切片の透過型電子顕微鏡画像 】
Transmission electron microscopic image of 70 - 80 nm ultrathin section


