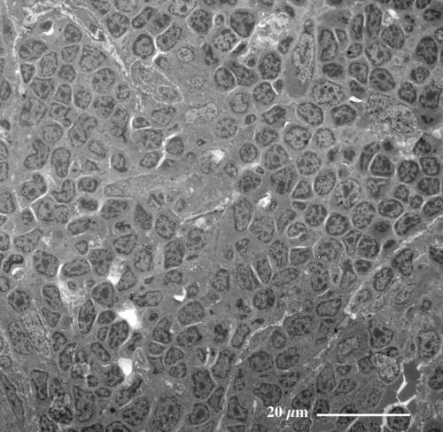
脾 臓(ラット) Spleen ( rat )
厚さ1 µm エポン樹脂準超薄切片のトルイジンブルー染色光学顕微鏡画像
Light microscopic image of 1 µm-semithin epoxy resin section with toluidin-blue staining
脾臓は最大のリンパ器官で、免疫機能や老朽化した赤血球の処理などに働く。

(エポン樹脂包埋準超薄切片のトルイジンブルー染色光顕像)
【 薄さ70 - 80 nm 超薄切片の透過型電子顕微鏡画像 】
Transmission electron microscopic image of 70 - 80 nm ultrathin section


