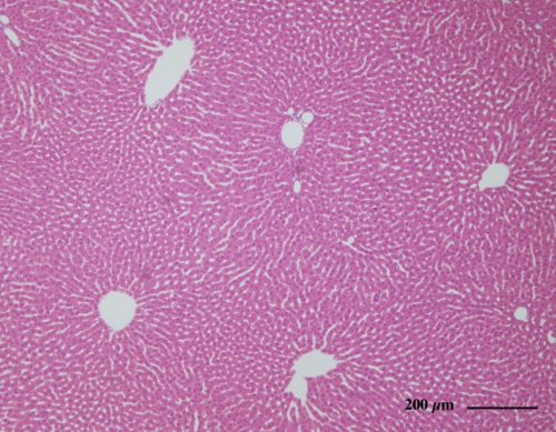
肝 臓(ラット) Liver ( rat )
厚さ5 µm パラフィン切片のヘマトキシリン・エオジン染色光学顕微鏡画像
Light microscopic image of 5 µm-thin paraffin section with hematoxylin & eosin staining
肝臓は消化管から吸収された栄養分の代謝や貯蔵、胆汁や血漿蛋白の産生、
血中有害物質の解毒など、様々な生理機能を果たします。

(パラフィン包埋切片のヘマトキシリン・エオジン染色光顕像)
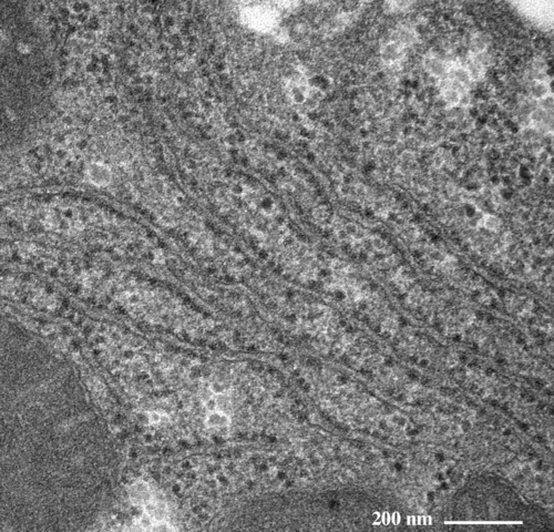
【 薄さ70 - 80 nm 超薄切片の透過型電子顕微鏡画像 】
Transmission electron microscopic image of 70 - 80 nm ultrathin section

肝細胞 Hepatocyte の透過電顕像

肝細胞内部の発達した粗面小胞体とグリコーゲン顆粒(白い部分)

粗面小胞体の拡大像

グリコーゲン顆粒の拡大像