結 腸(ラット) Colon ( rat )
厚さ5 µm パラフィン切片のヘマトキシリン・エオジン染色光学顕微鏡画像
Light microscopic image of 5 µm-thin paraffin section with hematoxylin & eosin staining
結腸粘膜の上皮は水分を吸収して便を固形化する吸収上皮細胞と
粘膜表面を覆う粘液を分泌する粘液細胞によって構成されます。

結腸粘膜の断面
(パラフィン包埋切片のヘマトキシリン・エオジン染色光顕像)
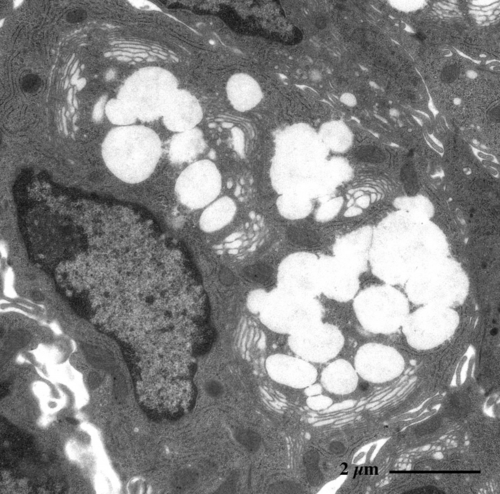
【 薄さ70 - 80 nm 超薄切片の透過型電子顕微鏡画像 】
Transmission electron microscopic image of 70 - 80 nm ultrathin section


