食 道(ラット) Esophagus ( rat )
厚さ5 µm パラフィン切片のヘマトキシリン・エオジン染色光学顕微鏡画像
Light microscopic image of 5 µm-thin paraffin section with hematoxylin & eosin staining
固形食物などが通過する食道の内腔を覆う上皮は、機械的刺激にも耐える
非角化重層扁平上皮で構成されます。

食道内腔を覆う非角化重層扁平上皮
(パラフィン包埋切片のヘマトキシリン・エオジン染色光顕像)
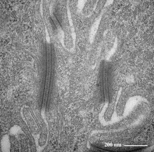
【 薄さ70 - 80 nm 超薄切片の透過型電子顕微鏡画像 】
Transmission electron microscopic image of 70 - 80 nm ultrathin section

重層扁平上皮の最表層

重層扁平上皮最表層の拡大像

扁平化した上皮細胞間の嵌入

扁平化した上皮細胞間の嵌入(拡大像)

重層扁平上皮の中間層にみられる細胞間橋

細胞間橋を形成するデスモゾーム

デスモゾームの拡大像