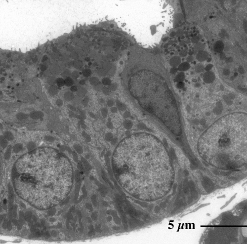
顎下腺(ラット) Submandibular gland ( rat )
厚さ1 µm エポン樹脂準超薄切片のトルイジンブルー染色光学顕微鏡画像
Light microscopic image of 1 µm-semithin epoxy resin section with toluidin-blue staining
顎下腺は粘液細胞(白い顆粒)と漿液細胞(青く染まった顆粒)で構成されます。
(エポン樹脂包埋準超薄切片のトルイジンブルー染色光顕像)
【 薄さ70 - 80 nm 超薄切片の透過型電子顕微鏡画像 】
Transmission electron microscopic image of 70 - 80 nm ultrathin section


