下垂体(ラット) Pituitary gland ( rat )
厚さ5 µm パラフィン切片のヘマトキシリン・エオジン染色光学顕微鏡画像
Light microscopic image of 5 µm-thin paraffin section with hematoxylin & eosin staining
脳底部に位置する下垂体(前葉)からは成長ホルモンやプロラクチンなどが分泌されます。

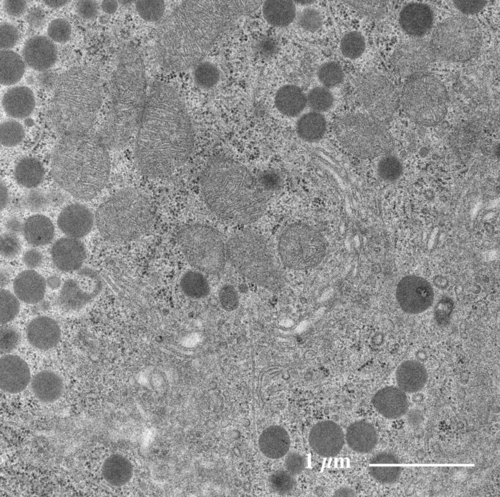
ラット下垂体(前葉)
(パラフィン包埋切片のヘマトキシリン・エオジン染色光顕像)
【 薄さ70 - 80 nm 超薄切片の透過型電子顕微鏡画像 】
Transmission electron microscopic image of 70 - 80 nm ultrathin section

