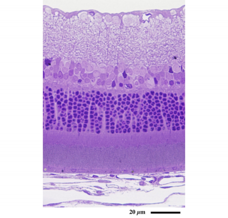
網 膜(ラット) Retina ( rat )
厚さ1 µm エポン樹脂準超薄切片のトルイジンブルー染色光学顕微鏡画像
Light microscopic image of 1 µm-semithin epoxy resin section with toluidin-blue staining
網膜は10層からなり、杆状体と錐状体の光受容器によって視覚情報を得ます。

ラット網膜の縦断面
(エポン樹脂包埋準超薄切片のトルイジンブルー染色光顕像)
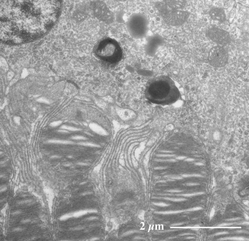
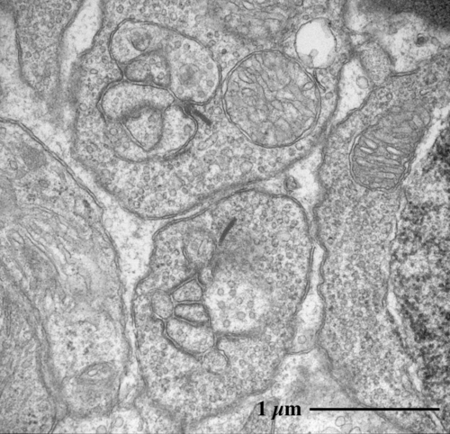
【 薄さ70 - 80 nm 超薄切片の透過型電子顕微鏡画像 】
Transmission electron microscopic image of 70 - 80 nm ultrathin section

杆状体・錐状体層(上半部)と外果粒層(下半部)

色素上皮細胞に貪食される杆状体の膜円板

外境界膜の拡大像

外網状層 outer plexiform layer

外網状層 outer plexiform layer の拡大像

黒い小板構造のシナプスリボンに注目

内網状層 inner plexiform layer の拡大像