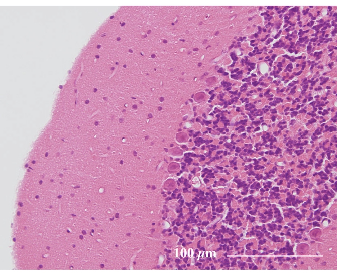
小 脳(ラット) Cerebellum ( rat )
厚さ5 µm パラフィン切片のヘマトキシリン・エオジン染色光学顕微鏡画像
Light microscopic image of 5 µm-thin paraffin section with hematoxylin & eosin staining
小脳は平衡や姿勢保持、筋緊張、協調運動の調整機能を担います。

ラット小脳
(パラフィン包埋切片のヘマトキシリン・エオジン染色光顕像)
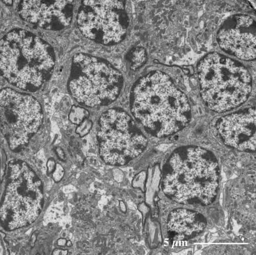
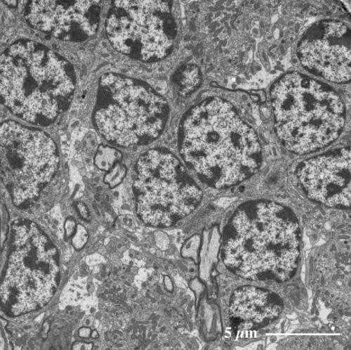
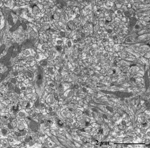
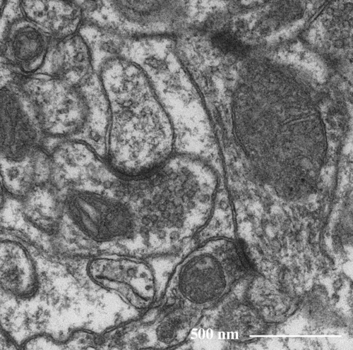
【 薄さ70 - 80 nm 超薄切片の透過型電子顕微鏡画像 】
Transmission electron microscopic image of 70 - 80 nm ultrathin section

大型でフラスコ形のプルキンエ細胞 Purkinje cell (*)

プルキンエ細胞の樹状突起

果粒層 granular layer

神経終末の密集部

シナプスの拡大像