大脳皮質(ラット) Cerebral cortex ( rat )
厚さ5 µm パラフィン切片のヘマトキシリン・エオジン染色光学顕微鏡画像
Light microscopic image of 5 µm-thin paraffin section with hematoxylin & eosin staining
大脳皮質はニューロンの構築によって6つの層に分けられます。

ラット大脳皮質の縦断面
(パラフィン包埋切片のヘマトキシリン・エオジン染色光顕像)
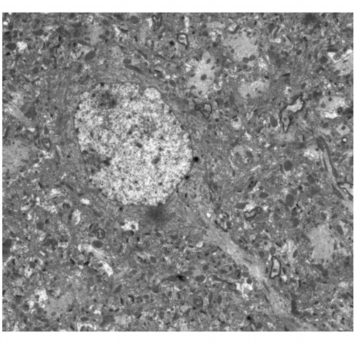
【 薄さ70 - 80 nm 超薄切片の透過型電子顕微鏡画像 】
Transmission electron microscopic image of 70 - 80 nm ultrathin section

錐体細胞 pyramidal cells (*) は大型で円錐状のニューロンです。

軸索 axon は細胞体の起始円錐から起こる一本の突起です。

起始円錐 axon hillock
軸索の内部には多数の微小管が観察されます。

軸索の横断面では微小管の断面が点状に観察されます。