視神経(ラット) Optic nerve ( rat )
厚さ1 µm エポン樹脂準超薄切片のトルイジンブルー染色光学顕微鏡画像
Light microscopic image of 1 µm-semithin epoxy resin section with toluidin-blue staining
網膜で感知された視覚情報は視神経によって大脳の後頭葉へ送られます。

ラット視神経の横断面
(エポン樹脂包埋準超薄切片のトルイジンブルー染色光顕像)

ラット視神経横断面の拡大像
(エポン樹脂包埋準超薄切片のトルイジンブルー染色光顕像)
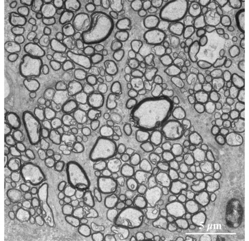
【 薄さ70 - 80 nm 超薄切片の透過型電子顕微鏡画像 】
Transmission electron microscopic image of 70 - 80 nm ultrathin section

視神経を構成する有髄神経線維 myelinated nerve fibers の横断面

有髄神経の横断面(拡大像)

髄鞘 myelin の拡大像