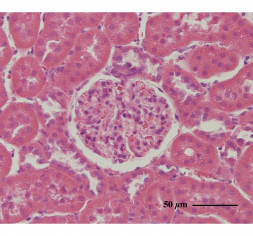
腎 臓(ラット) Kidney ( rat )
 
厚さ5 µm パラフィン切片のヘマトキシリン・エオジン染色光学顕微鏡画像
Light microscopic image of 5 µm-thin paraffin section with hematoxylin & eosin staining
 
 
腎臓の皮質に散在する腎小体でつくられた原尿は、
尿細管から尿管を経て、膀胱へ送られます。
腎小体の断面
糸球体と呼ばれる球状の毛細血管(写真中央)を、袋状の上皮が取り囲んでいます。
 
 
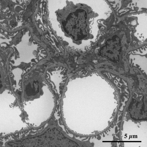
【 薄さ70 - 80 nm 超薄切片の透過型電子顕微鏡画像 】
Transmission electron microscopic image of 70 - 80 nm ultrathin section
 
 
糸球体の電子顕微鏡像
円形の毛細血管を足細胞が取り囲む構造が観察されます。
 
 
 
 
 

 
糸球体の拡大像
足細胞(PC)の突起が毛細血管(V)の外周を取り囲む様子が観察されます。
 
 
 
 
 
 

 
近位尿細管上皮の電子顕微鏡像
原尿に含まれるグルコースや電解質、水など身体に必要な物質を再吸収するため、
上皮細胞の頂上部に微絨毛が並んで表面積を増大しています。
 
 
 
 
 
近位尿細管上皮の微絨毛拡大像