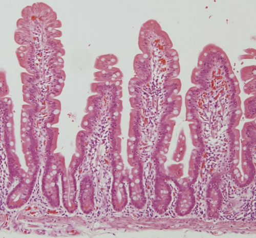
小 腸(ラット) Small Intestine ( rat )
厚さ5 µm パラフィン切片のヘマトキシリン・エオジン染色光学顕微鏡画像
Light microscopic image of 5 µm-thin paraffin section with hematoxylin & eosin staining
消化された栄養分を吸収する小腸の内腔表面は、絨毛と呼ばれる構造によって
表面積を増大し、栄養分の吸収効率を上げています。

絨毛の縦断面
(パラフィン包埋切片のヘマトキシリン・エオジン染色光顕像)
【 薄さ70 - 80 nm 超薄切片の透過型電子顕微鏡画像 】
Transmission electron microscopic image of 70 - 80 nm ultrathin section
絨毛を被う吸収上皮細胞の頂上部には指状の微絨毛が並び、小腸の内表面積を
約20倍にまで増大し、栄養分の吸収効率を更に上げています。

透過型電子顕微鏡による微絨毛の縦断面
微絨毛内部は細胞骨格のアクチンによって支持されています
小腸の絨毛を被う細胞は僅か5〜7日間で寿命を迎え、絨毛の先端部から剥脱します。
その際にアポトーシス(=プログラム細胞死)と呼ばれる特徴的な形態像がみられます。

ラット十二指腸絨毛上皮の頂上部で見られたアポトーシス像
(エポン樹脂包埋準超薄切片トルイジンブルー染色光顕像)

透過型電子顕微鏡によるアポトーシス像
アポトーシスを起こして剥脱した細胞内部にはライソゾームが多数、観察されます。

透過型電子顕微鏡によるアポトーシス像
アポトーシスを起こして剥脱した細胞の核は、断片化やクロマチン濃縮像を呈します。